购物车
  • TargetMol
    您的购物车当前为空

Anti-PKM2 Polyclonal Antibody 2

Synonyms: THBP1, TCB, pyruvate kinase, muscle, PKM2, PK3, OIP3, HEL-S-30, CTHBP
货号 TMAB-01545 一键复制产品信息
Rating icon 还可以

Anti-PKM2 Polyclonal Antibody 2 是一种 Rabbit 抗体,靶向 PKM2。Anti-PKM2 Polyclonal Antibody 2 可用于 FCM, IF, IHC-Fr, IHC-P, WB。

Anti-PKM2 Polyclonal Antibody 2

一键复制产品信息
Rating icon 还可以
货号 TMAB-01545

别名 THBP1, TCB, pyruvate kinase, muscle, PKM2, PK3, OIP3, HEL-S-30, CTHBP

Anti-PKM2 Polyclonal Antibody 2 是一种 Rabbit 抗体,靶向 PKM2。Anti-PKM2 Polyclonal Antibody 2 可用于 FCM, IF, IHC-Fr, IHC-P, WB。

Anti-PKM2 Polyclonal Antibody 2
规格价格库存数量
50 μL
¥ 1,165
5日内发货
100 μL
¥ 1,975
5日内发货
200 μL
¥ 2,780
5日内发货
库存状态实时更新,以官网显示为准,现货产品可直接加购物车下单
大包装 & 定制
加入购物车
TargetMol的所有产品仅用作科学研究或药证申报,不能被用于人体,我们不向个人提供产品和服务。请您遵守承诺用途,不得违反法律法规规定用于任何其他用途。
实验操作小课堂
常见问题解答
查看更多

