购物车
  • 全部删除
  • TargetMol
    您的购物车当前为空

Anti-N Cadherin Antibody (2D207)

Rating icon 还可以
产品编号 TMAC-02739
别名 NCAD, CDw325, CDHN, CD325, cadherin 2, type 1, N-cadherin (neuronal)

Anti-N Cadherin Antibody (2D207) 是一种 Rabbit 抗体,靶向 N Cadherin。Anti-N Cadherin Antibody (2D207) 可用于 FCM,ICC/IF,IHC,WB。

Anti-N Cadherin Antibody (2D207)

Anti-N Cadherin Antibody (2D207)

一键复制产品信息
Rating icon 还可以
产品编号 TMAC-02739 别名 NCAD, CDw325, CDHN, CD325, cadherin 2, type 1, N-cadherin (neuronal)

Anti-N Cadherin Antibody (2D207) 是一种 Rabbit 抗体,靶向 N Cadherin。Anti-N Cadherin Antibody (2D207) 可用于 FCM,ICC/IF,IHC,WB。

规格价格库存数量
50 μL
¥ 1,495
5日内发货
100 μL
¥ 2,485
5日内发货
大包装 & 定制
加入购物车
TargetMol 的所有产品仅用作科学研究或药证申报,不能被用于人体,我们不向个人提供产品和服务。请您遵守承诺用途,不得违反法律法规规定用于任何其他用途。
实验操作小课堂
常见问题解答
查看更多
联系我们获取更多批次信息
资源下载

产品介绍

生物活性
产品描述
Anti-N Cadherin Antibody (2D207) is a Rabbit antibody targeting N Cadherin. Anti-N Cadherin Antibody (2D207) can be used in FCM,ICC/IF,IHC,WB.
别名NCAD, CDw325, CDHN, CD325, cadherin 2, type 1, N-cadherin (neuronal)
Ig Type
IgG
克隆号
2D207
交叉反应
Human,Mouse,Rat
验证活性
1. Western blot analysis of N Cadherin on different lysates using anti-N Cadherin antibody at 1/1,000 dilution. Positive control: Lane 1: Hela, Lane 2: NIH/3T3, Lane 3: Mouse brain.
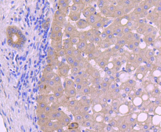
2. Immunohistochemical analysis of paraffin-embedded human liver cancer tissue using anti-N Cadherin antibody. Counter stained with hematoxylin.
3. Immunohistochemical analysis of paraffin-embedded mouse embryo tissue using anti-N Cadherin antibody. Counter stained with hematoxylin.
4. Immunohistochemical analysis of paraffin-embedded mouse heart tissue using anti-N Cadherin antibody. Counter stained with hematoxylin.
5. ICC staining N Cadherin in F9 cells (green). The nuclear counter stain is DAPI (blue). Cells were fixed in paraformaldehyde, permeabilised with 0.25% Triton X100/PBS.
6. ICC staining N Cadherin in HepG2 cells (green). The nuclear counter stain is DAPI (blue). Cells were fixed in paraformaldehyde, permeabilised with 0.25% Triton X100/PBS.
7. ICC staining N Cadherin in NCCIT cells (green). The nuclear counter stain is DAPI (blue). Cells were fixed in paraformaldehyde, permeabilised with 0.25% Triton X100/PBS.
8. ICC staining N Cadherin in RH-35 cells (green). The nuclear counter stain is DAPI (blue). Cells were fixed in paraformaldehyde, permeabilised with 0.25% Triton X100/PBS.
9. Flow cytometric analysis of Hela cells with N Cadherin antibody at 1/50 dilution (red) compared with an unlabelled control (cells without incubation with primary antibody; black). Alexa Fluor 488-conjugated goat anti rabbit IgG was used as the secondary antibody.
verifiedActivityverifiedActivityverifiedActivityverifiedActivityverifiedActivityverifiedActivityverifiedActivityverifiedActivityverifiedActivity
应用FCMICC/IFIHCWB
推荐剂量
WB: 1:1000-5000; IHC: 1:50-200; ICC/IF: 1:50-200; FCM: 1:50-100
抗体种类
Monoclonal
宿主来源Rabbit
构建方式Recombinant Antibody
纯化方式ProA affinity purified
性状Liquid
缓冲液1*TBS (pH7.4), 1%BSA, 40%Glycerol. Preservative: 0.05% Sodium Azide.
研究背景Cadherins comprise a family of Ca2+-dependent adhesion molecules that function to mediate cell-cell binding critical to the maintenance of tissue structure and morphogenesis. The classical cadherins, E-, N- and P-cadherin, consist of large extracellular domains characterized by a series of five homologous NH2 terminal repeats. The most distal of these cadherins is thought to be responsible for binding specificity, transmembrane domains and carboxy-terminal intracellular domains. The relatively short intracellular domains interact with a variety of cytoplasmic proteins, such as b-catenin, to regulate cadherin function. Members of this family of adhesion proteins include rat cadherin K (and its human homolog, cadherin-6), R-cadherin, B-cadherin, E/P cadherin and cadherin-5.
偶联与修饰
偶联
Unconjugated
抗原信息
免疫原
Recombinant Protein
Uniprot ID
化学信息
分子量Theoretical: 120/140 kDa.
存储&运输
储存方式Store at -20°C or -80°C for 12 months. Avoid repeated freeze-thaw cycles.
运输方式Shipping with blue ice.

计算器

  • 稀释 计算器

关键词

评论列表

4个月前
5.0
Rating icon 很棒

评论内容

Related Tags: buy Anti-N Cadherin Antibody (2D207) | purchase Anti-N Cadherin Antibody (2D207) | Anti-N Cadherin Antibody (2D207) cost | order Anti-N Cadherin Antibody (2D207) | Anti-N Cadherin Antibody (2D207) molecular weight