购物车
  • 全部删除
  • TargetMol
    您的购物车当前为空

Anti-PRDX3 Antibody (7V569)

Rating icon 还可以
产品编号 TMAC-03166

Anti-PRDX3 Antibody (7V569) 是一种 Rabbit 抗体,靶向 PRDX3。Anti-PRDX3 Antibody (7V569) 可用于 FCM,ICC,IHC,IP,WB。

Anti-PRDX3 Antibody (7V569)

Anti-PRDX3 Antibody (7V569)

一键复制产品信息
Rating icon 还可以
产品编号 TMAC-03166

Anti-PRDX3 Antibody (7V569) 是一种 Rabbit 抗体,靶向 PRDX3。Anti-PRDX3 Antibody (7V569) 可用于 FCM,ICC,IHC,IP,WB。

规格价格库存数量
50 μL
¥ 1,480
5日内发货
100 μL
¥ 2,485
5日内发货
大包装 & 定制
加入购物车
TargetMol 的所有产品仅用作科学研究或药证申报,不能被用于人体,我们不向个人提供产品和服务。请您遵守承诺用途,不得违反法律法规规定用于任何其他用途。
实验操作小课堂
常见问题解答
查看更多
联系我们获取更多批次信息
资源下载

产品介绍

生物活性
产品描述
Anti-PRDX3 Antibody (7V569) is a Rabbit antibody targeting PRDX3. Anti-PRDX3 Antibody (7V569) can be used in FCM,ICC,IHC,IP,WB.
Ig Type
IgG
克隆号
7V569
交叉反应
Human
验证活性
1. Western blot analysis of Peroxiredoxin 3 on different cell lysate using anti-Peroxiredoxin 3 antibody at 1/1,000 dilution. Positive control: Lane1: Human liver, Lane2: MCF-7, Lane3: A431.
2. Immunohistochemical analysis of paraffin-embedded human liver tissue using anti- Peroxiredoxin 3 antibody. Counter stained with hematoxylin.
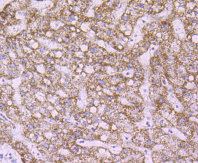
3. Immunohistochemical analysis of paraffin-embedded human liver cancer tissue using anti- Peroxiredoxin 3 antibody. Counter stained with hematoxylin.
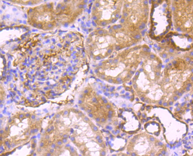
4. Immunohistochemical analysis of paraffin-embedded human kidney tissue using anti- Peroxiredoxin 3 antibody. Counter stained with hematoxylin.
5. ICC staining Peroxiredoxin 3 in Hela cells (green). The nuclear counter stain is DAPI (blue). Cells were fixed in paraformaldehyde, permeabilised with 0.25% Triton X100/PBS.
6. ICC staining Peroxiredoxin 3 in HepG2 cells (green). The nuclear counter stain is DAPI (blue). Cells were fixed in paraformaldehyde, permeabilised with 0.25% Triton X100/PBS.
7. ICC staining Peroxiredoxin 3 in MCF-7 cells (green). The nuclear counter stain is DAPI (blue). Cells were fixed in paraformaldehyde, permeabilised with 0.25% Triton X100/PBS.
8. Flow cytometric analysis of MCF-7 cells with Peroxiredoxin 3 antibody at 1/100 dilution (red) compared with an unlabelled control (cells without incubation with primary antibody; black).
verifiedActivityverifiedActivityverifiedActivityverifiedActivityverifiedActivityverifiedActivityverifiedActivityverifiedActivity
应用FCMICCIHCIPWB
推荐剂量
WB: 1:500-2000; IHC: 1:50-200; ICC: 1:50-200; FCM: 1:50-100
抗体种类
Monoclonal
宿主来源Rabbit
构建方式Recombinant Antibody
纯化方式ProA affinity purified
性状Liquid
缓冲液1*TBS (pH7.4), 1%BSA, 40%Glycerol. Preservative: 0.05% Sodium Azide.
研究背景The peroxiredoxin (PRX) family comprises six antioxidant proteins, PRX I, II, III, IV, V and VI, which protect cells from reactive oxygen species (ROS) by preventing the metal-catalyzed oxidation of enzymes. The PRX proteins primarily utilize thioredoxin as the electron donor for antioxidation, although they are fairly promiscuous with regard to the hydroperoxide substrate. In addition to protection from ROS, peroxiredoxins are also involved in cell proliferation, differentiation and gene expression. PRX I, II, IV and VI show diffuse cytoplasmic localization, while PRX III and V exhibit distinct mitochondrial localization. The human PRX I gene encodes a protein that is expressed in several tissues, including liver, kidney, testis, lung and nervous system. PRX II is expressed in testis, while PRX III shows expression in lung. PRX I, II and III are overexpressed in breast cancer and may be involved in its development or progression. Upregulated protein levels of PRX I and II in Alzheimer's disease (AD) and Down syndrome (DS) indicate the involvement of PRX I and II in their pathogenesis. The human PRX IV gene is abundantly expressed in many tissues.
偶联与修饰
偶联
Unconjugated
抗原信息
免疫原
Recombinant Protein
Uniprot ID
化学信息
分子量Theoretical: 24 kDa.
存储&运输
储存方式Store at -20°C or -80°C for 12 months. Avoid repeated freeze-thaw cycles.
运输方式Shipping with blue ice.

计算器

  • 稀释 计算器

关键词

评论列表

4个月前
5.0
Rating icon 很棒

评论内容

Related Tags: buy Anti-PRDX3 Antibody (7V569) | purchase Anti-PRDX3 Antibody (7V569) | Anti-PRDX3 Antibody (7V569) cost | order Anti-PRDX3 Antibody (7V569) | Anti-PRDX3 Antibody (7V569) molecular weight