购物车
  • TargetMol
    您的购物车当前为空

Anti-JUN Polyclonal Antibody

Synonyms: V-jun avian sarcoma virus 17 oncogene homolog, Transcription factor Jun, Transcription factor AP-1 subunit Jun, Proto-oncogene c-Jun, p39, JUN, Activator protein 1 (AP1)
货号 TMAB-01011 一键复制产品信息
Rating icon 还可以
202603开学季活动

Anti-JUN Polyclonal Antibody 是一种 Rabbit 抗体,靶向 JUN。Anti-JUN Polyclonal Antibody 可用于 FCM,IF,IHC-Fr,IHC-P,WB。

Anti-JUN Polyclonal Antibody

一键复制产品信息
Rating icon 还可以
202603开学季活动
货号 TMAB-01011

别名 V-jun avian sarcoma virus 17 oncogene homolog, Transcription factor Jun, Transcription factor AP-1 subunit Jun, Proto-oncogene c-Jun, p39, JUN, Activator protein 1 (AP1)

Anti-JUN Polyclonal Antibody 是一种 Rabbit 抗体,靶向 JUN。Anti-JUN Polyclonal Antibody 可用于 FCM,IF,IHC-Fr,IHC-P,WB。

Anti-JUN Polyclonal Antibody
规格价格库存数量
50 μL
¥ 1,170
5日内发货
100 μL
¥ 1,975
5日内发货
200 μL
¥ 2,785
5日内发货
库存状态实时更新,以官网显示为准,现货产品可直接加购物车下单
大包装 & 定制
加入购物车

