购物车
  • TargetMol
    您的购物车当前为空

Anti-MMP-2 Polyclonal Antibody

Synonyms: TBE-1, MONA, MMP-II, MMP-2, matrix metallopeptidase 2, CLG4A, CLG4
货号 TMAB-01154 一键复制产品信息
Rating icon 还可以

Anti-MMP-2 Polyclonal Antibody 是一种 Rabbit 抗体,靶向 MMP-2。Anti-MMP-2 Polyclonal Antibody 可用于 FCM, ICC/IF, IF, IHC-Fr, IHC-P, WB。

Anti-MMP-2 Polyclonal Antibody

一键复制产品信息
Rating icon 还可以
货号 TMAB-01154

别名 TBE-1, MONA, MMP-II, MMP-2, matrix metallopeptidase 2, CLG4A, CLG4

Anti-MMP-2 Polyclonal Antibody 是一种 Rabbit 抗体,靶向 MMP-2。Anti-MMP-2 Polyclonal Antibody 可用于 FCM, ICC/IF, IF, IHC-Fr, IHC-P, WB。

Anti-MMP-2 Polyclonal Antibody
规格价格库存数量
50 μL
¥ 1,165
5日内发货
100 μL
¥ 1,965
5日内发货
200 μL
¥ 2,795
5日内发货
库存状态实时更新,以官网显示为准,现货产品可直接加购物车下单
大包装 & 定制
加入购物车
TargetMol的所有产品仅用作科学研究或药证申报,不能被用于人体,我们不向个人提供产品和服务。请您遵守承诺用途,不得违反法律法规规定用于任何其他用途。
实验操作小课堂
常见问题解答
查看更多

