购物车
  • 全部删除
  • TargetMol
    您的购物车当前为空

Anti-OGT Antibody (8O260)

Rating icon 还可以
产品编号 TMAC-02917

Anti-OGT Antibody (8O260) 是一种 Rabbit 抗体,靶向 OGT。Anti-OGT Antibody (8O260) 可用于 FCM,ICC,IF,IHC,WB。

Anti-OGT Antibody (8O260)

Anti-OGT Antibody (8O260)

一键复制产品信息
Rating icon 还可以
产品编号 TMAC-02917

Anti-OGT Antibody (8O260) 是一种 Rabbit 抗体,靶向 OGT。Anti-OGT Antibody (8O260) 可用于 FCM,ICC,IF,IHC,WB。

规格价格库存数量
50 μL
¥ 1,495
5日内发货
100 μL
¥ 2,490
5日内发货
大包装 & 定制
加入购物车
TargetMol 的所有产品仅用作科学研究或药证申报,不能被用于人体,我们不向个人提供产品和服务。请您遵守承诺用途,不得违反法律法规规定用于任何其他用途。
实验操作小课堂
常见问题解答
查看更多
联系我们获取更多批次信息
资源下载

产品介绍

生物活性
产品描述
Anti-OGT Antibody (8O260) is a Rabbit antibody targeting OGT. Anti-OGT Antibody (8O260) can be used in FCM,ICC,IF,IHC,WB.
Ig Type
IgG
克隆号
8O260
交叉反应
Human,Mouse,Rat
验证活性
1. Western blot analysis of OGT on Hela (1) and SiHa (2) cell lysate using anti-OGT antibody at 1/500 dilution.
2. Immunohistochemical analysis of paraffin-embedded rat epididymis tissue using anti-OGT antibody. Counter stained with hematoxylin.
3. Immunohistochemical analysis of paraffin-embedded human liver tissue using anti-OGT antibody. Counter stained with hematoxylin.
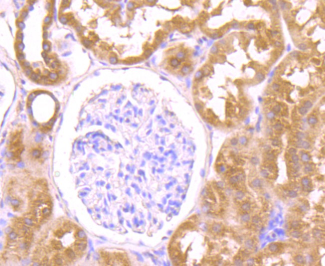
4. Immunohistochemical analysis of paraffin-embedded human kidney tissue using anti-OGT antibody. Counter stained with hematoxylin.
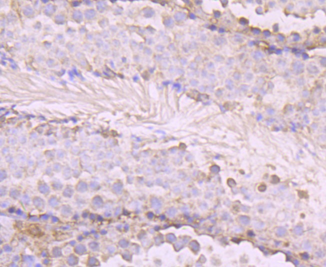
5. Immunohistochemical analysis of paraffin-embedded mouse testis tissue using anti-OGT antibody. Counter stained with hematoxylin.
6. ICC staining OGT in A431 cells (green). The nuclear counter stain is DAPI (blue). Cells were fixed in paraformaldehyde, permeabilised with 0.25% Triton X100/PBS.
7. ICC staining OGT in Hela cells (green). The nuclear counter stain is DAPI (blue). Cells were fixed in paraformaldehyde, permeabilised with 0.25% Triton X100/PBS.
8. ICC staining OGT in PC-3M cells (green). The nuclear counter stain is DAPI (blue). Cells were fixed in paraformaldehyde, permeabilised with 0.25% Triton X100/PBS.
9. Flow cytometric analysis of Hela cells with OGT antibody at 1/100 dilution (red) compared with an unlabelled control (cells without incubation with primary antibody; black). Alexa Fluor 488-conjugated goat anti rabbit IgG was used as the secondary antibody.
verifiedActivityverifiedActivityverifiedActivityverifiedActivityverifiedActivityverifiedActivityverifiedActivityverifiedActivityverifiedActivity
应用FCMICCIFIHCWB
推荐剂量
WB: 1:500; IHC: 1:50-200; ICC: 1:500-1000; FCM: 1:50-100
抗体种类
Monoclonal
宿主来源Rabbit
构建方式Recombinant Antibody
纯化方式ProA affinity purified
性状Liquid
缓冲液1*TBS (pH7.4), 1%BSA, 40%Glycerol. Preservative: 0.05% Sodium Azide.
研究背景O-linked N-acetylglucosamine (O-GlcNAc) transferase (also designated OGT) catalyzes the addition of a single N-acetylglucosamine in O-glycosidic linkage to serine or threonine residues. Since both phosphorylation and glycosylation compete for similar serine or threonine residues, the two processes may compete for sites, or they may alter the substrate specificity of nearby sites by steric or electrostatic effects. O-GlcNAc transferase has been purified from rat liver. It exists as a heterotrimeric complex with two subunits of the same molecular mass and one shorter subunit. Both polypeptides are related; the short subunit band is either a proteolytic product of the polypeptide or the product of an alternative translation start site. O-GlcNAc transferase is expressed as multiple transcripts that are present in different amounts in various human tissues, with the highest levels of expression in pancreas. Immunofluorescence of human cells expressing rat O-GlcNAc transferase indicated that it is present in both the nucleus and cytosol. HeLa cells expressing O-GlcNAc transferase do not survive well during prolonged incubations, suggesting that this protein may be toxic to the cells.
偶联与修饰
偶联
Unconjugated
抗原信息
免疫原
Recombinant Protein
Uniprot ID
化学信息
分子量Theoretical: 117 kDa.
存储&运输
储存方式Store at -20°C or -80°C for 12 months. Avoid repeated freeze-thaw cycles.
运输方式Shipping with blue ice.

计算器

  • 稀释 计算器

关键词

评论列表

4个月前
5.0
Rating icon 很棒

评论内容

Related Tags: buy Anti-OGT Antibody (8O260) | purchase Anti-OGT Antibody (8O260) | Anti-OGT Antibody (8O260) cost | order Anti-OGT Antibody (8O260) | Anti-OGT Antibody (8O260) molecular weight