购物车
  • TargetMol
    您的购物车当前为空

Anti-NDUFS4 Antibody (3X649)

Synonyms: NDUFS 4, NADH-ubiquinone oxidoreductase 18 kDa subunit, NADH dehydrogenase [ubiquinone] iron-sulfur protein 4, mitochondrial, Complex I-AQDQ, Complex I-18 kDa, CI-AQDQ, CI-18 kDa
货号 TMAC-02765Cas号 一键复制产品信息纯度:
Rating icon 还可以

Anti-NDUFS4 Antibody (3X649) 是一种 Rabbit 抗体,靶向 NDUFS4。Anti-NDUFS4 Antibody (3X649) 可用于 FCM,IHC,IP,WB。

Anti-NDUFS4 Antibody (3X649)

一键复制产品信息
Rating icon 还可以
货号 TMAC-02765

别名 NDUFS 4, NADH-ubiquinone oxidoreductase 18 kDa subunit, NADH dehydrogenase [ubiquinone] iron-sulfur protein 4, mitochondrial, Complex I-AQDQ, Complex I-18 kDa, CI-AQDQ, CI-18 kDa

Anti-NDUFS4 Antibody (3X649) 是一种 Rabbit 抗体,靶向 NDUFS4。Anti-NDUFS4 Antibody (3X649) 可用于 FCM,IHC,IP,WB。

Anti-NDUFS4 Antibody (3X649)
规格价格库存数量
50 μL
¥ 1,495
5日内发货
100 μL
¥ 2,485
5日内发货
库存状态实时更新,以官网显示为准,现货产品可直接加购物车下单
大包装 & 定制
加入购物车

TargetMol的所有产品仅用作科学研究或药证申报,不能被用于人体,我们不向个人提供产品和服务。请您遵守承诺用途,不得违反法律法规规定用于任何其他用途。

实验操作小课堂
常见问题解答
查看更多

资源下载:产品操作手册

产品介绍


生物活性
产品描述
Anti-NDUFS4 Antibody (3X649) is a Rabbit antibody targeting NDUFS4. Anti-NDUFS4 Antibody (3X649) can be used in FCM,IHC,IP,WB.
别名
NDUFS 4, NADH-ubiquinone oxidoreductase 18 kDa subunit, NADH dehydrogenase [ubiquinone] iron-sulfur protein 4, mitochondrial, Complex I-AQDQ, Complex I-18 kDa, CI-AQDQ, CI-18 kDa
Ig Type
IgG
克隆号
3X649
反应种属
Human,Mouse,Rat
验证活性
1. Western blot analysis of Ndufs4 on rat heart tissue lysate using anti-Ndufs4 antibody at 1/1,000 dilution.
2. Immunohistochemical analysis of paraffin-embedded rat kidney tissue using anti-Ndufs4 antibody. Counter stained with hematoxylin.
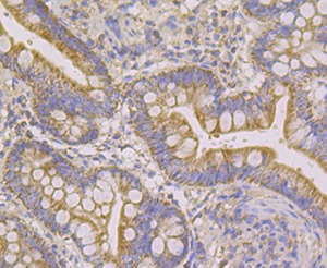
3. Immunohistochemical analysis of paraffin-embedded human small intestine tissue using anti-Ndufs4 antibody. Counter stained with hematoxylin.
4. Flow cytometric analysis of SH-SY-5Y cells with Ndufs4 antibody at 1/100 dilution (purple) compared with an unlabelled control (cells without incubation with primary antibody; yellow). Alexa Fluor 488-conjugated goat anti-rabbit IgG was used as the secondary antibody.
verifiedActivityverifiedActivityverifiedActivityverifiedActivity
应用FCMIHCIPWB
推荐剂量
WB: 1:500-2000; IHC: 1:50-200; IP: 1:10-50; FCM: 1:50-100
抗体种类
Monoclonal
宿主来源Rabbit
构建方式Recombinant Antibody
纯化方式ProA affinity purified
性状Liquid
缓冲液1*TBS (pH7.4), 1%BSA, 40%Glycerol. Preservative: 0.05% Sodium Azide.
研究背景Complex 1 (also known as NADH dehydrogenase) of the electron transport chain (respiratory chain) is an enzymatic complex that catalyzes the transfer of electrons from NADH to ubiquinone. Free energy from the reaction is conserved in the transfer of protons into the intermembrane space to create an electrochemical proton gradient, a driving force for ATP synthesis. Complex 1 is a complicated, multi-protein, L-shaped complex composed of at least 45 different subunits and located in the mitochondrial inner membrane. NDUFS4 (NADH dehydrogenase (ubiquinone) Fe-S protein 4), also known as AQDQ or CI-18 (Complex I-18kDa protein), belongs to the Complex I NDUFS4 subunit family. NDUFS4 localizes to the matrix side of the inner membrane of the mitochondrion and functions as an accessory subunit of Complex I. Mutations in the gene encoding NDUFS4 can result in Complex I mitochondrial respiratory chain deficiency. Patients with this deficiency may exhibit cardiomyopathy, myopathy, liver failure and neurological disorders.
偶联与修饰
偶联
Unconjugated
抗原信息
免疫原
Recombinant Protein: human Ndufs4 aa 43-175
抗原种属
human
Uniprot ID
化学信息
分子量Theoretical: 20 kDa.
储存&溶解度
储存方式Store at -20°C or -80°C for 12 months. Avoid repeated freeze-thaw cycles.
运输方式Shipping with blue ice.

计算器

  • 稀释 计算器
  • 配液 计算器
Related Tags: buy Anti-NDUFS4 Antibody (3X649) | purchase Anti-NDUFS4 Antibody (3X649) | Anti-NDUFS4 Antibody (3X649) cost | order Anti-NDUFS4 Antibody (3X649) | Anti-NDUFS4 Antibody (3X649) molecular weight