购物车
  • 全部删除
  • TargetMol
    您的购物车当前为空

Anti-PDGF R alpha/PDGFRA Antibody (8J71)

Rating icon 还可以
产品编号 TMAC-03117
别名 RHEPDGFRA, PDGFRA, PDGFR-2, PDGFR2, PDGF R α/PDGFRA Protein, Human, Recombinant (His & Avi), Biotinylated, MGC74795, CD140A

Anti-PDGF R alpha/PDGFRA Antibody (8J71) 是一种 Rabbit 抗体,靶向 PDGF R alpha/PDGFRA。Anti-PDGF R alpha/PDGFRA Antibody (8J71) 可用于 FCM,ICC,IHC,WB。

Anti-PDGF R alpha/PDGFRA Antibody (8J71)

Anti-PDGF R alpha/PDGFRA Antibody (8J71)

一键复制产品信息
Rating icon 还可以
产品编号 TMAC-03117 别名 RHEPDGFRA, PDGFRA, PDGFR-2, PDGFR2, PDGF R α/PDGFRA Protein, Human, Recombinant (His & Avi), Biotinylated, MGC74795, CD140A

Anti-PDGF R alpha/PDGFRA Antibody (8J71) 是一种 Rabbit 抗体,靶向 PDGF R alpha/PDGFRA。Anti-PDGF R alpha/PDGFRA Antibody (8J71) 可用于 FCM,ICC,IHC,WB。

规格价格库存数量
50 μL
¥ 1,490
5日内发货
100 μL
¥ 2,495
5日内发货
大包装 & 定制
加入购物车
TargetMol 的所有产品仅用作科学研究或药证申报,不能被用于人体,我们不向个人提供产品和服务。请您遵守承诺用途,不得违反法律法规规定用于任何其他用途。
实验操作小课堂
常见问题解答
查看更多
联系我们获取更多批次信息
资源下载

产品介绍

生物活性
产品描述
Anti-PDGF R alpha/PDGFRA Antibody (8J71) is a Rabbit antibody targeting PDGF R alpha/PDGFRA. Anti-PDGF R alpha/PDGFRA Antibody (8J71) can be used in FCM,ICC,IHC,WB.
别名RHEPDGFRA, PDGFRA, PDGFR-2, PDGFR2, PDGF R α/PDGFRA Protein, Human, Recombinant (His & Avi), Biotinylated, MGC74795, CD140A
Ig Type
IgG
克隆号
8J71
交叉反应
Human,Mouse,Rat
验证活性
1. Western blot analysis of PDGFR alpha on NIH/3T3 cells lysates using anti-PDGFR alpha antibody at 1/1,000 dilution.
2. Immunohistochemical analysis of paraffin-embedded mouse colon tissue using anti-PDGFR alpha antibody. Counter stained with hematoxylin.
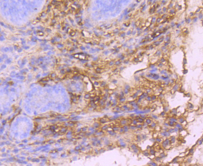
3. Immunohistochemical analysis of paraffin-embedded mouse brain tissue using anti-PDGFR alpha antibody. Counter stained with hematoxylin.
4. Immunohistochemical analysis of paraffin-embedded mouse uterus tissue using anti-PDGFR alpha antibody. Counter stained with hematoxylin.
5. ICC staining PDGFR alpha in A549 cells (red). The nuclear counter stain is DAPI (blue). Cells were fixed in paraformaldehyde, permeabilised with 0.25% Triton X100/PBS.
6. ICC staining PDGFR alpha in NIH/3T3 cells (red). The nuclear counter stain is DAPI (blue). Cells were fixed in paraformaldehyde, permeabilised with 0.25% Triton X100/PBS.
7. Flow cytometric analysis of Hela cells with PDGFR alpha antibody at 1/50 dilution (red) compared with an unlabelled control (cells without incubation with primary antibody; black). Alexa Fluor 488-conjugated goat anti rabbit IgG was used as the secondary antibody.
verifiedActivityverifiedActivityverifiedActivityverifiedActivityverifiedActivityverifiedActivityverifiedActivity
应用FCMICCIHCWB
推荐剂量
WB: 1:1000-5000; IHC: 1:50-200; ICC: 1:50-200; FCM: 1:50-100
抗体种类
Monoclonal
宿主来源Rabbit
构建方式Recombinant Antibody
纯化方式ProA affinity purified
性状Liquid
缓冲液1*TBS (pH7.4), 1%BSA, 40%Glycerol. Preservative: 0.05% Sodium Azide.
研究背景Platelet-derived growth factor (PDGF) is a mitogen for mesenchyme- and glia-derived cells. PDGF consists of two chains, A and B, which dimerize to form functionally distinct isoforms, PGDF-AA, PDGF-AB and PDGF-BB. These three isoforms bind with different affinities to two receptor types, PDGFR-α and -β, which are endowed with protein tyrosine kinase domains. PDGFR-α can bind to both A and B subunits of PDGF, while PDGFR-β can only bind the B subunit. Ligand binding promotes either homo- or heterodimerization of the PDGF receptors in a specific manner. PDGF-AA induces the dimerization of two α receptors, PDGF-AB induces dimerization of αα and αβ and PDGF-BB induces the formation of three types of dimers, αα, αβ and ββ. Translocation of the PDGFR-β gene with the Tel gene is linked to chronic myelomonocytic leukemia (CMML), a myelodysplastic syndrome, and demonstrates the oncogenic potential of the PDGF receptors.
偶联与修饰
偶联
Unconjugated
抗原信息
免疫原
Recombinant Protein
Uniprot ID
化学信息
分子量Theoretical: 123 kDa.
存储&运输
储存方式Store at -20°C or -80°C for 12 months. Avoid repeated freeze-thaw cycles.
运输方式Shipping with blue ice.

计算器

  • 稀释 计算器

关键词

评论列表

4个月前
5.0
Rating icon 很棒

评论内容

Related Tags: buy Anti-PDGF R alpha/PDGFRA Antibody (8J71) | purchase Anti-PDGF R alpha/PDGFRA Antibody (8J71) | Anti-PDGF R alpha/PDGFRA Antibody (8J71) cost | order Anti-PDGF R alpha/PDGFRA Antibody (8J71) | Anti-PDGF R alpha/PDGFRA Antibody (8J71) molecular weight