购物车
  • TargetMol
    您的购物车当前为空

Anti-PDHB Antibody (9C498)

Synonyms: Pyruvate dehydrogenase E1 component subunit beta, mitochondrial, PHE1B, PDHE1-B, PDHB, mitochondrial
货号 TMAC-03480Cas号 一键复制产品信息纯度:
Rating icon 还可以

Anti-PDHB Antibody (9C498) 是一种 Rabbit 抗体,靶向 PDHB。Anti-PDHB Antibody (9C498) 可用于 FCM,IHC,IP,WB。

Anti-PDHB Antibody (9C498)

一键复制产品信息
Rating icon 还可以
货号 TMAC-03480

别名 Pyruvate dehydrogenase E1 component subunit beta, mitochondrial, PHE1B, PDHE1-B, PDHB, mitochondrial

Anti-PDHB Antibody (9C498) 是一种 Rabbit 抗体,靶向 PDHB。Anti-PDHB Antibody (9C498) 可用于 FCM,IHC,IP,WB。

Anti-PDHB Antibody (9C498)
规格价格库存数量
50 μL
¥ 1,495
5日内发货
100 μL
¥ 2,490
5日内发货
库存状态实时更新,以官网显示为准,现货产品可直接加购物车下单
大包装 & 定制
加入购物车

