购物车
  • TargetMol
    您的购物车当前为空

Anti-PAX6 Antibody (9N406)

Synonyms: PAX 6, Paired box protein Pax-6, Oculorhombin, Aniridia type II protein, AN2
货号 TMAC-03077Cas号 一键复制产品信息纯度:
Rating icon 还可以

Anti-PAX6 Antibody (9N406) 是一种 Rabbit 抗体,靶向 PAX6。Anti-PAX6 Antibody (9N406) 可用于 FCM,IHC,WB。

Anti-PAX6 Antibody (9N406)

一键复制产品信息
Rating icon 还可以
货号 TMAC-03077

别名 PAX 6, Paired box protein Pax-6, Oculorhombin, Aniridia type II protein, AN2

Anti-PAX6 Antibody (9N406) 是一种 Rabbit 抗体,靶向 PAX6。Anti-PAX6 Antibody (9N406) 可用于 FCM,IHC,WB。

Anti-PAX6 Antibody (9N406)
规格价格库存数量
50 μL
¥ 1,495
5日内发货
100 μL
¥ 2,480
5日内发货
库存状态实时更新,以官网显示为准,现货产品可直接加购物车下单
大包装 & 定制
加入购物车

TargetMol的所有产品仅用作科学研究或药证申报,不能被用于人体,我们不向个人提供产品和服务。请您遵守承诺用途,不得违反法律法规规定用于任何其他用途。

实验操作小课堂
常见问题解答
查看更多

资源下载:产品操作手册

产品介绍


生物活性
产品描述
Anti-PAX6 Antibody (9N406) is a Rabbit antibody targeting PAX6. Anti-PAX6 Antibody (9N406) can be used in FCM,IHC,WB.
别名
PAX 6, Paired box protein Pax-6, Oculorhombin, Aniridia type II protein, AN2
Ig Type
IgG
克隆号
9N406
反应种属
Human,Mouse,Rat
验证活性
1. Western blot analysis of PAX6 on mouse eyes lysates using anti-PAX6 antibody at 1/1,000 dilution.
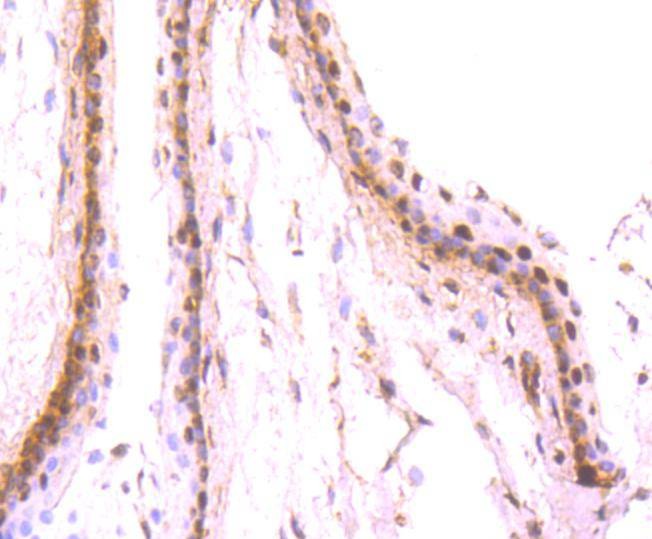
2. Immunohistochemical analysis of paraffin-embedded rat eyes tissue using anti-PAX6 antibody. Counter stained with hematoxylin.
3. Immunohistochemical analysis of paraffin-embedded mouse eyes tissue using anti-PAX6 antibody. Counter stained with hematoxylin.
4. Flow cytometric analysis of SH-SY-5Y cells with PAX6 antibody at 1/50 dilution (red) compared with an unlabelled control (cells without incubation with primary antibody; black). Alexa Fluor 488-conjugated goat anti rabbit IgG was used as the ssecondary antibody.
verifiedActivityverifiedActivityverifiedActivityverifiedActivity
应用FCMIHCWB
推荐剂量
WB: 1:1000-5000; IHC: 1:50-200; FCM: 1:50-100
抗体种类
Monoclonal
宿主来源Rabbit
构建方式Recombinant Antibody
纯化方式ProA affinity purified
性状Liquid
缓冲液1*TBS (pH7.4), 1%BSA, 40%Glycerol. Preservative: 0.05% Sodium Azide.
研究背景Pax genes contain paired domains with strong homology to genes in Drosophila which are involved in programming early development. Lesions in the Pax-6 gene account for most cases of aniridia, a congenital malformation of the eye, chiefly characterized by iris hypoplasia, which can cause blindness. Pax-6 is involved in other anterior segment malformations besides aniridia, such as Peters anomaly, a major error in the embryonic development of the eye with corneal clouding with variable iridolenticulocorneal adhesions. The Pax-6 gene encodes a transcriptional regulator that recognizes target genes through its paired-type DNA-binding domain. The paired domain is composed of two distinct DNA-binding subdomains, the amino-terminal subdomain and the carboxy-terminal subdomain, which bind respective consensus DNA sequences. The human Pax-6 gene produces two alternatively spliced isoforms that have the distinct structure of the paired domain.
偶联与修饰
偶联
Unconjugated
抗原信息
免疫原
Recombinant Protein
Uniprot ID
化学信息
分子量Theoretical: 47 kDa.
储存&溶解度
储存方式Store at -20°C or -80°C for 12 months. Avoid repeated freeze-thaw cycles.
运输方式Shipping with blue ice.

计算器

  • 稀释 计算器
  • 配液 计算器
Related Tags: buy Anti-PAX6 Antibody (9N406) | purchase Anti-PAX6 Antibody (9N406) | Anti-PAX6 Antibody (9N406) cost | order Anti-PAX6 Antibody (9N406) | Anti-PAX6 Antibody (9N406) molecular weight