TargetMol的所有产品仅用作科学研究或药证申报,不能被用于人体,我们不向个人提供产品和服务。请您遵守承诺用途,不得违反法律法规规定用于任何其他用途。

实验操作小课堂
常见问题解答
查看更多

资源下载:产品操作手册

产品介绍


生物活性
产品描述
Anti-JUN Polyclonal Antibody is a Rabbit antibody targeting JUN. Anti-JUN Polyclonal Antibody can be used in FCM,IF,IHC-Fr,IHC-P,WB.
别名
V-jun avian sarcoma virus 17 oncogene homolog, Transcription factor Jun, Transcription factor AP-1 subunit Jun, Proto-oncogene c-Jun, p39, JUN, Activator protein 1 (AP1)
Ig Type
IgG
反应种属
Human,Mouse,Rat (predicted:Chicken,Dog,Pig,Cow,Sheep)
验证活性
1. Sample:
Liver (Rat) lysate at 30 μg;
Brain (Rat) lysates at 30 μg;
Primary: Anti-C-jun/AP-1 (TMAB-01011) at 1:200;
Secondary: HRP conjugated Goat-Anti-Rabbit Igg (secondary antibody) at 1: 3000;
Predicted band size: 36 kDa
Observed band size: 36 kDa
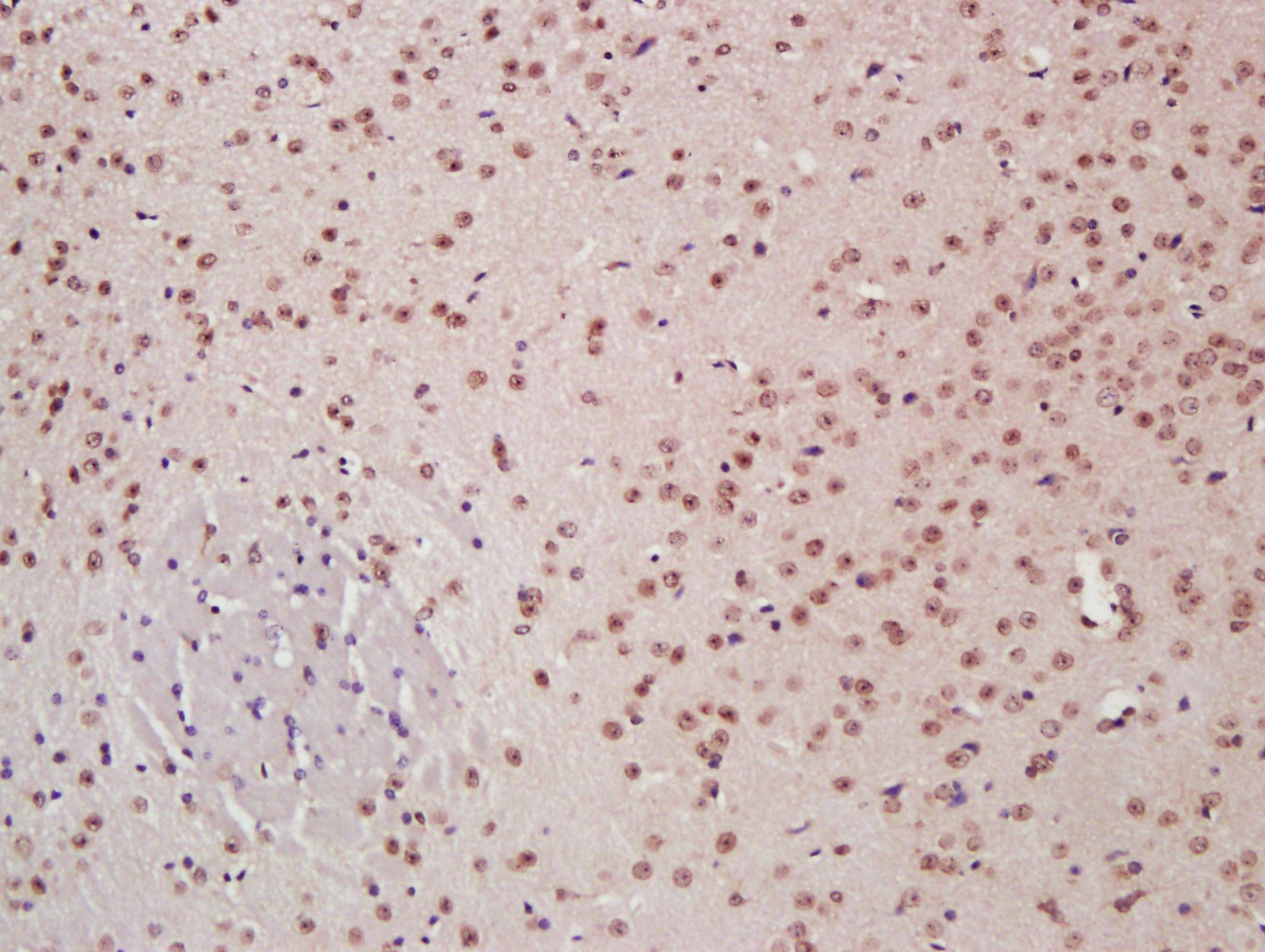
2. Paraformaldehyde-fixed, paraffin embedded (Mouse brain); Antigen retrieval by boiling in sodium citrate buffer (pH6.0) for 15 min; Block endogenous peroxidase by 3% hydrogen peroxide for 20 min; Blocking buffer (normal goat serum) at 37°C for 30 min; Antibody incubation with (C-jun) Polyclonal Antibody, Unconjugated (TMAB-01011) at 1:500 overnight at 4°C, followed by a conjugated secondary for 20 min and DAB staining.
3. Paraformaldehyde-fixed, paraffin embedded (Rat testis); Antigen retrieval by boiling in sodium citrate buffer (pH6.0) for 15 min; Block endogenous peroxidase by 3% hydrogen peroxide for 20 min; Blocking buffer (normal goat serum) at 37°C for 30 min; Antibody incubation with (C-jun) Polyclonal Antibody, Unconjugated (TMAB-01011) at 1:400 overnight at 4°C, followed by a conjugated secondary for 20 min and DAB staining.
4. Blank control (blue line): HepG2 (blue).
Primary Antibody (green line): Rabbit Anti-C-jun antibody
Dilution: 1 μg/10^6 cells;
Isotype Control Antibody (orange line): Rabbit IgG.
Secondary Antibody (white blue line): Goat anti-rabbit IgG-PE
Dilution: 1 μg/test.
Protocol
The cells were fixed with 70% methanol (Overnight at 4°C) and then permeabilized with 90% ice-cold methanol for 20 min at-20°C. Cells stained with Primary Antibody for 30 min at room temperature. The cells were then incubated in 1 X PBS/2% BSA/10% goat serum to block non-specific protein-protein interactions followed by the antibody for 15 min at room temperature. The secondary antibody used for 40 min at room temperature.
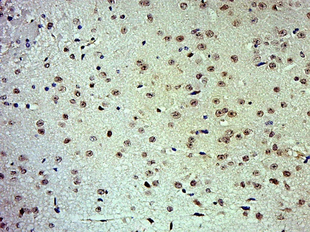
5. Paraformaldehyde-fixed, paraffin embedded (Mouse brain); Antigen retrieval by boiling in sodium citrate buffer (pH6.0) for 15 min; Block endogenous peroxidase by 3% hydrogen peroxide for 20 min; Blocking buffer (normal goat serum) at 37°C for 30 min; Antibody incubation with (C-jun) Polyclonal Antibody, Unconjugated (TMAB-01011) at 1:400 overnight at 4°C, followed by a conjugated secondary antibody for 20 min and DAB staining.
6. Sample:
Lane 1: Kidney (Mouse) Lysate at 40 μg
Lane 2: Lung (Mouse) Lysate at 40 μg
Lane 3: NIH/3T3 (Mouse) Cell Lysate at 30 μg