TargetMol的所有产品仅用作科学研究或药证申报,不能被用于人体,我们不向个人提供产品和服务。请您遵守承诺用途,不得违反法律法规规定用于任何其他用途。

实验操作小课堂
常见问题解答
查看更多

资源下载:产品操作手册

产品介绍


生物活性
产品描述
Anti-PDHB Antibody (9C498) is a Rabbit antibody targeting PDHB. Anti-PDHB Antibody (9C498) can be used in FCM,IHC,IP,WB.
别名
Pyruvate dehydrogenase E1 component subunit beta, mitochondrial, PHE1B, PDHE1-B, PDHB, mitochondrial
Ig Type
IgG
克隆号
9C498
反应种属
Human,Mouse,Rat
验证活性
1. Western blot analysis of Pyruvate Dehydrogenase E1 beta subunit on HepG2 (1) and Hela (2) cell lysate using anti-Pyruvate Dehydrogenase E1 beta subunit antibody at 1/1,000 dilution.
2. Western blot analysis of Pyruvate Dehydrogenase E1 beta subunit on mouse kidney tissue (1) and PC-12 (2) cell lysate using anti-Pyruvate Dehydrogenase E1 beta subunit antibody at 1/1,000 dilution.
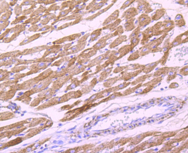
3. Immunohistochemical analysis of paraffin-embedded rat heart tissue using anti-Pyruvate Dehydrogenase E1 beta subunit antibody. Counter stained with hematoxylin.
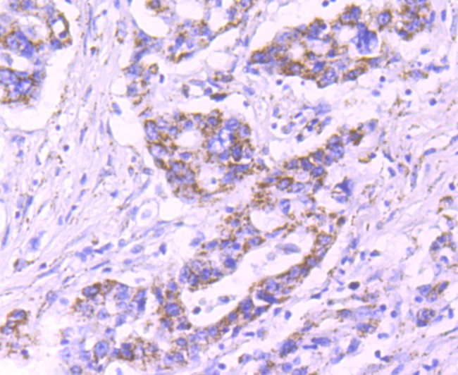
4. Immunohistochemical analysis of paraffin-embedded human stomach cancer tissue using anti-Pyruvate Dehydrogenase E1 beta subunit antibody. Counter stained with hematoxylin.
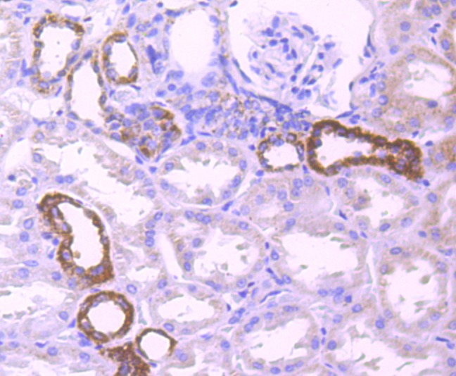
5. Immunohistochemical analysis of paraffin-embedded human kidney tissue using anti-Pyruvate Dehydrogenase E1 beta subunit antibody. Counter stained with hematoxylin.
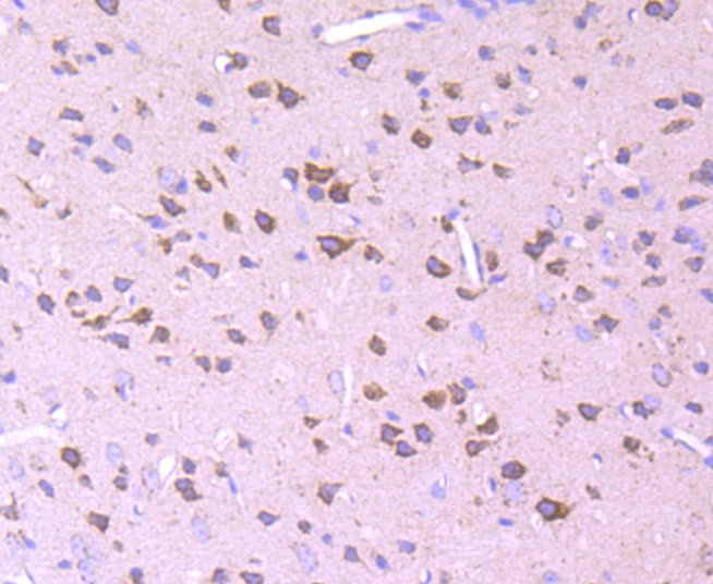
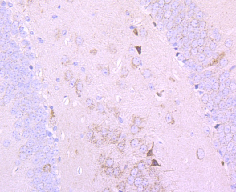
6. Immunohistochemical analysis of paraffin-embedded mouse brain tissue using anti-Pyruvate Dehydrogenase E1 beta subunit antibody. Counter stained with hematoxylin.
7. Immunohistochemical analysis of paraffin-embedded mouse hippocampus tissue using anti-Pyruvate Dehydrogenase E1 beta subunit antibody. Counter stained with hematoxylin.
8. Flow cytometric analysis of Hela cells with Pyruvate Dehydrogenase E1 beta subunit antibody at 1/100 dilution (red) compared with an unlabelled control (cells without incubation with primary antibody; black).
verifiedActivityverifiedActivityverifiedActivityverifiedActivityverifiedActivityverifiedActivityverifiedActivityverifiedActivity
应用FCMIHCIPWB
推荐剂量
WB: 1:500-2000; IHC: 1:50-200; FCM: 1:50-100
抗体种类
Monoclonal
宿主来源Rabbit
构建方式Recombinant Antibody
纯化方式ProA affinity purified
性状Liquid
缓冲液1*TBS (pH7.4), 1%BSA, 40%Glycerol. Preservative: 0.05% Sodium Azide.
研究背景The pyruvate dehydrogenase complex catalyzes the overall conversion of pyruvate to acetyl-CoA and CO. It contains multiple copies of three enzymatic components: pyruvate dehydrogenase (E1), dihydrolipoamide acetyltransferase (E2) and lipoamide dehydrogenase (E3). Defects in PDHB are a cause of pyruvate dehydrogenase E1 component deficiency (PDHE1 deficiency). PDHE1 deficiency is the most common enzyme defect in patients with primary lactic acidosis. It is associated with variable clinical phenotypes ranging from neonatal death to prolonged survival complicated by developmental delay, seizures, ataxia, apnea, and in some cases to an X-linked form of Leigh syndrome (LS) (Leigh encephalomyelopathy).
偶联与修饰
偶联
Unconjugated
抗原信息
免疫原
Recombinant Protein
Uniprot ID
储存&溶解度
储存方式Store at -20°C or -80°C for 12 months. Avoid repeated freeze-thaw cycles.
运输方式Shipping with blue ice.

计算器

  • 稀释 计算器
  • 配液 计算器
Related Tags: buy Anti-PDHB Antibody (9C498) | purchase Anti-PDHB Antibody (9C498) | Anti-PDHB Antibody (9C498) cost | order Anti-PDHB Antibody (9C498)