购物车
  • TargetMol
    您的购物车当前为空

Anti-Phospho-NFE2L2 (Ser40) Antibody (7L44)

Synonyms: p-NFE2L2 (Ser40), p-NFE2L2 (S40), NFE2L2 (p-Ser40), NFE2L2 (p-S40)
货号 TMAC-03241 一键复制产品信息
Rating icon 还可以

Anti-Phospho-NFE2L2 (Ser40) Antibody (7L44) 是一种 Rabbit 抗体,靶向 Phospho-NFE2L2 (Ser40)。Anti-Phospho-NFE2L2 (Ser40) Antibody (7L44) 可用于 WB,IHC,ICC/IF,IP,FCM。

Anti-Phospho-NFE2L2 (Ser40) Antibody (7L44)

一键复制产品信息
Rating icon 还可以
货号 TMAC-03241

别名 p-NFE2L2 (Ser40), p-NFE2L2 (S40), NFE2L2 (p-Ser40), NFE2L2 (p-S40)

Anti-Phospho-NFE2L2 (Ser40) Antibody (7L44) 是一种 Rabbit 抗体,靶向 Phospho-NFE2L2 (Ser40)。Anti-Phospho-NFE2L2 (Ser40) Antibody (7L44) 可用于 WB,IHC,ICC/IF,IP,FCM。

Anti-Phospho-NFE2L2 (Ser40) Antibody (7L44)
规格价格库存数量
50 μL
¥ 1,495
5日内发货
100 μL
¥ 2,490
5日内发货
库存状态实时更新,以官网显示为准,现货产品可直接加购物车下单
大包装 & 定制
加入购物车

TargetMol的所有产品仅用作科学研究或药证申报,不能被用于人体,我们不向个人提供产品和服务。请您遵守承诺用途,不得违反法律法规规定用于任何其他用途。

实验操作小课堂
常见问题解答
查看更多

资源下载:产品操作手册

产品介绍


生物活性
产品描述
Anti-Phospho-NFE2L2 (Ser40) Antibody (7L44) is a Rabbit antibody targeting Phospho-NFE2L2 (Ser40). Anti-Phospho-NFE2L2 (Ser40) Antibody (7L44) can be used in FCM,ICC/IF,IHC,IP,WB.
别名
p-NFE2L2 (Ser40), p-NFE2L2 (S40), NFE2L2 (p-Ser40), NFE2L2 (p-S40)
Ig Type
IgG
克隆号
7L44
反应种属
Human
验证活性
1. Western blot analysis of Phospho-Nrf2 (S40) on different lysates using anti-Phospho-Nrf2 (S40) antibody at 1/1,000 dilution. Positive control: Lane 1: HepG2, Lane 2: Raji.
2. Immunohistochemical analysis of paraffin-embedded human tonsil tissue using anti-Phospho-Nrf2 (S40) antibody. Counter stained with hematoxylin.
3. Immunohistochemical analysis of paraffin-embedded human breast carcinoma tissue using anti-Phospho-Nrf2 (S40) antibody. Counter stained with hematoxylin.
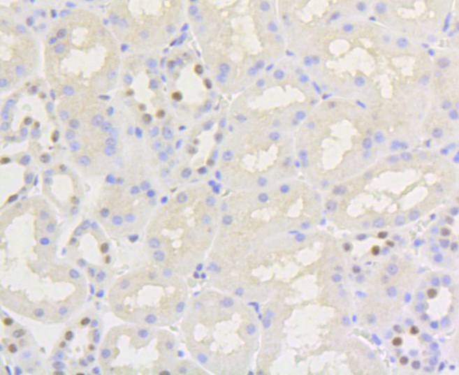
4. Immunohistochemical analysis of paraffin-embedded human kidney tissue using anti-Phospho-Nrf2 (S40) antibody. Counter stained with hematoxylin.
5. ICC staining Phospho-Nrf2 (S40) in Hela cells (green). The nuclear counter stain is DAPI (blue). Cells were fixed in paraformaldehyde, permeabilised with 0.25% Triton X100/PBS.
6. ICC staining Phospho-Nrf2 (S40) in A549 cells (green). The nuclear counter stain is DAPI (blue). Cells were fixed in paraformaldehyde, permeabilised with 0.25% Triton X100/PBS.
7. ICC staining Phospho-Nrf2 (S40) in HepG2 cells (green). The nuclear counter stain is DAPI (blue). Cells were fixed in paraformaldehyde, permeabilised with 0.25% Triton X100/PBS.
8. Flow cytometric analysis of K562 cells with Phospho-Nrf2 (S40) antibody at 1/50 dilution (blue) compared with an unlabelled control (cells without incubation with primary antibody; red). Alexa Fluor 488-conjugated goat anti rabbit IgG was used as the secondary antibody.
verifiedActivityverifiedActivityverifiedActivityverifiedActivityverifiedActivityverifiedActivityverifiedActivityverifiedActivity
应用FCMICC/IFIHCIPWB
推荐剂量
WB: 1:1000-2000; IHC: 1:50-200; ICC/IF: 1:50-200; IP: 1:50; FCM: 1:50
抗体种类
Monoclonal
宿主来源Rabbit
构建方式Recombinant Antibody
纯化方式Affinity-chromatography
性状Liquid
缓冲液Rabbit IgG in phosphate buffered saline , pH 7.4, 150mM NaCl, 0.02% sodium azide and 50% glycerol.
研究背景Transcription activator that binds to antioxidant response (ARE) elements in the promoter regions of target genes. Important for the coordinated up-regulation of genes in response to oxidative stress. May be involved in the transcriptional activation of genes of the beta-globin cluster by mediating enhancer activity of hypersensitive site 2 of the beta-globin locus control region.
偶联与修饰
偶联
Unconjugated
其他可选修饰符
Phospho
抗原信息
免疫原
A synthesized phosphopeptide: human Nrf2 around the phosphorylation site of S40
抗原种属
human
Uniprot ID
化学信息
分子量Theoretical: 90 kDa.
储存&溶解度
储存方式Store at -20°C or -80°C for 12 months. Avoid repeated freeze-thaw cycles.
运输方式Shipping with blue ice.

计算器

  • 稀释 计算器
  • 配液 计算器
Related Tags: buy Anti-Phospho-NFE2L2 (Ser40) Antibody (7L44) | purchase Anti-Phospho-NFE2L2 (Ser40) Antibody (7L44) | Anti-Phospho-NFE2L2 (Ser40) Antibody (7L44) cost | order Anti-Phospho-NFE2L2 (Ser40) Antibody (7L44) | Anti-Phospho-NFE2L2 (Ser40) Antibody (7L44) molecular weight