购物车
  • TargetMol
    您的购物车当前为空

Anti-PCSK9 Polyclonal Antibody

Synonyms: proprotein convertase subtilisin/kexin type 9, PC9, NARC-1, NARC1, LDLCQ1, HCHOLA3, FH3
货号 TMAB-01345Cas号 一键复制产品信息纯度:
Rating icon 还可以

Anti-PCSK9 Polyclonal Antibody 是一种 Rabbit 抗体,靶向 PCSK9。Anti-PCSK9 Polyclonal Antibody 可用于 FCM, ICC/IF, IF, IHC-Fr, IHC-P, WB。

Anti-PCSK9 Polyclonal Antibody

一键复制产品信息
Rating icon 还可以
货号 TMAB-01345

别名 proprotein convertase subtilisin/kexin type 9, PC9, NARC-1, NARC1, LDLCQ1, HCHOLA3, FH3

Anti-PCSK9 Polyclonal Antibody 是一种 Rabbit 抗体,靶向 PCSK9。Anti-PCSK9 Polyclonal Antibody 可用于 FCM, ICC/IF, IF, IHC-Fr, IHC-P, WB。

Anti-PCSK9 Polyclonal Antibody
规格价格库存数量
50 μL
¥ 1,170
5日内发货
100 μL
¥ 1,970
5日内发货
200 μL
¥ 2,780
5日内发货
库存状态实时更新,以官网显示为准,现货产品可直接加购物车下单
大包装 & 定制
加入购物车

