购物车
  • TargetMol
    您的购物车当前为空

Anti-Phospho-H2AFX (Ser139) Antibody (2T270)

Synonyms: Phospho-Histone H2AX (S139), p-Histone H2AX (Ser139), p-Histone H2AX (S139), Histone H2AX (p-Ser139), Histone H2AX (p-S139)
货号 TMAB-01419 一键复制产品信息
Rating icon 还可以

Anti-Phospho-H2AFX (Ser139) Antibody (2T270) 是一种 Rabbit 抗体,靶向 Phospho-H2AFX (Ser139)。Anti-Phospho-H2AFX (Ser139) Antibody (2T270) 可用于 IF,IHC-Fr,IHC-P。

Anti-Phospho-H2AFX (Ser139) Antibody (2T270)

一键复制产品信息
Rating icon 还可以
货号 TMAB-01419

别名 Phospho-Histone H2AX (S139), p-Histone H2AX (Ser139), p-Histone H2AX (S139), Histone H2AX (p-Ser139), Histone H2AX (p-S139)

Anti-Phospho-H2AFX (Ser139) Antibody (2T270) 是一种 Rabbit 抗体,靶向 Phospho-H2AFX (Ser139)。Anti-Phospho-H2AFX (Ser139) Antibody (2T270) 可用于 IF,IHC-Fr,IHC-P。

Anti-Phospho-H2AFX (Ser139) Antibody (2T270)
规格价格库存数量
25 μL
¥ 790
5日内发货
50 μL
¥ 1,380
5日内发货
100 μL
¥ 2,495
5日内发货
库存状态实时更新,以官网显示为准,现货产品可直接加购物车下单
大包装 & 定制
加入购物车
TargetMol的所有产品仅用作科学研究或药证申报,不能被用于人体,我们不向个人提供产品和服务。请您遵守承诺用途,不得违反法律法规规定用于任何其他用途。
实验操作小课堂
常见问题解答
查看更多

