购物车
  • TargetMol
    您的购物车当前为空

Anti-MMP-13 Antibody (2L744)

Synonyms: MMP13, Matrix metalloproteinase-13 (MMP-13), Collagenase 3
货号 TMAC-02618 一键复制产品信息
Rating icon 还可以

Anti-MMP-13 Antibody (2L744) 是一种 Rabbit 抗体,靶向 MMP-13。Anti-MMP-13 Antibody (2L744) 可用于 FCM,ICC/IF,IHC,WB。

Anti-MMP-13 Antibody (2L744)

一键复制产品信息
Rating icon 还可以
货号 TMAC-02618

别名 MMP13, Matrix metalloproteinase-13 (MMP-13), Collagenase 3

Anti-MMP-13 Antibody (2L744) 是一种 Rabbit 抗体,靶向 MMP-13。Anti-MMP-13 Antibody (2L744) 可用于 FCM,ICC/IF,IHC,WB。

Anti-MMP-13 Antibody (2L744)
规格价格库存数量
50 μL
¥ 1,490
5日内发货
100 μL
¥ 2,490
5日内发货
库存状态实时更新,以官网显示为准,现货产品可直接加购物车下单
大包装 & 定制
加入购物车

TargetMol的所有产品仅用作科学研究或药证申报,不能被用于人体,我们不向个人提供产品和服务。请您遵守承诺用途,不得违反法律法规规定用于任何其他用途。

实验操作小课堂
常见问题解答
查看更多

资源下载:产品操作手册

产品介绍


生物活性
产品描述
Anti-MMP-13 Antibody (2L744) is a Rabbit antibody targeting MMP-13. Anti-MMP-13 Antibody (2L744) can be used in FCM,ICC/IF,IHC,WB.
别名
MMP13, Matrix metalloproteinase-13 (MMP-13), Collagenase 3
Ig Type
IgG
克隆号
2L744
反应种属
Human
验证活性
1. Western blot analysis of MMP13 on MCF-7 cells lysates using anti-MMP13 antibody at 1/1,000 dilution.
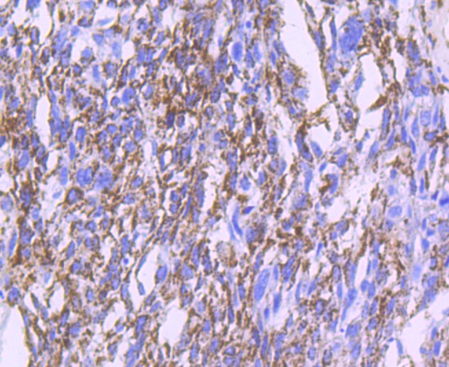
2. Immunohistochemical analysis of paraffin-embedded human lung cancer tissue using anti-MMP13 antibody. Counter stained with hematoxylin.
3. Immunohistochemical analysis of paraffin-embedded human breast tissue using anti-MMP13 antibody. Counter stained with hematoxylin.
4. Immunohistochemical analysis of paraffin-embedded human breast carcinoma tissue using anti-MMP13 antibody. Counter stained with hematoxylin.
5. ICC staining MMP13 in Hela cells (red). The nuclear counter stain is DAPI (blue). Cells were fixed in paraformaldehyde, permeabilised with 0.25% Triton X100/PBS.
6. ICC staining MMP13 in MCF-7 cells (red). The nuclear counter stain is DAPI (blue). Cells were fixed in paraformaldehyde, permeabilised with 0.25% Triton X100/PBS.
7. ICC staining MMP13 in SW480 cells (red). The nuclear counter stain is DAPI (blue). Cells were fixed in paraformaldehyde, permeabilised with 0.25% Triton X100/PBS.
8. Flow cytometric analysis of Hela cells with MMP13 antibody at 1/50 dilution (red) compared with an unlabelled control (cells without incubation with primary antibody; black). Alexa Fluor 488-conjugated goat anti rabbit IgG was used as the secondary antibody.
verifiedActivityverifiedActivityverifiedActivityverifiedActivityverifiedActivityverifiedActivityverifiedActivityverifiedActivity
应用FCMICC/IFIHCWB
推荐剂量
WB: 1:1000; IHC: 1:50-200; ICC/IF: 1:100-500; FCM: 1:50-100
抗体种类
Monoclonal
宿主来源Rabbit
构建方式Recombinant Antibody
纯化方式ProA affinity purified
性状Liquid
缓冲液1*TBS (pH7.4), 1%BSA, 40%Glycerol. Preservative: 0.05% Sodium Azide.
研究背景The matrix metalloproteinases (MMP) are a family of peptidase enzymes responsible for the degradation of extracellular matrix components, including collagen, gelatin, fibronectin, laminin and proteoglycan. Transcription of MMP genes is differentially activated by phorbol ester, lipopolysaccharide (LPS) or staphylococcal enterotoxin B (SEB). MMP catalysis requires both calcium and zinc. MMP-13 (also designated collagenase-3) is produced by breast carcinomas and degrades collagen types I, II and III. MMP-13 has wide substrate specificity, and its physiologic expression is limited to situations in which rapid and effective remodeling of collagenous ECM takes place, such as fetal bone development and adult bone remodeling.
偶联与修饰
偶联
Unconjugated
抗原信息
免疫原
Recombinant Protein
Uniprot ID
化学信息
分子量Theoretical: 54 kDa.
储存&溶解度
储存方式Store at -20°C or -80°C for 12 months. Avoid repeated freeze-thaw cycles.
运输方式Shipping with blue ice.

计算器

  • 稀释 计算器
  • 配液 计算器
Related Tags: buy Anti-MMP-13 Antibody (2L744) | purchase Anti-MMP-13 Antibody (2L744) | Anti-MMP-13 Antibody (2L744) cost | order Anti-MMP-13 Antibody (2L744) | Anti-MMP-13 Antibody (2L744) molecular weight