资源下载:产品操作手册

产品介绍


生物活性
产品描述
Anti-MMP-2 Polyclonal Antibody is a Rabbit antibody targeting MMP-2. Anti-MMP-2 Polyclonal Antibody can be used in FCM, ICC/IF, IF, IHC-Fr, IHC-P, WB.
别名TBE-1, MONA, MMP-II, MMP-2, matrix metallopeptidase 2, CLG4A, CLG4
Ig Type
IgG
反应种属
Human (predicted:Mouse,Rat,Pig,Cow,Horse,Rabbit,Sheep)
验证活性
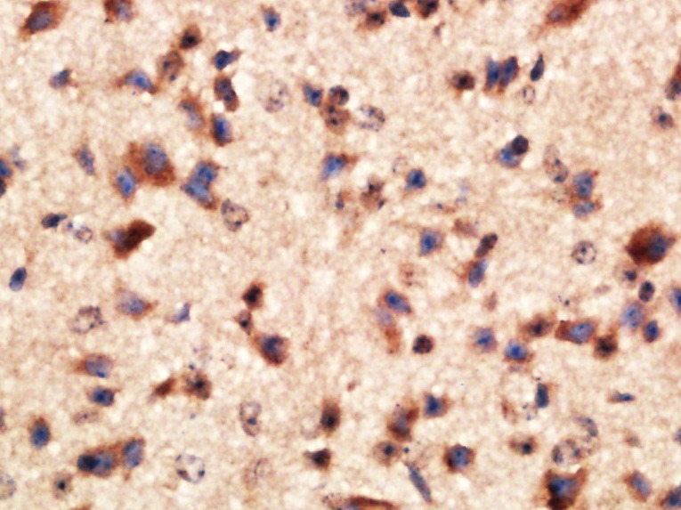
1. Paraformaldehyde-fixed, paraffin embedded (Rat brain); Antigen retrieval by boiling in sodium citrate buffer (pH6.0) for 15 min; Block endogenous peroxidase by 3% hydrogen peroxide for 20 min; Blocking buffer (normal goat serum) at 37°C for 30 min; Antibody incubation with (MMP2) Polyclonal Antibody, Unconjugated (TMAB-01154) at 1:400 overnight at 4°C, followed by operating according to SP Kit (Rabbit) instructions and DAB staining.
2. Blank control (blue line): Hela (blue).
Primary Antibody (green line): Rabbit Anti-MMP2 antibody (TMAB-01154)
Dilution: 1 μg/10^6 cells;
Isotype Control Antibody (orange line): Rabbit IgG.
Secondary Antibody (white blue line): Goat anti-rabbit IgG-FITC
Dilution: 1 μg/test.
Protocol
The cells were fixed with 80% methanol (5 min at-20°C) and then permeabilized with 0.1% PBS-Tween for 20 min at room temperature. Cells stained with Primary Antibody for 30 min at room temperature. The cells were then incubated in 1 X PBS/2% BSA/10% goat serum to block non-specific protein-protein interactions followed by the antibody for 15 min at room temperature. The secondary antibody used for 40 min at room temperature.
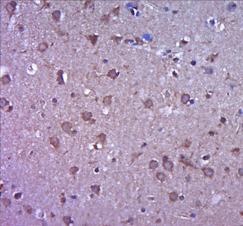
3. Paraformaldehyde-fixed, paraffin embedded (Mouse brain); Antigen retrieval by boiling in sodium citrate buffer (pH6.0) for 15 min; Block endogenous peroxidase by 3% hydrogen peroxide for 20 min; Blocking buffer (normal goat serum) at 37°C for 30 min; Antibody incubation with (MMP2) Polyclonal Antibody, Unconjugated (TMAB-01154) at 1:400 overnight at 4°C, followed by operating according to SP Kit (Rabbit) instructions and DAB staining.
4. Sample:
SY5Y (Human) Cell Lysate at 30 μg
U2os (Human) Cell Lysate at 30 μg
U251 (Human) Cell Lysate at 30 μg
Siha (Human) Cell Lysate at 30 μg
Primary: Anti-MMP-2 (TMAB-01154) at 1/1000 dilution
Secondary: IRDye800CW Goat Anti-Rabbit IgG at 1/20000 dilution
Predicted band size: 62 kDa
Observed band size: 60 kDa
5. Sample:
A431 (Human) Cell Lysate at 30 μg
Mcf-7 (Human) Cell Lysate at 30 μg
Primary: Anti-MMP-2 (TMAB-01154) at 1/300 dilution
Secondary: IRDye800CW Goat Anti-Rabbit IgG at 1/20000 dilution
Predicted band size: 62 kDa
Observed band size: 62 kDa
6. Tissue/cell: U-87MG cell; 4% Paraformaldehyde-fixed; Triton X-100 at room temperature for 20 min; Blocking buffer (normal goat serum) at 37°C for 20 min; Antibody incubation with (MMP2) polyclonal Antibody, Unconjugated (TMAB-01154) 1:100, 90 minutes at 37°C; followed by a conjugated Goat Anti-Rabbit IgG antibody at 37°C for 90 minutes, DAPI (blue) was used to stain the cell nucleus.
7. Paraformaldehyde-fixed, paraffin embedded Human Glioma; Antigen retrieval by boiling in sodium citrate buffer (pH6.0) for 15 min; Antibody incubation with MMP2 Polyclonal Antibody, Unconjugated (TMAB-01154) at 1:400 overnight at 4°C, followed by conjugation to the SP Kit (Rabbit) and DAB staining.
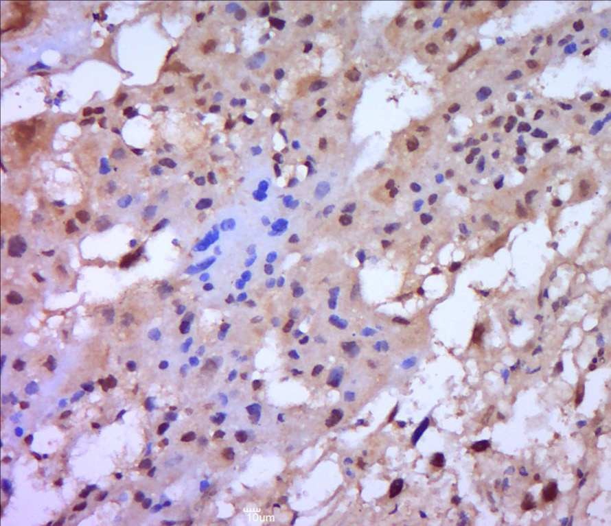
8. Paraformaldehyde-fixed, paraffin embedded Mouse Placenta; Antigen retrieval by boiling in sodium citrate buffer (pH6.0) for 15 min; Antibody incubation with MMP2 Polyclonal Antibody, Unconjugated (TMAB-01154) at 1:400 overnight at 4°C, followed by conjugation to the SP Kit (Rabbit) and DAB staining.
