购物车
  • TargetMol
    您的购物车当前为空

Anti-LAMB1 Antibody (6K439)

Synonyms: Laminin-8 subunit beta, Laminin-6 subunit beta, Laminin-2 subunit beta, Laminin-12 subunit beta, Laminin-10 subunit beta, Laminin-1 subunit beta, Laminin subunit beta-1, Laminin B1 chain, LAMB1
货号 TMAC-02364 一键复制产品信息
Rating icon 还可以

Anti-LAMB1 Antibody (6K439) 是一种 Rabbit 抗体,靶向 LAMB1。Anti-LAMB1 Antibody (6K439) 可用于 FCM,IHC,WB。

Anti-LAMB1 Antibody (6K439)

一键复制产品信息
Rating icon 还可以
货号 TMAC-02364

别名 Laminin-8 subunit beta, Laminin-6 subunit beta, Laminin-2 subunit beta, Laminin-12 subunit beta, Laminin-10 subunit beta, Laminin-1 subunit beta, Laminin subunit beta-1, Laminin B1 chain, LAMB1

Anti-LAMB1 Antibody (6K439) 是一种 Rabbit 抗体,靶向 LAMB1。Anti-LAMB1 Antibody (6K439) 可用于 FCM,IHC,WB。

Anti-LAMB1 Antibody (6K439)
规格价格库存数量
50 μL
¥ 1,495
5日内发货
100 μL
¥ 2,485
5日内发货
库存状态实时更新,以官网显示为准,现货产品可直接加购物车下单
大包装 & 定制
加入购物车

TargetMol的所有产品仅用作科学研究或药证申报,不能被用于人体,我们不向个人提供产品和服务。请您遵守承诺用途,不得违反法律法规规定用于任何其他用途。

实验操作小课堂
常见问题解答
查看更多

资源下载:产品操作手册

产品介绍


生物活性
产品描述
Anti-LAMB1 Antibody (6K439) is a Rabbit antibody targeting LAMB1. Anti-LAMB1 Antibody (6K439) can be used in FCM,IHC,WB.
别名
Laminin-8 subunit beta, Laminin-6 subunit beta, Laminin-2 subunit beta, Laminin-12 subunit beta, Laminin-10 subunit beta, Laminin-1 subunit beta, Laminin subunit beta-1, Laminin B1 chain, LAMB1
Ig Type
IgG
克隆号
6K439
反应种属
Human,Mouse,Rat
验证活性
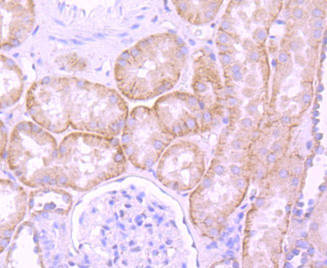
1. Immunohistochemical analysis of paraffin-embedded human kidney tissue using anti-Laminin beta 1 antibody. Counter stained with hematoxylin.
2. Immunohistochemical analysis of paraffin-embedded mouse colon tissue using anti-Laminin beta 1 antibody. Counter stained with hematoxylin.
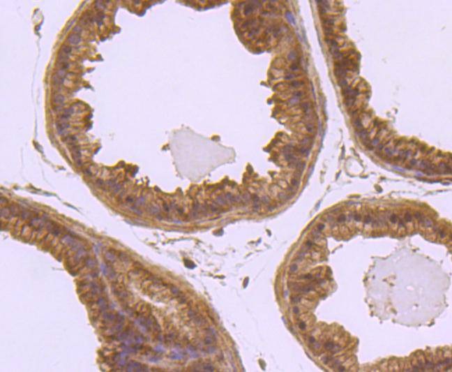
3. Immunohistochemical analysis of paraffin-embedded mouse prostate tissue using anti-Laminin beta 1 antibody. Counter stained with hematoxylin.
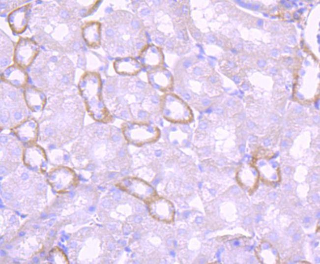
4. Immunohistochemical analysis of paraffin-embedded mouse kidney tissue using anti-Laminin beta 1 antibody. Counter stained with hematoxylin.
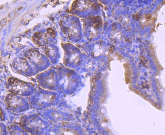
5. Immunohistochemical analysis of paraffin-embedded mouse small intestine tissue using anti-Laminin beta 1 antibody. Counter stained with hematoxylin.
6. Flow cytometric analysis of A431 cells with Laminin beta 1 antibody at 1/50 dilution (red) compared with an unlabelled control (cells without incubation with primary antibody; black). Alexa Fluor 488-conjugated goat anti rabbit IgG was used as the secondary antibody.
verifiedActivityverifiedActivityverifiedActivityverifiedActivityverifiedActivityverifiedActivity
应用FCMIHCWB
推荐剂量
WB: 1:1000; IHC: 1:100-500; FCM: 1:50-100
抗体种类
Monoclonal
宿主来源Rabbit
构建方式Recombinant Antibody
纯化方式ProA affinity purified
性状Liquid
缓冲液1*TBS (pH7.4), 1%BSA, 40%Glycerol. Preservative: 0.05% Sodium Azide.
研究背景Laminins are essential and abundant structural non-collagenous glyco- proteins localizing to basement membranes. Basement membranes (cell-associated extracellular matrices (ECMs)) are polymers of laminins with stabilizing type IV collagen networks, nidogen, and several proteoglycans. Basement membranes are found under epithelial layers, around the endothelium of blood vessels, and surrounding muscle, peripheral nerve, and fat cells. Formation of basement membranes influences cell proliferation, phenotype, migration, gene expression, and tissue architecture. Each laminin is a heterotrimer of a, b, and g chain subunits that undergoes cell-secretion and incorporation into the ECM. Laminins can self-assemble, bind to other matrix macromolecules, and have unique and shared cell interactions mediated by integrins, dystroglycan, and cognate laminin receptors. The human Laminin b-1 gene maps to chromosome 7q22 and is ubiquitously expressed in tissues that produce basement membranes.
偶联与修饰
偶联
Unconjugated
抗原信息
免疫原
Recombinant Protein
Uniprot ID
化学信息
分子量Theoretical: 198 kDa.
储存&溶解度
储存方式Store at -20°C or -80°C for 12 months. Avoid repeated freeze-thaw cycles.
运输方式Shipping with blue ice.

计算器

  • 稀释 计算器
  • 配液 计算器
Related Tags: buy Anti-LAMB1 Antibody (6K439) | purchase Anti-LAMB1 Antibody (6K439) | Anti-LAMB1 Antibody (6K439) cost | order Anti-LAMB1 Antibody (6K439) | Anti-LAMB1 Antibody (6K439) molecular weight