购物车
  • 全部删除
  • TargetMol
    您的购物车当前为空

Anti-NLRP3 Antibody (7T54)

Rating icon 还可以
产品编号 TMAC-02854
别名 PYRIN-containing APAF1-like protein 1, PYPAF1, NLRP3, NALP3, NACHT, LRR and PYD domains-containing protein 3, LRR and PYD domains-containing protein 3, Cryopyrin, Cold-induced autoinflammatory syndrome 1 protein, CIAS1, Caterpiller protein 1.1 (CLR1.1), C1orf7, Angiotensin/vasopressin receptor AII/AVP-like

Anti-NLRP3 Antibody (7T54) 是一种 Rabbit 抗体,靶向 NLRP3。Anti-NLRP3 Antibody (7T54) 可用于 FCM,ICC/IF,IHC,IP,WB。

Anti-NLRP3 Antibody (7T54)

Anti-NLRP3 Antibody (7T54)

一键复制产品信息
Rating icon 还可以
产品编号 TMAC-02854 别名 PYRIN-containing APAF1-like protein 1, PYPAF1, NLRP3, NALP3, NACHT, LRR and PYD domains-containing protein 3, LRR and PYD domains-containing protein 3, Cryopyrin, Cold-induced autoinflammatory syndrome 1 protein, CIAS1, Caterpiller protein 1.1 (CLR1.1), C1orf7, Angiotensin/vasopressin receptor AII/AVP-like

Anti-NLRP3 Antibody (7T54) 是一种 Rabbit 抗体,靶向 NLRP3。Anti-NLRP3 Antibody (7T54) 可用于 FCM,ICC/IF,IHC,IP,WB。

规格价格库存数量
50 μL
¥ 1,495
5日内发货
100 μL
¥ 2,480
5日内发货
大包装 & 定制
加入购物车
TargetMol 的所有产品仅用作科学研究或药证申报,不能被用于人体,我们不向个人提供产品和服务。请您遵守承诺用途,不得违反法律法规规定用于任何其他用途。
实验操作小课堂
常见问题解答
查看更多
联系我们获取更多批次信息
资源下载

产品介绍

生物活性
产品描述
Anti-NLRP3 Antibody (7T54) is a Rabbit antibody targeting NLRP3. Anti-NLRP3 Antibody (7T54) can be used in FCM,ICC/IF,IHC,IP,WB.
别名PYRIN-containing APAF1-like protein 1, PYPAF1, NLRP3, NALP3, NACHT, LRR and PYD domains-containing protein 3, LRR and PYD domains-containing protein 3, Cryopyrin, Cold-induced autoinflammatory syndrome 1 protein, CIAS1, Caterpiller protein 1.1 (CLR1.1), C1orf7, Angiotensin/vasopressin receptor AII/AVP-like
Ig Type
IgG
克隆号
7T54
交叉反应
Human,Mouse,Rat
验证活性
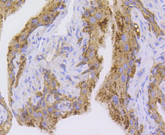
1. Immunohistochemical analysis of paraffin-embedded mouse bladder tissue using anti- NLRP3 antibody. Counter stained with hematoxylin.
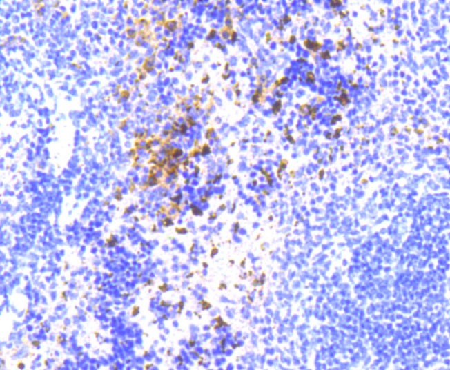
2. Immunohistochemical analysis of paraffin-embedded mouse spleen tissue using anti- NLRP3 antibody. Counter stained with hematoxylin.
3. ICC staining NLRP3 in Hela cells (green). The nuclear counter stain is DAPI (blue). Cells were fixed in paraformaldehyde, permeabilised with 0.25% Triton X100/PBS.
4. ICC staining NLRP3 in HUVEC cells (green). The nuclear counter stain is DAPI (blue). Cells were fixed in paraformaldehyde, permeabilised with 0.25% Triton X100/PBS.
5. ICC staining NLRP3 in PMVEC cells (green). The nuclear counter stain is DAPI (blue). Cells were fixed in paraformaldehyde, permeabilised with 0.25% Triton X100/PBS.
6. Flow cytometric analysis of Jurkat cells with NLRP3 antibody at 1/50 dilution (red) compared with an unlabelled control (cells without incubation with primary antibody; black). Alexa Fluor 488-conjugated goat anti rabbit IgG was used as the secondary antibody.
7. Western blot analysis of lysates from 293, MCF7 and U-87 MG cells using NLRP3 Rabbit mAb.
verifiedActivityverifiedActivityverifiedActivityverifiedActivityverifiedActivityverifiedActivityverifiedActivity
应用FCMICC/IFIHCIPWB
推荐剂量
WB: 1:1000; IHC: 1:50-200; ICC/IF: 1:100-500; FCM: 1:50-100
抗体种类
Monoclonal
宿主来源Rabbit
构建方式Recombinant Antibody
纯化方式ProA affinity purified
性状Liquid
缓冲液1*TBS (pH7.4), 1%BSA, 40%Glycerol. Preservative: 0.05% Sodium Azide.
研究背景Cryopyrin interacts selectively with apoptosis-associated specklike protein containing a CARD domain (ASC). This complex may function as an upstream activator of NFkB signaling and caspase-1 activation. The complex also inhibits TNFa induced activation and nuclear translocation of RelA/NFkB p65. Mutations in Cryopyrin and Pyrin proteins are responsible for several autoinflammatory disorders in humans, including familial cold autoinflammatory syndrome (FCAS), Muckle-Wells syndrome (MWS) and chronic infantile neurologic cutaneous and articular syndrome (CINCA).
偶联与修饰
偶联
Unconjugated
抗原信息
免疫原
Recombinant Protein
Uniprot ID
化学信息
分子量Theoretical: 118/85 kDa.
存储&运输
储存方式Store at -20°C or -80°C for 12 months. Avoid repeated freeze-thaw cycles.
运输方式Shipping with blue ice.

计算器

  • 稀释 计算器

关键词

评论列表

4个月前
5.0
Rating icon 很棒

评论内容

Related Tags: buy Anti-NLRP3 Antibody (7T54) | purchase Anti-NLRP3 Antibody (7T54) | Anti-NLRP3 Antibody (7T54) cost | order Anti-NLRP3 Antibody (7T54) | Anti-NLRP3 Antibody (7T54) molecular weight