资源下载:产品操作手册

产品介绍


生物活性
产品描述
Anti-Phospho-H2AFX (Ser139) Antibody (2T270) is a Rabbit antibody targeting Phospho-H2AFX (Ser139). Anti-Phospho-H2AFX (Ser139) Antibody (2T270) can be used in IF,IHC-Fr,IHC-P.
别名Phospho-Histone H2AX (S139), p-Histone H2AX (Ser139), p-Histone H2AX (S139), Histone H2AX (p-Ser139), Histone H2AX (p-S139)
Ig Type
IgG
克隆号
2T270
反应种属
Human,Mouse,Rat
验证活性
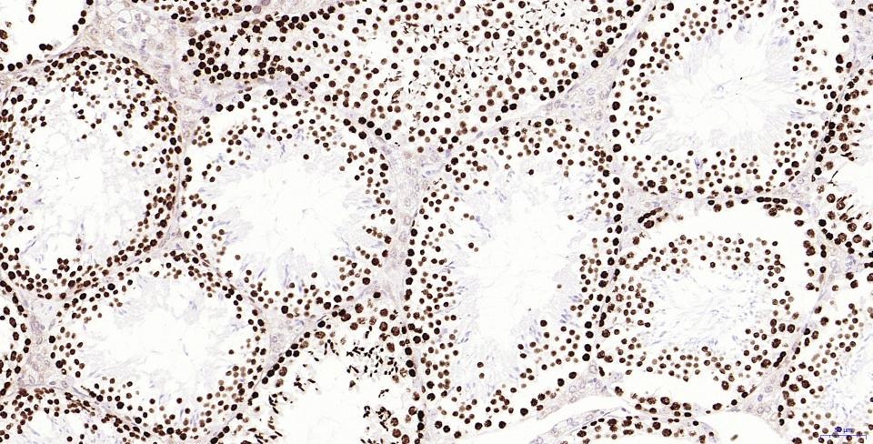
1. Paraformaldehyde-fixed, paraffin embedded Rat Testicles; Antigen retrieval by boiling in sodium citrate buffer (pH6.0) for 15 min; Antibody incubation with Phospho-H2AX (Ser139) Monoclonal Antibody, Unconjugated (TMAB-01419) at 1:200 overnight at 4°C, followed by conjugation to the SP Kit (Rabbit) and DAB staining.
2. Paraformaldehyde-fixed, paraffin embedded Mouse Testicles; Antigen retrieval by boiling in sodium citrate buffer (pH6.0) for 15 min; Antibody incubation with Phospho-H2AX (Ser139) Monoclonal Antibody, Unconjugated (TMAB-01419) at 1:200 overnight at 4°C, followed by conjugation to the SP Kit (Rabbit) and DAB staining.
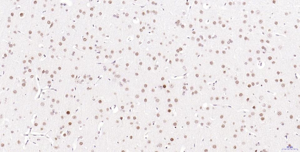
3. Paraformaldehyde-fixed, paraffin embedded Rat Cerebrum; Antigen retrieval by boiling in sodium citrate buffer (pH6.0) for 15 min; Antibody incubation with Phospho-H2AX (Ser139) Monoclonal Antibody, Unconjugated (TMAB-01419) at 1:200 overnight at 4°C, followed by conjugation to the SP Kit (Rabbit) and DAB staining.
4. Paraformaldehyde-fixed, paraffin embedded Mouse Cerebrum; Antigen retrieval by boiling in sodium citrate buffer (pH6.0) for 15 min; Antibody incubation with Phospho-H2AX (Ser139) Monoclonal Antibody, Unconjugated (TMAB-01419) at 1:200 overnight at 4°C, followed by conjugation to the SP Kit (Rabbit) and DAB staining.
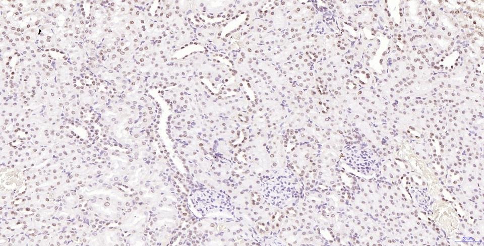
5. Paraformaldehyde-fixed, paraffin embedded Rat Kidney; Antigen retrieval by boiling in sodium citrate buffer (pH6.0) for 15 min; Antibody incubation with Phospho-H2AX (Ser139) Monoclonal Antibody, Unconjugated (TMAB-01419) at 1:200 overnight at 4°C, followed by conjugation to the SP Kit (Rabbit) and DAB staining.
