购物车
  • TargetMol
    您的购物车当前为空

Anti-NCK1 Antibody (6Y736)

Synonyms: SH2/SH3 Adaptor Protein NCK-α, SH2/SH3 Adaptor Protein NCK-Alpha, Nck-1, NCK1, NCK adaptor Protein 1, NCK, Cytoplasmic Protein NCK1
货号 TMAC-02754 一键复制产品信息
Rating icon 还可以

Anti-NCK1 Antibody (6Y736) 是一种 Rabbit 抗体,靶向 NCK1。Anti-NCK1 Antibody (6Y736) 可用于 FCM,ICC,IF,IHC,IP,WB。

Anti-NCK1 Antibody (6Y736)

一键复制产品信息
Rating icon 还可以
货号 TMAC-02754

别名 SH2/SH3 Adaptor Protein NCK-α, SH2/SH3 Adaptor Protein NCK-Alpha, Nck-1, NCK1, NCK adaptor Protein 1, NCK, Cytoplasmic Protein NCK1

Anti-NCK1 Antibody (6Y736) 是一种 Rabbit 抗体,靶向 NCK1。Anti-NCK1 Antibody (6Y736) 可用于 FCM,ICC,IF,IHC,IP,WB。

Anti-NCK1 Antibody (6Y736)
规格价格库存数量
50 μL
¥ 1,480
5日内发货
100 μL
¥ 2,495
5日内发货
库存状态实时更新,以官网显示为准,现货产品可直接加购物车下单
大包装 & 定制
加入购物车
TargetMol的所有产品仅用作科学研究或药证申报,不能被用于人体,我们不向个人提供产品和服务。请您遵守承诺用途,不得违反法律法规规定用于任何其他用途。
实验操作小课堂
常见问题解答
查看更多