资源下载:产品操作手册

产品介绍


生物活性
产品描述
Anti-PKM2 Polyclonal Antibody 2 is a Rabbit antibody targeting PKM2. Anti-PKM2 Polyclonal Antibody 2 can be used in FCM, IF, IHC-Fr, IHC-P, WB.
别名THBP1, TCB, pyruvate kinase, muscle, PKM2, PK3, OIP3, HEL-S-30, CTHBP
Ig Type
IgG
反应种属
Human,Rat (predicted:Mouse,Pig,Cow,Horse,Rabbit)
验证活性
1. Tissue/cell: human rectal carcinoma;4% Paraformaldehyde-fixed and paraffin-embedded;
Antigen retrieval: citrate buffer (0.01M, pH6.0), Boiling bathing for 15 min; Blocking buffer (normal goat serum) at 37°C for 20 min;
Incubation: Anti-PKM2 Polyclonal Antibody, Unconjugated (TMAB-01545) 1:200, overnight at 4°C; The secondary antibody was Goat Anti-Rabbit IgG, FITC conjugated used at 1:200 dilution for 40 minutes at 37°C.
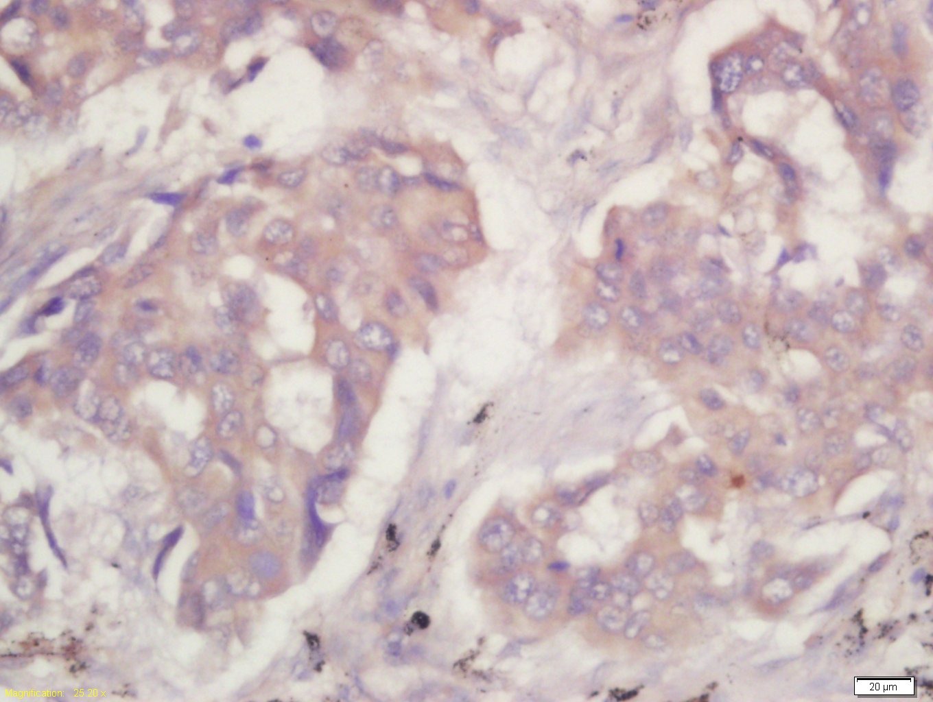
2. Tissue/cell: human lung cancer tissue; 4% Paraformaldehyde-fixed and paraffin-embedded;
Antigen retrieval: citrate buffer (0.01M, pH6.0), Boiling bathing for 15 min; Block endogenous peroxidase by 3% Hydrogen peroxide for 30 min; Blocking buffer (normal goat serum) at 37°C for 20 min;
Incubation: Anti-PKM2 Polyclonal Antibody, Unconjugated (TMAB-01545) 1:200, overnight at 4°C, followed by conjugation to the secondary antibody and DAb staining.
3. Sample:
Lane 1: Testis (Rat) Lysate at 40 μg
Lane 2: Prostate (Rat) Lysate at 40 μg
Lane 3: Kidney (Rat) Lysate at 40 μg
Primary: Anti-PKM2 (TMAB-01545) at 1/1000 dilution
Secondary: IRDye800CW Goat Anti-Rabbit IgG at 1/20000 dilution
Predicted band size: 60 kDa
Observed band size: 61 kDa
4. Blank control: A549. Primary Antibody (green line): Rabbit Anti-PKM2 antibody (TMAB-01545)
Dilution: 1 μg/10^6 cells;
Isotype Control Antibody (orange line): Rabbit IgG.
Secondary Antibody: Goat anti-rabbit IgG-AF488
Dilution: 1 μg/test.
Protocol
The cells were fixed with 4% PFA (10 min at room temperature) and then permeabilized with 0.1% PBST for 20 min at room temperature. The cells were then incubated in 5% BSA to block non-specific protein-protein interactions for 30 min at room temperature. Cells stained with Primary Antibody for 30 min at room temperature. The secondary antibody used for 40 min at room temperature.
verifiedActivityverifiedActivityverifiedActivityverifiedActivity
应用FCMIFIHC-FrIHC-PWB
推荐剂量
WB: 1:500-2000; IHC-P: 1:100-500; IHC-Fr: 1:100-500; IF: 1:100-500; FCM: 1ug/Test
抗体种类
Polyclonal
宿主来源Rabbit
亚细胞定位Cytoplasm. Nucleus. Note=Translocates to the nucleus in response to different apoptotic stimuli. Nuclear translocation is sufficient to induce cell death that is caspase independent, isoform-specific and independent of its enzymatic activity.
组织特异性Specifically expressed in proliferating cells, such as embryonic stem cells, embryonic carcinoma cells, as well as cancer cells.
构建方式Polyclonal Antibody
纯化方式Protein A purified
性状Liquid
缓冲液0.01M TBS (pH7.4) with 1% BSA, 0.02% Proclin300 and 50% Glycerol.
浓度1 mg/mL
研究背景The protein encoded by this gene is a pyruvate kinase that catalyzes the production of phosphoenolpyruvate from pyruvate and ATP. This protein has been shown to interact with thyroid hormone, and thus may mediate cellular metabolic effects induced by thyroid hormones. This protein has been found to bind Opa protein, a bacterial outer membrane protein involved in gonococcal adherence to and invasion of human cells, suggesting a role of this protein in bacterial pathogenesis. Three alternatively spliced transcript variants encoding two distinct isoforms have been reported.
抗原信息
免疫原
KLH conjugated synthetic peptide: human PKM2
抗原种属
Human
基因名称
PKM
基因ID
蛋白名称
Pyruvate kinase PKM
Uniprot ID
研究领域
Energy Metabolism,Energy Metabolism,Carbohydrate metabolism,Kinases/Phosphatases,Enzymes,Metabolism of carbohydrates
功能
Glycolytic enzyme that catalyzes the transfer of a phosphoryl group from phosphoenolpyruvate (PEP) to ADP, generating ATP. Stimulates POU5F1-mediated transcriptional activation. Plays a general role in caspase independent cell death of tumor cells. The ratio betwween the highly active tetrameric form and nearly inactive dimeric form determines whether glucose carbons are channeled to biosynthetic processes or used for glycolytic ATP production. The transition between the 2 forms contributes to the control of glycolysis and is important for tumor cell proliferation and survival.
化学信息
分子量Theoretical: 57 kDa. Actual: 61 kDa.
储存&溶解度
储存方式Store at -20°C or -80°C for 12 months. Avoid repeated freeze-thaw cycles.
运输方式Shipping with blue ice.

计算器

  • 稀释 计算器
  • 配液 计算器
Related Tags: buy Anti-PKM2 Polyclonal Antibody 2 | purchase Anti-PKM2 Polyclonal Antibody 2 | Anti-PKM2 Polyclonal Antibody 2 cost | order Anti-PKM2 Polyclonal Antibody 2 | Anti-PKM2 Polyclonal Antibody 2 molecular weight