Lane 4: Hela (Human) Cell Lysate at 30 μg
Primary: Anti-C-jun (TMAB-01011) at 1/1000 dilution
Secondary: IRDye800CW Goat Anti-Rabbit IgG at 1/20000 dilution
Predicted band size: 43/36 kDa
Observed band size: 45 kDa
7. Blank control: Hela.
Primary Antibody (green line): Rabbit Anti-C-jun antibody (TMAB-01011)
Dilution: 1 μg/10^6 cells;
Isotype Control Antibody (orange line): Rabbit IgG.
Secondary Antibody: Goat anti-rabbit IgG-AF647
Dilution: 1 μg/test.
Protocol
The cells were fixed with 4% PFA (10 min at room temperature) and then permeabilized with 90% ice-cold methanol for 20 min at-20°C. The cells were then incubated in 5% BSA to block non-specific protein-protein interactions for 30 min at room temperature. Cells stained with Primary Antibody for 30 min at room temperature. The secondary antibody used for 40 min at room temperature.
verifiedActivityverifiedActivityverifiedActivityverifiedActivityverifiedActivityverifiedActivityverifiedActivity
应用FCMIFIHC-FrIHC-PWB
推荐剂量
WB: 1:500-2000; IHC-P: 1:100-500; IHC-Fr: 1:100-500; IF: 1:100-500; FCM: 1μg/Test
抗体种类
Polyclonal
宿主来源Rabbit
亚细胞定位Nucleus.
构建方式Polyclonal Antibody
纯化方式Protein A purified
性状Liquid
缓冲液0.01M TBS (pH7.4) with 1% BSA, 0.02% Proclin300 and 50% Glycerol.
浓度1 mg/mL
研究背景C-jun (Oncoprotein C-jun) is a component of the transcription factor AP-1 that binds and activates transcription at TRE/AP-1 elements and appears to be a major downstream target of the SAPK/JNK signaling pathway. The transcriptional activity of c-Jun is regulated by phosphorylation at Ser63 and Ser73. Extracellular signals including growth factors, transforming oncoproteins and UV irradiation stimulate phosphorylation of c-Jun at Ser63/73 and activate c-Jun dependent transcription. Mutation of Ser63/73 renders c-Jun nonresponsive to mitogenic and stress induced signaling pathways. The MAP kinase homologue, SAPK/JNK, binds to the N-terminal region of c-Jun and phosphorylates c-Jun at Ser63/73. In addition, the activity of SAPK/JNK is stimulated by the same signals that activate c-Jun.
抗原信息
免疫原
KLH conjugated synthetic peptide: human Transcription factor AP-1
抗原种属
Human
基因名称
JUN
基因ID
蛋白名称
Transcription factor AP-1
Uniprot ID
研究领域
Transcription factors,SMADs,Leucine Zipper,Transcription Factors,TLR Signaling,Phosphoprotein ELISA kits,SMADs
功能
Transcription factor that recognizes and binds to the enhancer heptamer motif 5'-TGA[CG]TCA-3'. Promotes activity of NR5A1 when phosphorylated by HIPK3 leading to increased steroidogenic gene expression upon cAMP signaling pathway stimulation.
化学信息
分子量Theoretical: 36 kDa. Actual: 36-45 kDa.
储存&溶解度
储存方式Store at -20°C or -80°C for 12 months. Avoid repeated freeze-thaw cycles.
运输方式Shipping with blue ice.

计算器

  • 稀释 计算器
  • 配液 计算器

关键词

Related Tags: buy Anti-JUN Polyclonal Antibody | purchase Anti-JUN Polyclonal Antibody | Anti-JUN Polyclonal Antibody cost | order Anti-JUN Polyclonal Antibody | Anti-JUN Polyclonal Antibody molecular weight