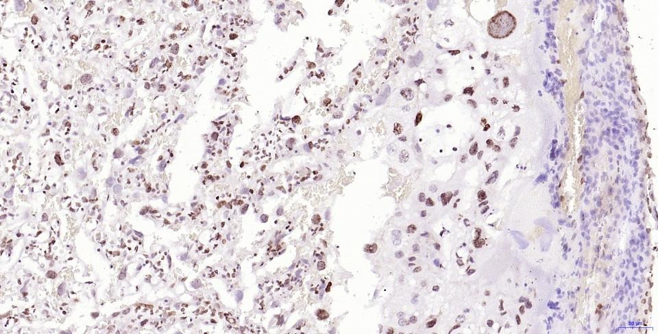
6. Paraformaldehyde-fixed, paraffin embedded Rat Placenta; Antigen retrieval by boiling in sodium citrate buffer (pH6.0) for 15 min; Antibody incubation with Phospho-H2AX (Ser139) Monoclonal Antibody, Unconjugated (TMAB-01419) at 1:200 overnight at 4°C, followed by conjugation to the SP Kit (Rabbit) and DAB staining.
7. Paraformaldehyde-fixed, paraffin embedded Mouse Placenta; Antigen retrieval by boiling in sodium citrate buffer (pH6.0) for 15 min; Antibody incubation with Phospho-H2AX (Ser139) Monoclonal Antibody, Unconjugated (TMAB-01419) at 1:200 overnight at 4°C, followed by conjugation to the SP Kit (Rabbit) and DAB staining.
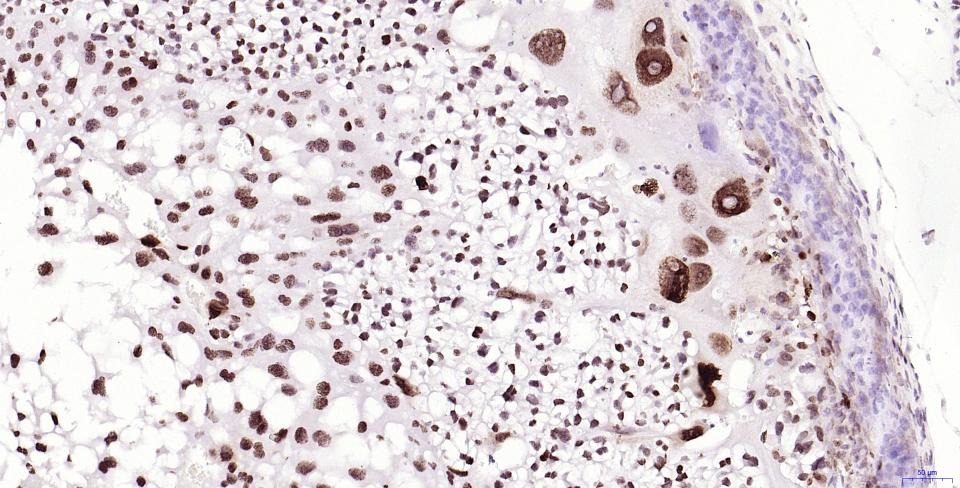
8. Paraformaldehyde-fixed, paraffin embedded Human Cerebellum; Antigen retrieval by boiling in sodium citrate buffer (pH6.0) for 15 min; Antibody incubation with Phospho-H2AX (Ser139) Monoclonal Antibody, Unconjugated (TMAB-01419) at 1:200 overnight at 4°C, followed by conjugation to the SP Kit (Rabbit) and DAB staining.
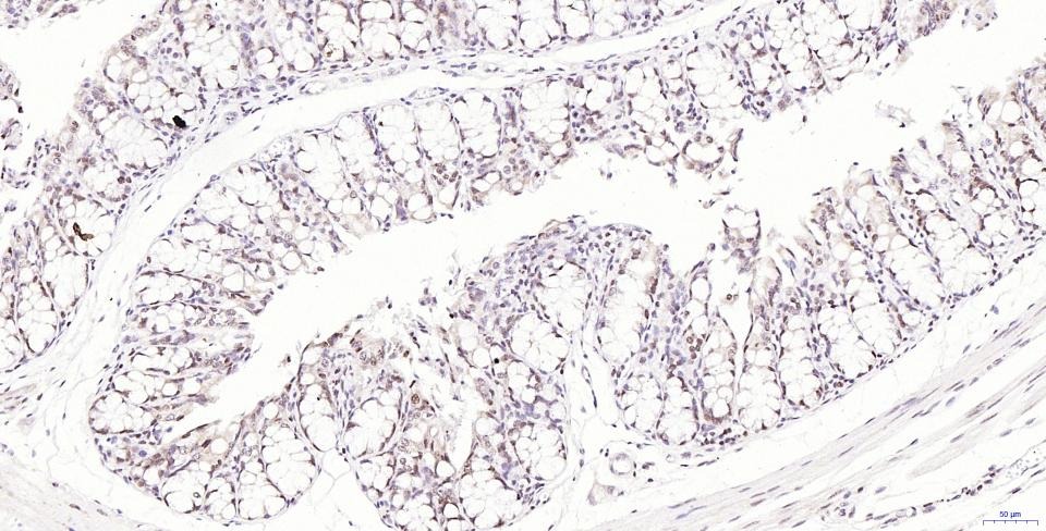
9. Paraformaldehyde-fixed, paraffin embedded Mouse Colon; Antigen retrieval by boiling in sodium citrate buffer (pH6.0) for 15 min; Antibody incubation with Phospho-H2AX (Ser139) Monoclonal Antibody, Unconjugated (TMAB-01419) at 1:200 overnight at 4°C, followed by conjugation to the SP Kit (Rabbit) and DAB staining.
10. Paraformaldehyde-fixed, paraffin embedded Rat Colon; Antigen retrieval by boiling in sodium citrate buffer (pH6.0) for 15 min; Antibody incubation with Phospho-H2AX (Ser139) Monoclonal Antibody, Unconjugated (TMAB-01419) at 1:200 overnight at 4°C, followed by conjugation to the SP Kit (Rabbit) and DAB staining.
verifiedActivityverifiedActivityverifiedActivityverifiedActivityverifiedActivityverifiedActivityverifiedActivityverifiedActivityverifiedActivityverifiedActivity
应用IFIHC-FrIHC-P
推荐剂量
IHC-P: 1:50-200; IHC-Fr: 1:50-200; IF: 1:50-200
抗体种类
Monoclonal
宿主来源Rabbit
亚细胞定位Nucleus. Chromosome.
构建方式Recombinant Antibody
纯化方式Protein A purified
性状Liquid
缓冲液0.01M TBS (pH7.4) with 1% BSA, 0.02% Proclin300 and 50% Glycerol.