资源下载:产品操作手册

产品介绍


生物活性
产品描述
Anti-NCK1 Antibody (6Y736) is a Rabbit antibody targeting NCK1. Anti-NCK1 Antibody (6Y736) can be used in FCM,ICC,IF,IHC,IP,WB.
别名SH2/SH3 Adaptor Protein NCK-α, SH2/SH3 Adaptor Protein NCK-Alpha, Nck-1, NCK1, NCK adaptor Protein 1, NCK, Cytoplasmic Protein NCK1
Ig Type
IgG
克隆号
6Y736
反应种属
Human,Mouse,Rat
验证活性
1. Western blot analysis of NCK1 on different lysates using anti-NCK1 antibody at 1/500 dilution. Positive control: Lane 1: Hela, Lane 1: NIH-3T3, Lane 2: Rat kidney tissue, Lane 3: Mouse testis tissue.
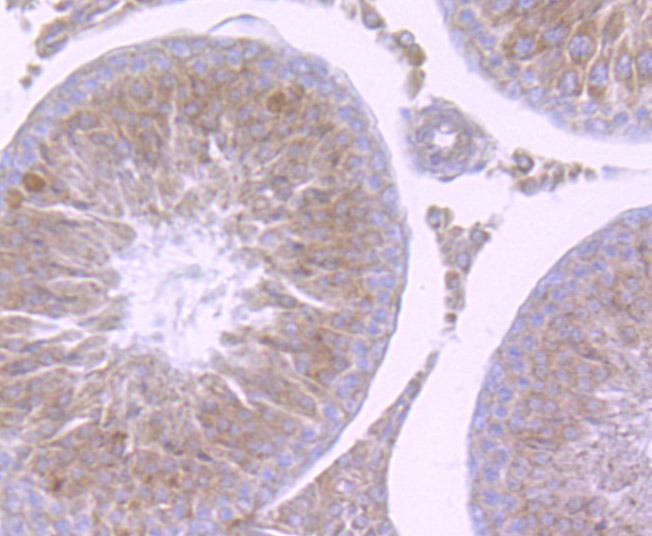
2. Immunohistochemical analysis of paraffin-embedded mouse testis tissue using anti-NCK1 antibody. Counter stained with hematoxylin.
3. Immunohistochemical analysis of paraffin-embedded rat testis tissue using anti-NCK1 antibody. Counter stained with hematoxylin.
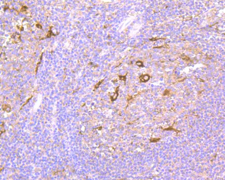
4. Immunohistochemical analysis of paraffin-embedded human tonsil tissue using anti-NCK1 antibody. Counter stained with hematoxylin.
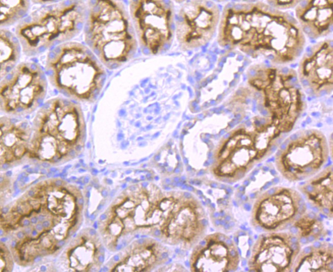
5. Immunohistochemical analysis of paraffin-embedded human kidney tissue using anti-NCK1 antibody. Counter stained with hematoxylin.
6. ICC staining NCK1 in LOVO cells (green). The nuclear counter stain is DAPI (blue). Cells were fixed in paraformaldehyde, permeabilised with 0.25% Triton X100/PBS.
7. ICC staining NCK1 in A431 cells (green). The nuclear counter stain is DAPI (blue). Cells were fixed in paraformaldehyde, permeabilised with 0.25% Triton X100/PBS.
8. ICC staining NCK1 in HUVEC cells (green). The nuclear counter stain is DAPI (blue). Cells were fixed in paraformaldehyde, permeabilised with 0.25% Triton X100/PBS.
9. Flow cytometric analysis of Jurkat cells with NCK1 antibody at 1/50 dilution (red) compared with an unlabelled control (cells without incubation with primary antibody; black). Alexa Fluor 488-conjugated goat anti rabbit IgG was used as the secondary antibody.
verifiedActivityverifiedActivityverifiedActivityverifiedActivityverifiedActivityverifiedActivityverifiedActivityverifiedActivityverifiedActivity
应用FCMICCIFIHCIPWB
推荐剂量
WB: 1:500-2000; IHC: 1:50-200; ICC: 1:50-200; IP: 1:10-50; FCM: 1:50-100
抗体种类
Monoclonal
宿主来源Rabbit
构建方式Recombinant Antibody
纯化方式ProA affinity purified
性状Liquid
缓冲液1*TBS (pH7.4), 1%BSA, 40%Glycerol. Preservative: 0.05% Sodium Azide.
研究背景The NCK family of SH2/SH3 adaptor proteins consists of two members, NCK1 (NCKα) and NCK2 (NCKβ), which couple tyrosine kinase signaling, including the EGF and PDGF receptor-pathways, to downstream signaling proteins. Specifically, overexpression of Nck1 in NIH/3T3 cells decreases DNA synthesis stimulated by EGF. Furthermore, the SH2 domain of NCK2 inhibits EGF- and PDGF-induced DNA synthesis. The SH3 domain of NCK binds a proline-rich domain on PAK, a known actin cytoskeleton regulator. The NCK protein thus mediates the interaction between PAK and RAC. The NCK2 protein binds human PDGFR-b (Tyr 1009); overexpression of Nck2 inhibits PDGF-induced membrane ruffling and lamellipod formation. Various growth factor receptors, cell surface antigens and adhesion molecules phosphorylate mammalian NCK1 and NCK2. The human NCK1 and NCK2 genes map to chromosomes 3q22.3 and 2q12.2, respectively.
偶联与修饰
偶联
Unconjugated
抗原信息
免疫原
Recombinant Protein
Uniprot ID
化学信息
分子量Theoretical: 43/35 kDa.
储存&溶解度
储存方式Store at -20°C or -80°C for 12 months. Avoid repeated freeze-thaw cycles.
运输方式Shipping with blue ice.

计算器

  • 稀释 计算器
  • 配液 计算器

关键词

Related Tags: buy Anti-NCK1 Antibody (6Y736) | purchase Anti-NCK1 Antibody (6Y736) | Anti-NCK1 Antibody (6Y736) cost | order Anti-NCK1 Antibody (6Y736) | Anti-NCK1 Antibody (6Y736) molecular weight