购物车
  • TargetMol
    您的购物车当前为空

Anti-KRT7 Antibody (4X26)

Synonyms: Type-II keratin Kb7, type II cytoskeletal 7, SCL, Sarcolectin, KRT7, Keratin-7 (K7), Keratin, type II cytoskeletal 7, Cytokeratin-7 (CK-7)
货号 TMAC-01093 一键复制产品信息
Rating icon 还可以

Anti-KRT7 Antibody (4X26) 是一种 Rabbit 抗体,靶向 KRT7。Anti-KRT7 Antibody (4X26) 可用于 FCM,ICC/IF,IHC,IP,WB。

Anti-KRT7 Antibody (4X26)

一键复制产品信息
Rating icon 还可以
货号 TMAC-01093

别名 Type-II keratin Kb7, type II cytoskeletal 7, SCL, Sarcolectin, KRT7, Keratin-7 (K7), Keratin, type II cytoskeletal 7, Cytokeratin-7 (CK-7)

Anti-KRT7 Antibody (4X26) 是一种 Rabbit 抗体,靶向 KRT7。Anti-KRT7 Antibody (4X26) 可用于 FCM,ICC/IF,IHC,IP,WB。

Anti-KRT7 Antibody (4X26)
规格价格库存数量
50 μL
¥ 1,485
5日内发货
100 μL
¥ 2,480
5日内发货
库存状态实时更新,以官网显示为准,现货产品可直接加购物车下单
大包装 & 定制
加入购物车

TargetMol的所有产品仅用作科学研究或药证申报,不能被用于人体,我们不向个人提供产品和服务。请您遵守承诺用途,不得违反法律法规规定用于任何其他用途。

实验操作小课堂
常见问题解答
查看更多

资源下载:产品操作手册

产品介绍


生物活性
产品描述
Anti-KRT7 Antibody (4X26) is a Rabbit antibody targeting KRT7. Anti-KRT7 Antibody (4X26) can be used in FCM,ICC/IF,IHC,IP,WB.
别名
Type-II keratin Kb7, type II cytoskeletal 7, SCL, Sarcolectin, KRT7, Keratin-7 (K7), Keratin, type II cytoskeletal 7, Cytokeratin-7 (CK-7)
Ig Type
IgG
克隆号
4X26
反应种属
Human
验证活性
1. Western blot analysis of Cytokeratin 7 on different lysates using anti-Cytokeratin 7 antibody at 1/1,000 dilution. Positive control: Lane 1: A549, Lane 2: HepG2, Lane 3: SK-BR-3, Lane 4: SW1990.
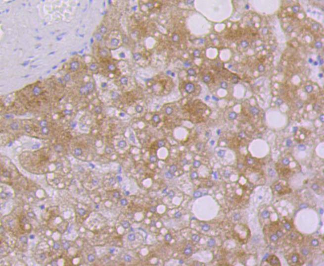
2. Immunohistochemical analysis of paraffin-embedded human liver tissue using anti-Cytokeratin 7 antibody. Counter stained with hematoxylin.
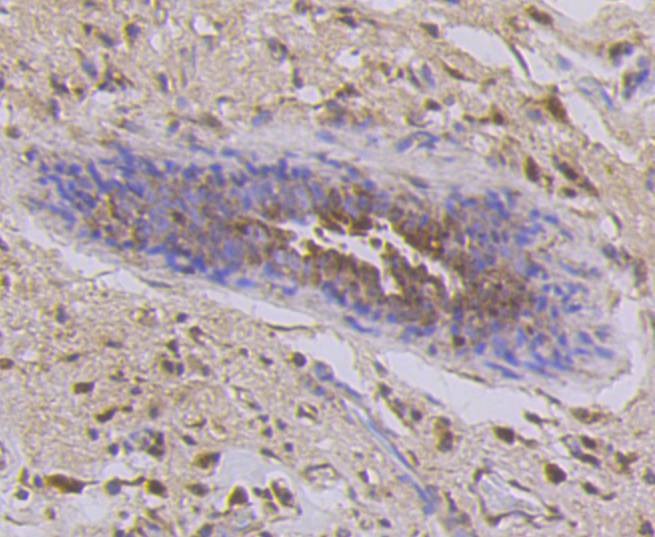
3. Immunohistochemical analysis of paraffin-embedded human breast carcinoma tissue using anti-Cytokeratin 7 antibody. Counter stained with hematoxylin.
4. ICC staining Cytokeratin 7 in Hela cells (green). The nuclear counter stain is DAPI (blue). Cells were fixed in paraformaldehyde, permeabilised with 0.25% Triton X100/PBS.
5. ICC staining Cytokeratin 7 in A549 cells (green). The nuclear counter stain is DAPI (blue). Cells were fixed in paraformaldehyde, permeabilised with 0.25% Triton X100/PBS.
6. ICC staining Cytokeratin 7 in BT-20 cells (green). The nuclear counter stain is DAPI (blue). Cells were fixed in paraformaldehyde, permeabilised with 0.25% Triton X100/PBS.
7. Flow cytometric analysis of Hela cells with Cytokeratin 7 antibody at 1/50 dilution (red) compared with an unlabelled control (cells without incubation with primary antibody; black). Alexa Fluor 488-conjugated goat anti rabbit IgG was used as the secondary antibody.
verifiedActivityverifiedActivityverifiedActivityverifiedActivityverifiedActivityverifiedActivityverifiedActivity
应用FCMICC/IFIHCIPWB
推荐剂量
WB: 1:1000-2000; IHC: 1:50-200; ICC/IF: 1:50-200; FCM: 1:50-100
抗体种类
Monoclonal
宿主来源Rabbit
构建方式Recombinant Antibody
纯化方式ProA affinity purified
性状Liquid
缓冲液1*TBS (pH7.4), 1%BSA, 40%Glycerol. Preservative: 0.05% Sodium Azide.
研究背景Cytokeratins comprise a diverse group of intermediate filament proteins (IFPs) that are expressed as pairs in both keratinized and non-keratinized epithelial tissue, where they constitute up to 85% of mature keratinocytes in the vertebrate epidermis. Cytokeratins play a critical role in differentiation and tissue specialization and function to maintain the overall structural integrity of epithelial cells. The a-helical coiled-coil dimers associate laterally end-to-end to form 10 nm diameter filaments. Cytokeratins are useful markers of tissue differentiation and, in addition, they aid in the characterization of malignant tumors. Cytokeratin 7 (also known as sarcolectin) agglutinates normal and transformed cells with a high affinity for simple sugars. Cytokeratin 7 also inhibits the synthesis of interferon-dependent secondary proteins thus reversing the antiviral effect of interferon induction and restoring cells to their status ad primum. In normal and transformed cells, Cytokeratin 7 localizes to the membrane.
偶联与修饰
偶联
Unconjugated
抗原信息
免疫原
Recombinant Protein
Uniprot ID
化学信息
分子量Theoretical: 51 kDa.
储存&溶解度
储存方式Store at -20°C or -80°C for 12 months. Avoid repeated freeze-thaw cycles.
运输方式Shipping with blue ice.

计算器

  • 稀释 计算器
  • 配液 计算器
Related Tags: buy Anti-KRT7 Antibody (4X26) | purchase Anti-KRT7 Antibody (4X26) | Anti-KRT7 Antibody (4X26) cost | order Anti-KRT7 Antibody (4X26) | Anti-KRT7 Antibody (4X26) molecular weight