TargetMol的所有产品仅用作科学研究或药证申报,不能被用于人体,我们不向个人提供产品和服务。请您遵守承诺用途,不得违反法律法规规定用于任何其他用途。

实验操作小课堂
常见问题解答
查看更多

资源下载:产品操作手册

产品介绍


生物活性
产品描述
Anti-PCSK9 Polyclonal Antibody is a Rabbit antibody targeting PCSK9. Anti-PCSK9 Polyclonal Antibody can be used in FCM, ICC/IF, IF, IHC-Fr, IHC-P, WB.
别名
proprotein convertase subtilisin/kexin type 9, PC9, NARC-1, NARC1, LDLCQ1, HCHOLA3, FH3
Ig Type
IgG
反应种属
Human,Mouse,Rat
验证活性
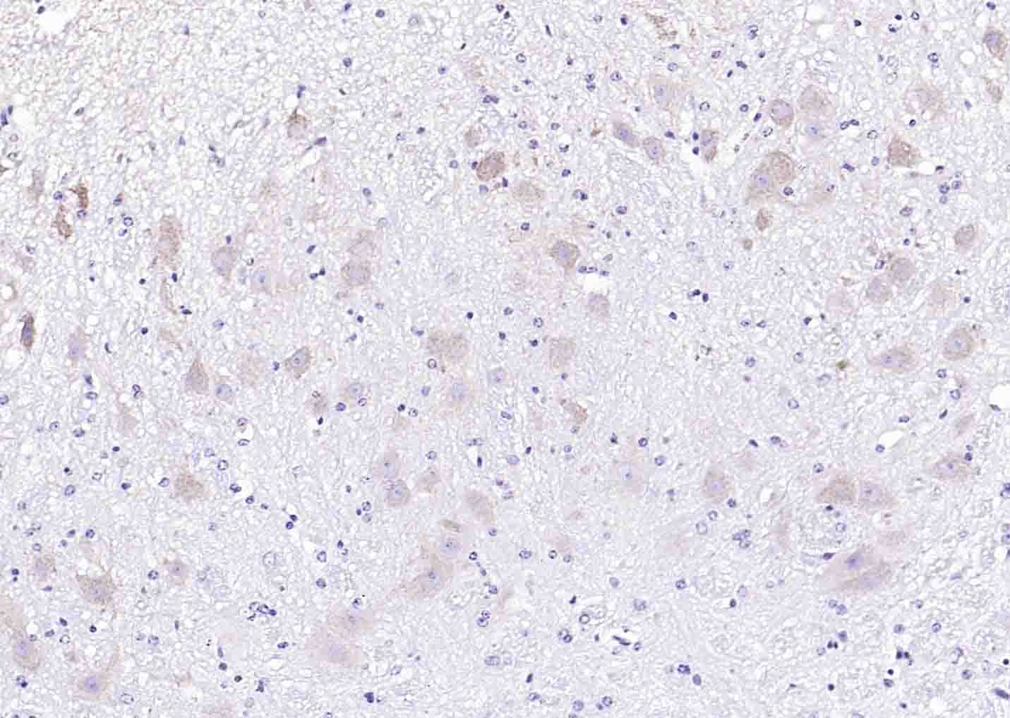
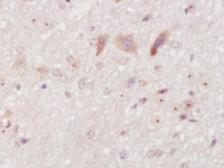
1. Paraformaldehyde-fixed, paraffin embedded (Rat brain); Antigen retrieval by boiling in sodium citrate buffer (pH6.0) for 15 min; Block endogenous peroxidase by 3% hydrogen peroxide for 20 min; Blocking buffer (normal goat serum) at 37°C for 30 min; Antibody incubation with (NARC1 PCSK9) Polyclonal Antibody, Unconjugated (TMAB-01345) at 1:400 overnight at 4°C, followed by operating according to SP Kit (Rabbit) instructionsand DAB staining.
2. Paraformaldehyde-fixed, paraffin embedded (Mouse brain); Antigen retrieval by boiling in sodium citrate buffer (pH6.0) for 15 min; Block endogenous peroxidase by 3% hydrogen peroxide for 20 min; Blocking buffer (normal goat serum) at 37°C for 30 min; Antibody incubation with (NARC1 PCSK9) Polyclonal Antibody, Unconjugated (TMAB-01345) at 1:400 overnight at 4°C, followed by operating according to SP Kit (Rabbit) instructionsand DAB staining.
3. Sample:
Lane 1: HepG2 (Human) Cell Lysate at 30 μg
Lane 2: SW480 (Human) Cell Lysate at 30 μg
Primary: Anti-NARC1/PCSK9 (TMAB-01345) at 1/1000 dilution
Secondary: IRDye800CW Goat Anti-Rabbit IgG at 1/20000 dilution
Predicted band size: 72 kDa
Observed band size: 70 kDa
4. A431 cell; 4% Paraformaldehyde-fixed; Triton X-100 at room temperature for 20 min; Blocking buffer (normal goat serum) at 37°C for 20 min; Antibody incubation with (NARC1/PCSK9) polyclonal Antibody, Unconjugated (TMAB-01345) 1:100, 90 minutes at 37°C; followed by a conjugated Goat Anti-Rabbit IgG antibody at 37°C for 90 minutes, DAPI (blue) was used to stain the cell nucleus.
5. Sample:
Lane 1: A431 (Human) Cell Lysate at 30 μg
Lane 2: Uterus (Mouse) Lysate at 40 μg
Primary: Anti-NARC1/PCSK9 (TMAB-01345) at 1/1000 dilution
Secondary: IRDye800CW Goat Anti-Rabbit IgG at 1/20000 dilution
Predicted band size: 72 kDa
Observed band size: 70 kD
6. Blank control: K562. Primary Antibody (green line): Rabbit Anti-NARC1/PCSK9 antibody (TMAB-01345)
Dilution: 2 μg/10^6 cells;
Isotype Control Antibody (orange line): Rabbit IgG.
Secondary Antibody: Goat anti-rabbit IgG-FITC
Dilution: 0.5 μg/test.
Protocol
The cells were fixed with 4% PFA (10 min at room temperature) and then permeabilized with 90% ice-cold methanol for 20 min at-20°C. The cells were then incubated in 5% BSA to block non-specific protein-protein interactions for 30 min at room temperature. Cells stained with Primary Antibody for 30 min at room temperature. The secondary antibody used for 40 min at room temperature.
7. Paraformaldehyde-fixed, paraffin embedded (mouse cerebellum); Antigen retrieval by boiling in sodium citrate buffer (pH6.0) for 15 min; Block endogenous peroxidase by 3% hydrogen peroxide for 20 min; Blocking buffer (normal goat serum) at 37°C for 30 min; Antibody incubation with (NARC1/PCSK9) Polyclonal Antibody, Unconjugated (TMAB-01345) at 1:200 overnight at 4°C, followed by operating according to SP Kit (Rabbit) instructionsand DAB staining.
8. Sample:
Lane 1: Recombinant human PCSK9 protein, C-His (HEK293)
Primary: Anti-NARC1/PCSK9 (TMAB-01345) at 1/1000 dilution
Secondary: IRDye800CW Goat Anti-Rabbit IgG at 1/20000 dilution
Predicted band size: 57 kDa
Observed band size: 63 kDa
verifiedActivityverifiedActivityverifiedActivityverifiedActivityverifiedActivityverifiedActivityverifiedActivityverifiedActivity
应用FCMICC/IFIFIHC-FrIHC-PWB
推荐剂量
FCM=2 μg/Test; ICC/IF=1:100-500; IF=1:100-500; IHC-Fr=1:100-500; IHC-P=1:100-500; WB=1:500-2000
抗体种类
Polyclonal
宿主来源Rabbit
亚细胞定位Secreted.
组织特异性Expressed in neuro-epithelioma, colon carcinoma, hepatic and pancreatic cell lines, and in Schwann cells.
构建方式Polyclonal Antibody
纯化方式Protein A purified
性状Liquid
缓冲液0.01M TBS (pH7.4) with 1% BSA, 0.02% Proclin300 and 50% Glycerol.
浓度1 mg/mL
研究背景May be implicated in the differentiation of cortical neurons and may play a role in cholesterol homeostasis.
抗原信息
免疫原
KLH conjugated synthetic peptide: human PCSK9/NARC1
抗原种属
Human
基因名称
PCSK9
基因ID
蛋白名称
Proprotein convertase subtilisin/kexin type 9
Uniprot ID
研究领域
Cholesterol Metabolism,Proprotein Convertases,Amino acid metabolism,Cholesterol Metabolism,Amino Acids,Lipid metabolism,Intracellular
功能
The precursor protein but not the mature protein may form multimers.
化学信息
分子量Theoretical: 57 kDa. Actual: 65 kDa.
储存&溶解度
储存方式Store at -20°C or -80°C for 12 months. Avoid repeated freeze-thaw cycles.
运输方式Shipping with blue ice.

计算器

  • 稀释 计算器
  • 配液 计算器
Related Tags: buy Anti-PCSK9 Polyclonal Antibody | purchase Anti-PCSK9 Polyclonal Antibody | Anti-PCSK9 Polyclonal Antibody cost | order Anti-PCSK9 Polyclonal Antibody | Anti-PCSK9 Polyclonal Antibody molecular weight