购物车
  • TargetMol
    您的购物车当前为空

Anti-p63 Antibody (4X27)

Synonyms: tumor protein p63, TP73L, TP53L, TP53CP, SHFM4, RHS, p73L, p73H, p63, p53CP, p51, p40, OFC8, NBP, LMS, KET, EEC3, B(p51B), B(p51A), AIS
货号 TMAC-03013 一键复制产品信息
Rating icon 还可以

Anti-p63 Antibody (4X27) 是一种 Rabbit 抗体,靶向 p63。Anti-p63 Antibody (4X27) 可用于 FCM,ICC/IF,IHC,WB。

Anti-p63 Antibody (4X27)

一键复制产品信息
Rating icon 还可以
货号 TMAC-03013

别名 tumor protein p63, TP73L, TP53L, TP53CP, SHFM4, RHS, p73L, p73H, p63, p53CP, p51, p40, OFC8, NBP, LMS, KET, EEC3, B(p51B), B(p51A), AIS

Anti-p63 Antibody (4X27) 是一种 Rabbit 抗体,靶向 p63。Anti-p63 Antibody (4X27) 可用于 FCM,ICC/IF,IHC,WB。

Anti-p63 Antibody (4X27)
规格价格库存数量
50 μL
¥ 1,480
5日内发货
100 μL
¥ 2,485
5日内发货
库存状态实时更新,以官网显示为准,现货产品可直接加购物车下单
大包装 & 定制
加入购物车

TargetMol的所有产品仅用作科学研究或药证申报,不能被用于人体,我们不向个人提供产品和服务。请您遵守承诺用途,不得违反法律法规规定用于任何其他用途。

实验操作小课堂
常见问题解答
查看更多

资源下载:产品操作手册

产品介绍


生物活性
产品描述
Anti-p63 Antibody (4X27) is a Rabbit antibody targeting p63. Anti-p63 Antibody (4X27) can be used in FCM,ICC/IF,IHC,WB.
别名
tumor protein p63, TP73L, TP53L, TP53CP, SHFM4, RHS, p73L, p73H, p63, p53CP, p51, p40, OFC8, NBP, LMS, KET, EEC3, B(p51B), B(p51A), AIS
Ig Type
IgG
克隆号
4X27
反应种属
Human,Mouse,Rat
验证活性
1. Western blot analysis of p63 on human kidney lysates using anti-p63 antibody at 1/1,000 dilution.
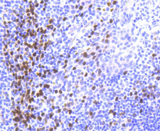
2. Immunohistochemical analysis of paraffin-embedded human tonsil tissue using anti-p63 antibody. Counter stained with hematoxylin.
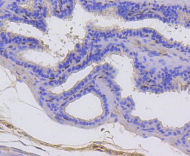
3. Immunohistochemical analysis of paraffin-embedded mouse prostate tissue using anti-p63 antibody. Counter stained with hematoxylin.
4. ICC staining p63 in A431 cells (green). The nuclear counter stain is DAPI (blue). Cells were fixed in paraformaldehyde, permeabilised with 0.25% Triton X100/PBS.
5. Flow cytometric analysis of A431 cells with p63 antibody at 1/50 dilution (black) compared with an unlabelled control (cells without incubation with primary antibody; red). Alexa Fluor 488-conjugated goat anti rabbit IgG was used as the secondary antibody.
verifiedActivityverifiedActivityverifiedActivityverifiedActivityverifiedActivity
应用FCMICC/IFIHCWB
推荐剂量
WB: 1:1000-2000; IHC: 1:50-200; ICC/IF: 1:50-200; FCM: 1:50-100
抗体种类
Monoclonal
宿主来源Rabbit
构建方式Recombinant Antibody
纯化方式ProA affinity purified
性状Liquid
缓冲液1*TBS (pH7.4), 1%BSA, 40%Glycerol. Preservative: 0.05% Sodium Azide.
研究背景The p53 tumor suppressor protein plays a major role in cellular response to DNA damage and other genomic aberrations. Activation of p53 can lead to either cell cycle arrest and DNA repair or apoptosis. In addition to p53, mammalian cells contain two p53 family members, p63 and p73, which are similar to p53 in both structure and function. While p63 can induce p53-responsive genes and apoptosis, mutation of p63 rarely results in tumors. Research investigators frequently observe amplification of the p63 gene in squamous cell carcinomas of the lung, head and neck. The p63 gene contains an alternative transcription initiation site that yields a 40 kDa δNp63 lacking the transactivation domain, and alternative splicing at the carboxy-terminus yields the α, β, and γ isoforms.
偶联与修饰
偶联
Unconjugated
抗原信息
免疫原
Recombinant Protein
Uniprot ID
化学信息
分子量Theoretical: 55 kDa.
储存&溶解度
储存方式Store at -20°C or -80°C for 12 months. Avoid repeated freeze-thaw cycles.
运输方式Shipping with blue ice.

计算器

  • 稀释 计算器
  • 配液 计算器
Related Tags: buy Anti-p63 Antibody (4X27) | purchase Anti-p63 Antibody (4X27) | Anti-p63 Antibody (4X27) cost | order Anti-p63 Antibody (4X27) | Anti-p63 Antibody (4X27) molecular weight