购物车
  • TargetMol
    您的购物车当前为空

Anti-MAP1LC3A Antibody (4Q42)

Synonyms: microtubule-associated protein 1 light chain 3 α, microtubule-associated protein 1 light chain 3 alpha, MAP1BLC3, MAP1ALC3, LC3A, LC3, ATG8E
货号 TMAC-02450 一键复制产品信息
Rating icon 还可以

Anti-MAP1LC3A Antibody (4Q42) 是一种 Rabbit 抗体,靶向 MAP1LC3A。Anti-MAP1LC3A Antibody (4Q42) 可用于 FCM,ICC/IF,IHC,IP,WB。

Anti-MAP1LC3A Antibody (4Q42)

一键复制产品信息
Rating icon 还可以
货号 TMAC-02450

别名 microtubule-associated protein 1 light chain 3 α, microtubule-associated protein 1 light chain 3 alpha, MAP1BLC3, MAP1ALC3, LC3A, LC3, ATG8E

Anti-MAP1LC3A Antibody (4Q42) 是一种 Rabbit 抗体,靶向 MAP1LC3A。Anti-MAP1LC3A Antibody (4Q42) 可用于 FCM,ICC/IF,IHC,IP,WB。

Anti-MAP1LC3A Antibody (4Q42)
规格价格库存数量
50 μL
¥ 1,495
5日内发货
100 μL
¥ 2,480
5日内发货
库存状态实时更新,以官网显示为准,现货产品可直接加购物车下单
大包装 & 定制
加入购物车
TargetMol的所有产品仅用作科学研究或药证申报,不能被用于人体,我们不向个人提供产品和服务。请您遵守承诺用途,不得违反法律法规规定用于任何其他用途。
实验操作小课堂
常见问题解答
查看更多

资源下载:产品操作手册

产品介绍


生物活性
产品描述
Anti-MAP1LC3A Antibody (4Q42) is a Rabbit antibody targeting MAP1LC3A. Anti-MAP1LC3A Antibody (4Q42) can be used in FCM,ICC/IF,IHC,IP,WB.
别名microtubule-associated protein 1 light chain 3 α, microtubule-associated protein 1 light chain 3 alpha, MAP1BLC3, MAP1ALC3, LC3A, LC3, ATG8E
Ig Type
IgG
克隆号
4Q42
反应种属
Human,Mouse,Rat
验证活性
1. Western blot analysis of MAP1LC3A on different lysates using anti-MAP1LC3A antibody at 1/1,000 dilution. Positive control: Lane 1: SHG-44, Lane 2: Mouse brain, Lane 3: Mouse liver, Lane 4: Mouse skeletal muscle.
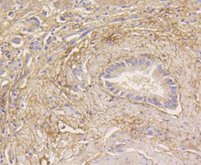
2. Immunohistochemical analysis of paraffin-embedded human liver tissue using anti-MAP1LC3A antibody. Counter stained with hematoxylin.
3. Immunohistochemical analysis of paraffin-embedded mouse liver tissue using anti-MAP1LC3A antibody. Counter stained with hematoxylin.
4. Immunohistochemical analysis of paraffin-embedded mouse brain tissue using anti-MAP1LC3A antibody. Counter stained with hematoxylin.
5. ICC staining MAP1LC3A in Hela cells (green). The nuclear counter stain is DAPI (blue). Cells were fixed in paraformaldehyde, permeabilised with 0.25% Triton X100/PBS.
6. ICC staining MAP1LC3A in PC12 cells (green). The nuclear counter stain is DAPI (blue). Cells were fixed in paraformaldehyde, permeabilised with 0.25% Triton X100/PBS.
7. ICC staining MAP1LC3A in HUVEC cells (green). The nuclear counter stain is DAPI (blue). Cells were fixed in paraformaldehyde, permeabilised with 0.25% Triton X100/PBS.
8. Flow cytometric analysis of SH-SY-5Y cells with MAP1LC3A antibody at 1/50 dilution (blue) compared with an unlabelled control (cells without incubation with primary antibody; red). Alexa Fluor 488-conjugated goat anti rabbit IgG was used as the secondary antibody.
verifiedActivityverifiedActivityverifiedActivityverifiedActivityverifiedActivityverifiedActivityverifiedActivityverifiedActivity
应用FCMICC/IFIHCIPWB
推荐剂量
WB: 1:1000-2000; IHC: 1:50-200; ICC/IF: 1:50-200; FCM: 1:50-100
抗体种类
Monoclonal
宿主来源Rabbit
构建方式Recombinant Antibody
纯化方式ProA affinity purified
性状Liquid
缓冲液1*TBS (pH7.4), 1%BSA, 40%Glycerol. Preservative: 0.05% Sodium Azide.
研究背景Microtubules, the primary component of the cytoskeletal network, interact with proteins called microtubule-associated proteins (MAPs). The microtubule-associated proteins can be divided into two groups, structural and dynamic. The structural microtubule-associated proteins, MAP-1A, MAP-1B, MAP-2A, MAP-2B and MAP-2C, stimulate tubulin assembly, enhance micro-tubule stability and influence the spatial distribution of microtubules within cells. Both MAP-1 and, to a greater extent, MAP-2 have been implicated as agents of microtubule depolymerization by suppressing the dynamic instability of the microtubules. The suppression of microtubule dynamic instability by the MAP proteins is thought to be associated with phosphorylation of the MAPs.
偶联与修饰
偶联
Unconjugated
抗原信息
免疫原
Recombinant Protein
Uniprot ID
化学信息
分子量Theoretical: 14 kDa.
储存&溶解度
储存方式Store at -20°C or -80°C for 12 months. Avoid repeated freeze-thaw cycles.
运输方式Shipping with blue ice.

计算器

  • 稀释 计算器
  • 配液 计算器

关键词

Related Tags: buy Anti-MAP1LC3A Antibody (4Q42) | purchase Anti-MAP1LC3A Antibody (4Q42) | Anti-MAP1LC3A Antibody (4Q42) cost | order Anti-MAP1LC3A Antibody (4Q42) | Anti-MAP1LC3A Antibody (4Q42) molecular weight