购物车
  • TargetMol
    您的购物车当前为空

Anti-KRT20 Antibody (7P648)

Synonyms: type I cytoskeletal 20, Protein IT, KRT 20, Keratin-20, Keratin, K20, Cytokeratin-20, CK-20
货号 TMAC-01085 一键复制产品信息
Rating icon 还可以

Anti-KRT20 Antibody (7P648) 是一种 Rabbit 抗体,靶向 KRT20。Anti-KRT20 Antibody (7P648) 可用于 FCM,ICC/IF,IHC,IP,WB。

Anti-KRT20 Antibody (7P648)

一键复制产品信息
Rating icon 还可以
货号 TMAC-01085

别名 type I cytoskeletal 20, Protein IT, KRT 20, Keratin-20, Keratin, K20, Cytokeratin-20, CK-20

Anti-KRT20 Antibody (7P648) 是一种 Rabbit 抗体,靶向 KRT20。Anti-KRT20 Antibody (7P648) 可用于 FCM,ICC/IF,IHC,IP,WB。

Anti-KRT20 Antibody (7P648)
规格价格库存数量
50 μL
¥ 1,485
5日内发货
100 μL
¥ 2,490
5日内发货
库存状态实时更新,以官网显示为准,现货产品可直接加购物车下单
大包装 & 定制
加入购物车

TargetMol的所有产品仅用作科学研究或药证申报,不能被用于人体,我们不向个人提供产品和服务。请您遵守承诺用途,不得违反法律法规规定用于任何其他用途。

实验操作小课堂
常见问题解答
查看更多

资源下载:产品操作手册

产品介绍


生物活性
产品描述
Anti-KRT20 Antibody (7P648) is a Rabbit antibody targeting KRT20. Anti-KRT20 Antibody (7P648) can be used in FCM,ICC/IF,IHC,IP,WB.
别名
type I cytoskeletal 20, Protein IT, KRT 20, Keratin-20, Keratin, K20, Cytokeratin-20, CK-20
Ig Type
IgG
克隆号
7P648
反应种属
Human,Rat
验证活性
1. Western blot analysis of Cytokeratin 20 on different cell lysates using anti-Cytokeratin 20 antibody at 1/1,000 dilution. Positive control: Lane 1: Lovo, Lane 2: HCT116, Lane 3: CRC.
2. Immunohistochemical analysis of paraffin-embedded rat small intestine tissue using anti-Cytokeratin 20 antibody. Counter stained with hematoxylin.
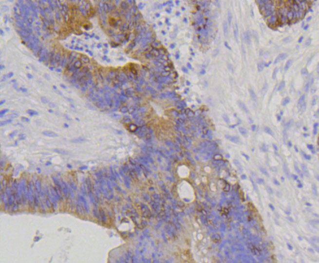
3. Immunohistochemical analysis of paraffin-embedded human colon cancer tissue using anti-Cytokeratin 20 antibody. Counter stained with hematoxylin.
4. ICC staining Cytokeratin 20 in CRC cells (green). The nuclear counter stain is DAPI (blue). Cells were fixed in paraformaldehyde, permeabilised with 0.25% Triton X100/PBS.
5. Flow cytometric analysis of CRC cells with Cytokeratin 20 antibody at 1/50 dilution (blue) compared with an unlabelled control (cells without incubation with primary antibody; red). Alexa Fluor 488-conjugated goat anti rabbit IgG was used as the secondary antibody.
verifiedActivityverifiedActivityverifiedActivityverifiedActivityverifiedActivity
应用FCMICC/IFIHCIPWB
推荐剂量
WB: 1:1000-5000; IHC: 1:50-200; ICC/IF: 1:50-200; FCM: 1:10-100
抗体种类
Monoclonal
宿主来源Rabbit
构建方式Recombinant Antibody
纯化方式ProA affinity purified
性状Liquid
缓冲液1*TBS (pH7.4), 1%BSA, 40%Glycerol. Preservative: 0.05% Sodium Azide.
研究背景Cytokeratins comprise a diverse group of intermediate filament proteins (IFPs) that are expressed as pairs in both keratinized and non-keratinized epithelial tissue, where they constitute up to 85% of mature keratinocytes in the vertebrate epidermis. Cytokeratins play a critical role in differentiation and tissue specialization and function to maintain the overall structural integrity of epi-thelial cells. The a-helical coiled-coil dimers associate laterally end-to-end to form 10 nm diameter filaments. Cytokeratins are useful markers of tissue differentiation, and in addition, they aid in the characterization of malignant tumors. Cytokeratin 20 is abundantly expressed in goblet cells and enterocytes of the gastrointestinal tract, and Cytokeratin 20 is a useful marker of pancreatic and colorectal cancer. Cytokeratin 20 is also helpful in distinguishing different types of highly related carcinomas, such as renal oncocytomas from renal cell carcinomas.
偶联与修饰
偶联
Unconjugated
抗原信息
免疫原
Recombinant Protein
Uniprot ID
化学信息
分子量Theoretical: 44 kDa.
储存&溶解度
储存方式Store at -20°C or -80°C for 12 months. Avoid repeated freeze-thaw cycles.
运输方式Shipping with blue ice.

计算器

  • 稀释 计算器
  • 配液 计算器
Related Tags: buy Anti-KRT20 Antibody (7P648) | purchase Anti-KRT20 Antibody (7P648) | Anti-KRT20 Antibody (7P648) cost | order Anti-KRT20 Antibody (7P648) | Anti-KRT20 Antibody (7P648) molecular weight