购物车
  • 全部删除
  • TargetMol
    您的购物车当前为空

Anti-PDHA1 Antibody (9B780)

Rating icon 还可以
产品编号 TMAC-03129

Anti-PDHA1 Antibody (9B780) 是一种 Rabbit 抗体,靶向 PDHA1。Anti-PDHA1 Antibody (9B780) 可用于 FCM,ICC/IF,IHC,IP,WB。

Anti-PDHA1 Antibody (9B780)

Anti-PDHA1 Antibody (9B780)

一键复制产品信息
Rating icon 还可以
产品编号 TMAC-03129

Anti-PDHA1 Antibody (9B780) 是一种 Rabbit 抗体,靶向 PDHA1。Anti-PDHA1 Antibody (9B780) 可用于 FCM,ICC/IF,IHC,IP,WB。

规格价格库存数量
50 μL
¥ 1,490
5日内发货
100 μL
¥ 2,485
5日内发货
大包装 & 定制
加入购物车
TargetMol 的所有产品仅用作科学研究或药证申报,不能被用于人体,我们不向个人提供产品和服务。请您遵守承诺用途,不得违反法律法规规定用于任何其他用途。
实验操作小课堂
常见问题解答
查看更多
联系我们获取更多批次信息
资源下载

产品介绍

生物活性
产品描述
Anti-PDHA1 Antibody (9B780) is a Rabbit antibody targeting PDHA1. Anti-PDHA1 Antibody (9B780) can be used in FCM,ICC/IF,IHC,IP,WB.
Ig Type
IgG
克隆号
9B780
交叉反应
Human,Mouse,Rat
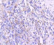
验证活性
1. Western blot analysis of PDHA1 on different lysates using anti-PDHA1 antibody at 1/1,000 dilution. Positive control: Lane 1: 293T, Lane 2: A431, Lane 3: Mouse heart.
2. Immunohistochemical analysis of paraffin-embedded mouse stomach tissue using anti-PDHA1 antibody. Counter stained with hematoxylin.
3. Immunohistochemical analysis of paraffin-embedded human breast carcinoma tissue using anti-PDHA1 antibody. Counter stained with hematoxylin.
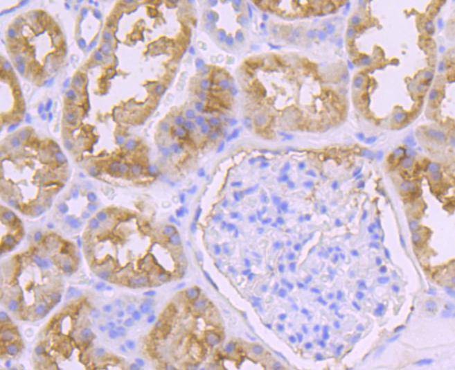
4. Immunohistochemical analysis of paraffin-embedded human kidney tissue using anti-PDHA1 antibody. Counter stained with hematoxylin.
5. Immunohistochemical analysis of paraffin-embedded mouse skeletal muscle tissue using anti-PDHA1 antibody. Counter stained with hematoxylin.
6. Immunohistochemical analysis of paraffin-embedded human lung cancer tissue using anti-PDHA1 antibody. Counter stained with hematoxylin.
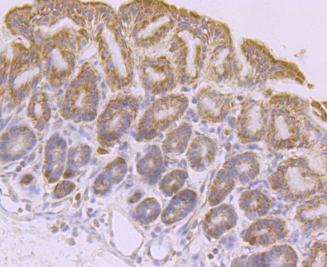
7. Immunohistochemical analysis of paraffin-embedded mouse colon tissue using anti-PDHA1 antibody. Counter stained with hematoxylin.
8. ICC staining PDHA1 in Hela cells (red). The nuclear counter stain is DAPI (blue). Cells were fixed in paraformaldehyde, permeabilised with 0.25% Triton X100/PBS.
9. ICC staining PDHA1 in HepG2 cells (red). The nuclear counter stain is DAPI (blue). Cells were fixed in paraformaldehyde, permeabilised with 0.25% Triton X100/PBS.
10. ICC staining PDHA1 in SH-SY-5Y cells (red). The nuclear counter stain is DAPI (blue). Cells were fixed in paraformaldehyde, permeabilised with 0.25% Triton X100/PBS.
11. Flow cytometric analysis of Hela cells with PDHA1 antibody at 1/50 dilution (red) compared with an unlabelled control (cells without incubation with primary antibody; black). Alexa Fluor 488-conjugated goat anti rabbit IgG was used as the secondary antibody.
verifiedActivityverifiedActivityverifiedActivityverifiedActivityverifiedActivityverifiedActivityverifiedActivityverifiedActivityverifiedActivityverifiedActivityverifiedActivity
应用FCMICC/IFIHCIPWB
推荐剂量
WB: 1:1000-5000; IHC: 1:50-200; ICC/IF: 1:50-200; FCM: 1:50-100
抗体种类
Monoclonal
宿主来源Rabbit
构建方式Recombinant Antibody
纯化方式ProA affinity purified
性状Liquid
缓冲液1*TBS (pH7.4), 1%BSA, 40%Glycerol. Preservative: 0.05% Sodium Azide.
研究背景The pyruvate dehydrogenase (PDH) complex is a nuclear-encoded mitochondrial matrix enzyme complex that functions as the primary link between glycolysis and the tricarboxylic acid (TCA) cycle by catalyzing the irreversible conversion of pyruvate into acetyl-CoA. The E1 enzyme of the PDH complex is made up of a heterotetramer of two α and two β subunits. The E1-α subunit (PDH-E1α) contains the E1 active site and plays a key role in the function of the PDH complex. The PDH complex is regulated by phosphorylation and dephosphorylation of PDH-E1α. The gene encoding for PDH-E1α maps to chromosome Xp22.12, and a 20bp deletion in the last exon of this gene is sufficient to cause PDH deficiency, which causes a broad range of symptoms including the development of seizures, mental retardation and spasticity, as well as intermittent episodes of lactic acidosis associated with cerebellar ataxia.
偶联与修饰
偶联
Unconjugated
抗原信息
免疫原
Recombinant Protein
Uniprot ID
化学信息
分子量Theoretical: 43 kDa.
存储&运输
储存方式Store at -20°C or -80°C for 12 months. Avoid repeated freeze-thaw cycles.
运输方式Shipping with blue ice.

计算器

  • 稀释 计算器

关键词

评论列表

4个月前
5.0
Rating icon 很棒

评论内容

Related Tags: buy Anti-PDHA1 Antibody (9B780) | purchase Anti-PDHA1 Antibody (9B780) | Anti-PDHA1 Antibody (9B780) cost | order Anti-PDHA1 Antibody (9B780) | Anti-PDHA1 Antibody (9B780) molecular weight