购物车
  • TargetMol
    您的购物车当前为空

Anti-KAT8 Antibody (7Z632)

Synonyms: YBF2/SAS3, SAS2 and TIP60 protein 1, MYST-1, MYST1, MOZ, MOF, Lysine acetyltransferase 8, KAT 8, hMOF, Histone acetyltransferase KAT8, EC 2.3.1.48
货号 TMAC-02298Cas号 一键复制产品信息纯度:
Rating icon 还可以

Anti-KAT8 Antibody (7Z632) 是一种 Rabbit 抗体,靶向 KAT8。Anti-KAT8 Antibody (7Z632) 可用于 FCM,ICC,IF,IHC,IP,WB。

Anti-KAT8 Antibody (7Z632)

一键复制产品信息
Rating icon 还可以
货号 TMAC-02298

别名 YBF2/SAS3, SAS2 and TIP60 protein 1, MYST-1, MYST1, MOZ, MOF, Lysine acetyltransferase 8, KAT 8, hMOF, Histone acetyltransferase KAT8, EC 2.3.1.48

Anti-KAT8 Antibody (7Z632) 是一种 Rabbit 抗体,靶向 KAT8。Anti-KAT8 Antibody (7Z632) 可用于 FCM,ICC,IF,IHC,IP,WB。

Anti-KAT8 Antibody (7Z632)
规格价格库存数量
50 μL
¥ 1,490
5日内发货
100 μL
¥ 2,495
5日内发货
库存状态实时更新,以官网显示为准,现货产品可直接加购物车下单
大包装 & 定制
加入购物车

