购物车
  • TargetMol
    您的购物车当前为空

Anti-MMP-14 Antibody (7I45)

一键复制产品信息
Rating icon 还可以
货号 TMAC-02619

别名 MT-MMP1, MT1MMP), MT1-MMP, MT 1-MMP, MMP-X1, MMPX1, MMP14, Membrane-type matrix metalloproteinase 1 (MT-MMP 1

Anti-MMP-14 Antibody (7I45) 是一种 Rabbit 抗体,靶向 MMP-14。Anti-MMP-14 Antibody (7I45) 可用于 FCM,ICC/IF,IHC,IP,WB。

Anti-MMP-14 Antibody (7I45)

Anti-MMP-14 Antibody (7I45)

一键复制产品信息
Rating icon 还可以
货号 TMAC-02619 别名 MT-MMP1, MT1MMP), MT1-MMP, MT 1-MMP, MMP-X1, MMPX1, MMP14, Membrane-type matrix metalloproteinase 1 (MT-MMP 1

Anti-MMP-14 Antibody (7I45) 是一种 Rabbit 抗体,靶向 MMP-14。Anti-MMP-14 Antibody (7I45) 可用于 FCM,ICC/IF,IHC,IP,WB。

规格价格库存数量
50 μL
¥ 1,495
5日内发货
100 μL
¥ 2,485
5日内发货
库存状态实时更新,以官网显示为准,现货产品可直接加购物车下单
大包装 & 定制
加入购物车
TargetMol的所有产品仅用作科学研究或药证申报,不能被用于人体,我们不向个人提供产品和服务。请您遵守承诺用途,不得违反法律法规规定用于任何其他用途。
实验操作小课堂
常见问题解答
查看更多
选择批次:
联系我们 获取更多批次信息

产品介绍


生物活性
产品描述
Anti-MMP-14 Antibody (7I45) is a Rabbit antibody targeting MMP-14. Anti-MMP-14 Antibody (7I45) can be used in FCM,ICC/IF,IHC,IP,WB.
别名MT-MMP1, MT1MMP), MT1-MMP, MT 1-MMP, MMP-X1, MMPX1, MMP14, Membrane-type matrix metalloproteinase 1 (MT-MMP 1
Ig Type
IgG
克隆号
7I45
反应种属
Human,Mouse,Rat
验证活性
1. Western blot analysis of MMP14 on human kidney tissue lysates using anti-MMP14 antibody at 1/1,000 dilution.
2. Immunohistochemical analysis of paraffin-embedded human breast carcinoma tissue using anti-MMP14 antibody. Counter stained with hematoxylin.
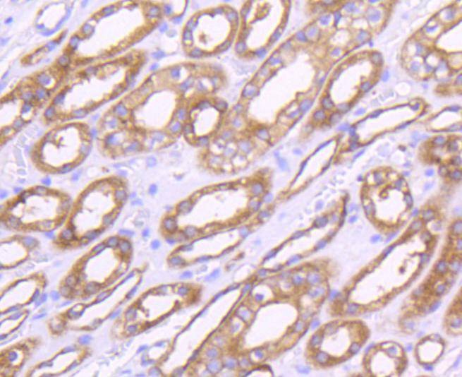
3. Immunohistochemical analysis of paraffin-embedded human kidney tissue using anti-MMP14 antibody. Counter stained with hematoxylin.
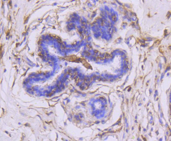
4. Immunohistochemical analysis of paraffin-embedded human uterus tissue using anti-MMP14 antibody. Counter stained with hematoxylin.
5. ICC staining MMP14 in CRC cells (green). The nuclear counter stain is DAPI (blue). Cells were fixed in paraformaldehyde, permeabilised with 0.25% Triton X100/PBS.
6. ICC staining MMP14 in BT-20 cells (green). The nuclear counter stain is DAPI (blue). Cells were fixed in paraformaldehyde, permeabilised with 0.25% Triton X100/PBS.
7. Flow cytometric analysis of A549 cells with MMP14 antibody at 1/50 dilution (blue) compared with an unlabelled control (cells without incubation with primary antibody; red). Alexa Fluor 488-conjugated goat anti rabbit IgG was used as the secondary antibody.
verifiedActivityverifiedActivityverifiedActivityverifiedActivityverifiedActivityverifiedActivityverifiedActivity
应用FCMICC/IFIHCIPWB
推荐剂量
WB: 1:1000-2000; IHC: 1:100-200; ICC/IF: 1:50-200; IP 1:20-50; FCM 1:20-100
抗体种类
Monoclonal
宿主来源Rabbit
构建方式Recombinant Antibody
纯化方式Affinity-chromatography
性状Liquid
缓冲液Rabbit IgG in 10mM phosphate buffered saline , pH 7.4, 150mM sodium chloride, 0.05% BSA, 0.02% sodium azide and 50% glycerol.
研究背景The matrix metalloproteinases (MMP) are a family of peptidase enzymes responsible for the degradation of extracellular matrix components, including collagen, gelatin, fibronectin, laminin and proteoglycan. Transcription of MMP genes is differentially activated by phorbol ester, lipopolysaccharide (LPS) or staphylococcal enterotoxin B (SEB). MMP catalysis requires both calcium and zinc. Membrane-type matrix metalloproteinases, including MT-MMP-1 (also designated MMP-14), MT-MMP-2 (also designated MMP-15), MT-MMP-3 (also designated MMP-16) and MT-MMP-4 (also designated MMP-17) are type I membrane proteins that function to activate other MMPs. MT-MMP activation appears to be mediated by members of the proprotein convertase family, suggesting that a proprotein convertase/MT-MMP/MMP cascade may be involved in the regulation of ECM turnover.
偶联与修饰
偶联
Unconjugated
抗原信息
免疫原
A synthesized peptide: human MMP14
抗原种属
human
Uniprot ID
化学信息
分子量Theoretical: 65 kDa.
颜色Transparent
物理性状Liquid
储存&溶解度
储存方式Store at -20°C or -80°C for 12 months. Avoid repeated freeze-thaw cycles.
运输方式Shipping with blue ice.

计算器

  • 稀释 计算器
  • 配液 计算器
Related Tags: buy Anti-MMP-14 Antibody (7I45) | purchase Anti-MMP-14 Antibody (7I45) | Anti-MMP-14 Antibody (7I45) cost | order Anti-MMP-14 Antibody (7I45) | Anti-MMP-14 Antibody (7I45) molecular weight