购物车
  • 全部删除
  • TargetMol
    您的购物车当前为空

Anti-MMP-12 Antibody (1B615)

Rating icon 还可以
产品编号 TMAC-02617
别名 MMP 12, hME

Anti-MMP-12 Antibody (1B615) 是一种 Rabbit 抗体,靶向 MMP-12。Anti-MMP-12 Antibody (1B615) 可用于 FCM,ICC/IF,IHC,IP,WB。

Anti-MMP-12 Antibody (1B615)

Anti-MMP-12 Antibody (1B615)

一键复制产品信息
Rating icon 还可以
产品编号 TMAC-02617 别名 MMP 12, hME

Anti-MMP-12 Antibody (1B615) 是一种 Rabbit 抗体,靶向 MMP-12。Anti-MMP-12 Antibody (1B615) 可用于 FCM,ICC/IF,IHC,IP,WB。

规格价格库存数量
50 μL
¥ 1,480
5日内发货
100 μL
¥ 2,495
5日内发货
大包装 & 定制
加入购物车
TargetMol 的所有产品仅用作科学研究或药证申报,不能被用于人体,我们不向个人提供产品和服务。请您遵守承诺用途,不得违反法律法规规定用于任何其他用途。
实验操作小课堂
常见问题解答
查看更多
联系我们获取更多批次信息
资源下载

产品介绍

生物活性
产品描述
Anti-MMP-12 Antibody (1B615) is a Rabbit antibody targeting MMP-12. Anti-MMP-12 Antibody (1B615) can be used in FCM,ICC/IF,IHC,IP,WB.
别名MMP 12, hME
Ig Type
IgG
克隆号
1B615
交叉反应
Human,Mouse,Rat
验证活性
1. Western blot analysis of MMP12 on different cell lysates using anti-MMP12 antibody at 1/1,000 dilution. Positive control: Lane 1: A549, Lane 2: Hela, Lane 3: MCF-7, Lane 4: THP-1.
2. Immunohistochemical analysis of paraffin-embedded human breast carcinomna tissue using anti-MMP12 antibody. Counter stained with hematoxylin.
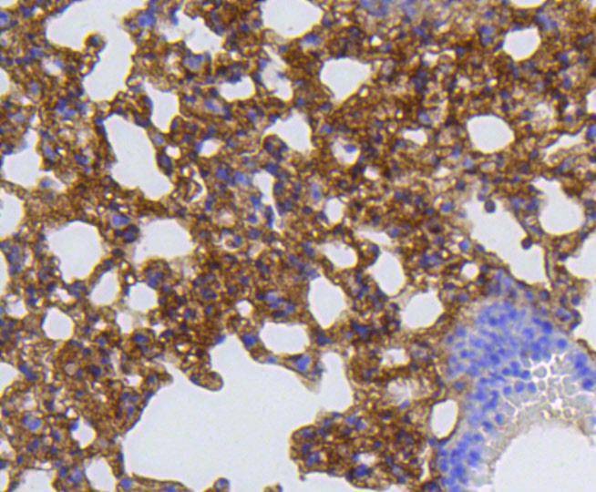
3. Immunohistochemical analysis of paraffin-embedded mouse lung tissue using anti-MMP12 antibody. Counter stained with hematoxylin.
4. Flow cytometric analysis of A549 cells with MMP12 antibody at 1/50 dilution (blue) compared with an unlabelled control (cells without incubation with primary antibody; red). Alexa Fluor 488-conjugated goat anti rabbit IgG was used as the secondary antibody.
verifiedActivityverifiedActivityverifiedActivityverifiedActivity
应用FCMICC/IFIHCIPWB
推荐剂量
WB: 1:1000-2000; IHC: 1:50-200; ICC/IF: 1:50-200; FCM: 1:50-100
抗体种类
Monoclonal
宿主来源Rabbit
构建方式Recombinant Antibody
纯化方式ProA affinity purified
性状Liquid
缓冲液1*TBS (pH7.4), 1%BSA, 40%Glycerol. Preservative: 0.05% Sodium Azide.
研究背景The matrix metalloproteinases (MMP) are a family of peptidase enzymes responsible for the degradation of extracellular matrix components, including collagen, gelatin, fibronectin, laminin and proteoglycan. Transcription of MMP genes is differentially activated by phorbol ester, lipopolysaccharide (LPS) or staphylococcal enterotoxin B (SEB). MMP catalysis requires both calcium and zinc. MMP-12 (also designated macrophage metalloelastase) is produced in alveolar macrophages and degrades elastin. MMP-12 may contribute to elastin degradation occurring in granulomatous skin diseases and may also participate in macrophage migration through the epidermal and vascular basement membranes in inflammatory disorders.
偶联与修饰
偶联
Unconjugated
抗原信息
免疫原
Recombinant Protein
Uniprot ID
化学信息
分子量Theoretical: 54/45/22 kDa.
存储&运输
储存方式Store at -20°C or -80°C for 12 months. Avoid repeated freeze-thaw cycles.
运输方式Shipping with blue ice.

计算器

  • 稀释 计算器

关键词

评论列表

4个月前
5.0
Rating icon 很棒

评论内容

Related Tags: buy Anti-MMP-12 Antibody (1B615) | purchase Anti-MMP-12 Antibody (1B615) | Anti-MMP-12 Antibody (1B615) cost | order Anti-MMP-12 Antibody (1B615) | Anti-MMP-12 Antibody (1B615) molecular weight