9. Blank control (blue line): Hela (fixed with 80% methanol (5 min at-20°C) and then permeabilized with 0.1% PBS-Tween for 20 min at room temperature).
Primary Antibody (green line): Rabbit Anti-MMP2 antibody (TMAB-01154), Dilution: 1 μg/10^6 cells;
Isotype Control Antibody (orange line): Rabbit IgG.
Secondary Antibody (white blue line): Goat anti-rabbit IgG-FITC, Dilution: 1 μg/test.
verifiedActivityverifiedActivityverifiedActivityverifiedActivityverifiedActivityverifiedActivityverifiedActivityverifiedActivityverifiedActivity
应用FCMICC/IFIFIHC-FrIHC-PWB
推荐剂量
FCM=1 μg/Test; ICC/IF=1:100-500; IF=1:200-800; IHC-Fr=1:200-800; IHC-P=1:200-800; WB=1:1000-5000
抗体种类
Polyclonal
宿主来源Rabbit
亚细胞定位Isoform 1: Secreted, extracellular space, extracellular matrix. Membrane. Nucleus. Note=Colocalizes with integrin alphaV/beta3 at the membrane surface in angiogenic blood vessels and melanomas. Found in mitochondria, along microfibrils, and in nuclei of cardiomyocytes. Isoform 2: Cytoplasm. Mitochondrion.
组织特异性Produced by normal skin fibroblasts. PEX is expressed in a number of tumors including gliomas, breast and prostate.
构建方式Polyclonal Antibody
纯化方式Protein A purified
性状Liquid
缓冲液0.01M TBS (pH7.4) with 1% BSA, 0.02% Proclin300 and 50% Glycerol.
浓度1 mg/mL
研究背景Proteins of the matrix metalloproteinase (MMP) family are involved in the breakdown of extracellular matrix in normal physiological processes, such as embryonic development, reproduction, and tissue remodeling, as well as in disease processes, such as arthritis and metastasis. Most MMP's are secreted as inactive proproteins which are activated when cleaved by extracellular proteinases. This gene encodes an enzyme which degrades type IV collagen, the major structural component of basement membranes. The enzyme plays a role in endometrial menstrual breakdown, regulation of vascularization and the inflammatory response. Mutations in this gene have been associated with Winchester syndrome and Nodulosis-Arthropathy-Osteolysis (NAO) syndrome. Two transcript variants encoding different isoforms have been found for this gene. [provided by RefSeq].
抗原信息
免疫原
KLH conjugated synthetic peptide: human MMP2
抗原种属
Human
基因名称
MMP2
基因ID
蛋白名称
72 kDa type IV collagenase
Uniprot ID
研究领域
Response to hypoxia,MMPs,MMPs,MMP,MMPs,Hypoxia,Cancer
功能
Ubiquitinous metalloproteinase that is involved in diverse functions such as remodeling of the vasculature, angiogenesis, tissue repair, tumor invasion, inflammation, and atherosclerotic plaque rupture. As well as degrading extracellular matrix proteins, can also act on several nonmatrix proteins such as big endothelial 1 and beta-type CGRP promoting vasoconstriction. Also cleaves KISS at a Gly-|-Leu bond. Appears to have a role in myocardial cell death pathways. Contributes to myocardial oxidative stress by regulating the activity of GSK3beta. Cleaves GSK3beta in vitro.
PEX, the C-terminal non-catalytic fragment of MMP2, posseses anti-angiogenic and anti-tumor properties and inhibits cell migration and cell adhesion to FGF2 and vitronectin. Ligand for integrinv/beta3 on the surface of blood vessels.
Isoform 2: Mediates the proteolysis of CHUK/IKKA and initiates a primary innate immune response by inducing mitochondrial-nuclear stress signaling with activation of the pro-inflammatory NF-kappaB, NFAT and IRF transcriptional pathways.
化学信息
分子量Theoretical: 72 kDa. Actual: 60 kDa.
储存&溶解度
储存方式Store at -20°C or -80°C for 12 months. Avoid repeated freeze-thaw cycles.
运输方式Shipping with blue ice.

计算器

  • 稀释 计算器
  • 配液 计算器
Related Tags: buy Anti-MMP-2 Polyclonal Antibody | purchase Anti-MMP-2 Polyclonal Antibody | Anti-MMP-2 Polyclonal Antibody cost | order Anti-MMP-2 Polyclonal Antibody | Anti-MMP-2 Polyclonal Antibody molecular weight