浓度1 mg/mL
研究背景Histones are basic nuclear proteins that are responsible for the nucleosome structure of the chromosomal fiber in eukaryotes. Two molecules of each of the four core histones (H2A, H2B, H3, and H4) form an octamer, around which approximately 146 bp of DNA is wrapped in repeating units, called nucleosomes. The linker histone, H1, interacts with linker DNA between nucleosomes and functions in the compaction of chromatin into higher order structures. This gene encodes a member of the histone H2A family, and generates two transcripts through the use of the conserved stem-loop termination motif, and the polyA addition motif. [provided by RefSeq, Jul 2008].
抗原信息
免疫原
A synthesized peptide: human Histone H2A.X around the phosphorylation site of S139
抗原种属
Human
基因名称
H2AX
基因ID
蛋白名称
Histone H2AX
Uniprot ID
研究领域
ChIP antibodies,DNA Damage Recognition,Unmodified,Variants
功能
Variant histone H2A which replaces conventional H2A in a subset of nucleosomes. Nucleosomes wrap and compact DNA into chromatin, limiting DNA accessibility to the cellular machineries which require DNA as a template. Histones thereby play a central role in transcription regulation, DNA repair, DNA replication and chromosomal stability. DNA accessibility is regulated via a complex set of post-translational modifications of histones, also called histone code, and nucleosome remodeling. Required for checkpoint-mediated arrest of cell cycle progression in response to low doses of ionizing radiation and for efficient repair of DNA double strand breaks (DSBs) specifically when modified by C-terminal phosphorylation.
化学信息
分子量Theoretical: 16 kDa. Actual: 15 kDa.
储存&溶解度
储存方式Store at -20°C or -80°C for 12 months. Avoid repeated freeze-thaw cycles.
运输方式Shipping with blue ice.

计算器

  • 稀释 计算器
  • 配液 计算器
Related Tags: buy Anti-Phospho-H2AFX (Ser139) Antibody (2T270) | purchase Anti-Phospho-H2AFX (Ser139) Antibody (2T270) | Anti-Phospho-H2AFX (Ser139) Antibody (2T270) cost | order Anti-Phospho-H2AFX (Ser139) Antibody (2T270) | Anti-Phospho-H2AFX (Ser139) Antibody (2T270) molecular weight