TargetMol的所有产品仅用作科学研究或药证申报,不能被用于人体,我们不向个人提供产品和服务。请您遵守承诺用途,不得违反法律法规规定用于任何其他用途。

实验操作小课堂
常见问题解答
查看更多

资源下载:产品操作手册

产品介绍


生物活性
产品描述
Anti-KAT8 Antibody (7Z632) is a Rabbit antibody targeting KAT8. Anti-KAT8 Antibody (7Z632) can be used in FCM,ICC,IF,IHC,IP,WB.
别名
YBF2/SAS3, SAS2 and TIP60 protein 1, MYST-1, MYST1, MOZ, MOF, Lysine acetyltransferase 8, KAT 8, hMOF, Histone acetyltransferase KAT8, EC 2.3.1.48
Ig Type
IgG
克隆号
7Z632
反应种属
Human,Mouse,Rat
验证活性
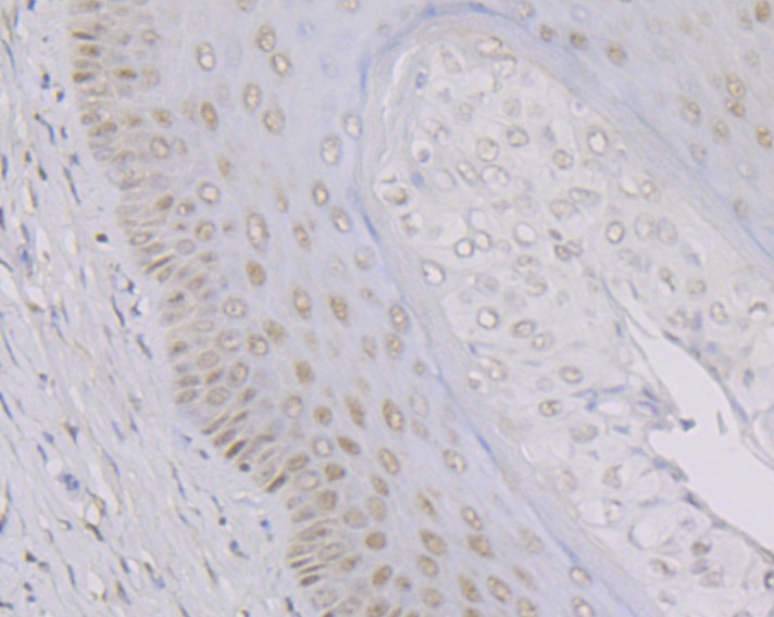
1. Immunohistochemical analysis of paraffin-embedded human cervix tissue using anti-KAT8 antibody. Counter stained with hematoxylin.
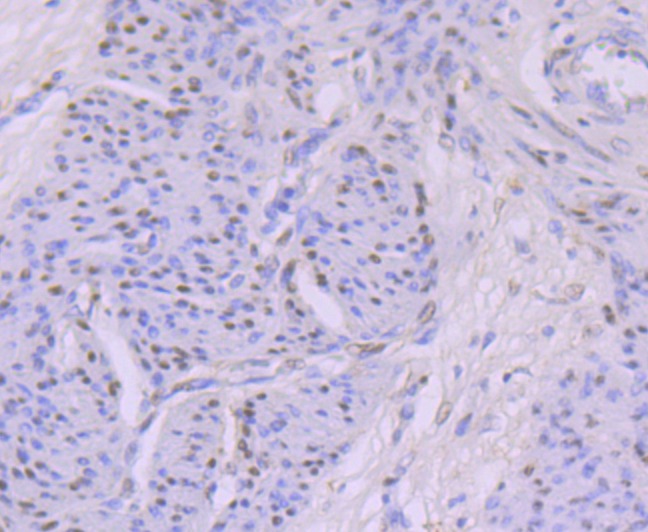
2. Immunohistochemical analysis of paraffin-embedded human cervix cancer tissue using anti-KAT8 antibody. Counter stained with hematoxylin.
3. Immunohistochemical analysis of paraffin-embedded rat cervix tissue using anti-KAT8 antibody. Counter stained with hematoxylin.
4. ICC staining KAT8 in MCF-7 cells (green). The nuclear counter stain is DAPI (blue). Cells were fixed in paraformaldehyde, permeabilised with 0.25% Triton X100/PBS.
5. ICC staining KAT8 in SH-SY-5Y cells (green). The nuclear counter stain is DAPI (blue). Cells were fixed in paraformaldehyde, permeabilised with 0.25% Triton X100/PBS.
6. ICC staining KAT8 in SiHa cells (green). The nuclear counter stain is DAPI (blue). Cells were fixed in paraformaldehyde, permeabilised with 0.25% Triton X100/PBS.
7. Flow cytometric analysis of K562 cells with KAT8 antibody at 1/100 dilution (yellow) compared with an unlabelled control (cells without incubation with primary antibody; purple).Alexa Fluor 488-conjugated goat anti-rabbit IgG was used as the secondary antibody.
verifiedActivityverifiedActivityverifiedActivityverifiedActivityverifiedActivityverifiedActivityverifiedActivity
应用FCMICCIFIHCIPWB
推荐剂量
IHC: 1:50-1:200; ICC: 1:50-1:200; FCM: 1:50-1:100
抗体种类
Monoclonal
宿主来源Rabbit
构建方式Recombinant Antibody
纯化方式ProA affinity purified
性状Liquid
缓冲液Rabbit IgG in 10mM phosphate buffered saline , pH 7.4, 150mM sodium chloride, 0.05% BSA, 0.02% sodium azide and 50% glycerol.
研究背景Dosage compensation ensures that males with a single X chromosome and females with two X chromosomes have the same amount of most X-linked gene products. In Drosophila, this is acheived by enhancing the level of transcription of the X chromosome in males. Proteins such as maleless, male specific lethal 1, 2 and 3, and males absent on the first (MOF) form a dosage compensation complex (DCC) that is required for the twofold increase of transcription of the male X chromosome. The DCC is preferentially associated with many sites on the X chromosome in somatic cells of males. The binding of the DCC to the X chromosome is dependent upon histone 4 acetylation at lysine 16, which is accomplished by MOF. In mammals, MOF (also designated hMOF, MYST1, or MOZ) belongs to the MYST family of histone acetyl transferases which are characterized by a unique C2HC-type zinc finger close to their HAT domains. MOF utilizes the zinc finger domain to contact the globular part of the nucleosome as well as the histone H4 N-terminal tail substrate. The carboxy terminal domain of human MOF also has histone acetyltransferase activity directed against histones H3 and H2A, a characteristic shared with other MYST family histone acetyltransferases.
偶联与修饰
偶联
Unconjugated
抗原信息
免疫原
Recombinant Protein: within N-terminal human KAT8
抗原种属
human
Uniprot ID
化学信息
分子量Theoretical: 52 kDa.
储存&溶解度
储存方式Store at -20°C or -80°C for 12 months. Avoid repeated freeze-thaw cycles.
运输方式Shipping with blue ice.

计算器

  • 稀释 计算器
  • 配液 计算器
Related Tags: buy Anti-KAT8 Antibody (7Z632) | purchase Anti-KAT8 Antibody (7Z632) | Anti-KAT8 Antibody (7Z632) cost | order Anti-KAT8 Antibody (7Z632) | Anti-KAT8 Antibody (7Z632) molecular weight