购物车
  • TargetMol
    您的购物车当前为空

Anti-IRF1 Antibody (2Q473)

Synonyms: IRF-1, IRF1, Interferon regulatory factor 1
货号 TMAC-02215Cas号 一键复制产品信息纯度:
Rating icon 还可以

Anti-IRF1 Antibody (2Q473) 是一种 Rabbit 抗体,靶向 IRF1。Anti-IRF1 Antibody (2Q473) 可用于 FCM,ICC/IF,IHC,IP,WB。

Anti-IRF1 Antibody (2Q473)

一键复制产品信息
Rating icon 还可以
货号 TMAC-02215

别名 IRF-1, IRF1, Interferon regulatory factor 1

Anti-IRF1 Antibody (2Q473) 是一种 Rabbit 抗体,靶向 IRF1。Anti-IRF1 Antibody (2Q473) 可用于 FCM,ICC/IF,IHC,IP,WB。

Anti-IRF1 Antibody (2Q473)
规格价格库存数量
50 μL
¥ 1,490
5日内发货
100 μL
¥ 2,485
5日内发货
库存状态实时更新,以官网显示为准,现货产品可直接加购物车下单
大包装 & 定制
加入购物车

TargetMol的所有产品仅用作科学研究或药证申报,不能被用于人体,我们不向个人提供产品和服务。请您遵守承诺用途,不得违反法律法规规定用于任何其他用途。

实验操作小课堂
常见问题解答
查看更多

资源下载:产品操作手册

产品介绍


生物活性
产品描述
Anti-IRF1 Antibody (2Q473) is a Rabbit antibody targeting IRF1. Anti-IRF1 Antibody (2Q473) can be used in FCM,ICC/IF,IHC,IP,WB.
别名
IRF-1, IRF1, Interferon regulatory factor 1
Ig Type
IgG
克隆号
2Q473
反应种属
Human,Mouse,Rat
验证活性
1. Western blot analysis of IRF1 on different lysates using anti-IRF1 antibody at 1/1,000 dilution. Positive control: Lane 1: PC-12, Lane 2: Jurkat.
2. Immunohistochemical analysis of paraffin-embedded human colon cancer tissue using anti-IRF1 antibody. Counter stained with hematoxylin.
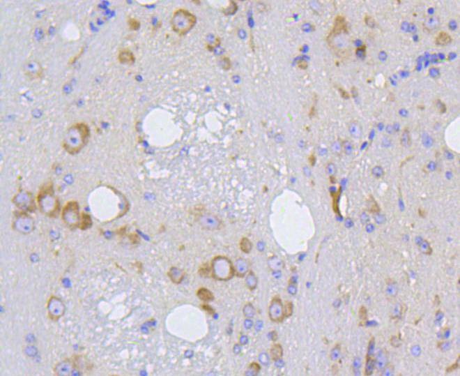
3. Immunohistochemical analysis of paraffin-embedded mouse brain tissue using anti-IRF1 antibody. Counter stained with hematoxylin.
4. ICC staining IRF1 in Hela cells (green). The nuclear counter stain is DAPI (blue). Cells were fixed in paraformaldehyde, permeabilised with 0.25% Triton X100/PBS.
5. ICC staining IRF1 in NIH/3T3 cells (green). The nuclear counter stain is DAPI (blue). Cells were fixed in paraformaldehyde, permeabilised with 0.25% Triton X100/PBS.
6. Flow cytometric analysis of Jurkat cells with IRF1 antibody at 1/50 dilution (blue) compared with an unlabelled control (cells without incubation with primary antibody; red). Alexa Fluor 488-conjugated goat anti rabbit IgG was used as the secondary antibody.
verifiedActivityverifiedActivityverifiedActivityverifiedActivityverifiedActivityverifiedActivity
应用FCMICC/IFIHCIPWB
推荐剂量
WB: 1:1000-2000; IHC: 1:50-200; ICC/IF: 1:50-200; FCM: 1:50-100
抗体种类
Monoclonal
宿主来源Rabbit
构建方式Recombinant Antibody
纯化方式ProA affinity purified
性状Liquid
缓冲液1*TBS (pH7.4), 1%BSA, 40%Glycerol. Preservative: 0.05% Sodium Azide.
研究背景Interferon regulatory factor-1 (IRF-1) and IRF-2 have been identified as novel DNA-binding factors that function as regulators of both type I interferon (interferon- and ??) and interferon-inducible genes. The two factors are structurally related, particularly in their N-terminal regions, which confer DNA binding specificity. In addition, both bind to the same sequence within the promoters of interferon- and interferon-?? genes. IRF-1 functions as an activator of interferon transcription, while IRF-2 binds to the same cis elements and represses IRF-1 action. IRF-1 and IRF-2 have been reported to act in a mutually antagonistic manner in regulating cell growth; overexpression of the repressor IRF-2 leads to cell transformation while concomitant overexpression of IRF-1 causes reversion. IRF-1 and IRF-2 are members of a larger family of DNA binding proteins that includes IRF-3, IRF-4, IRF-5, IRF-6, IRF-7, ISGF-3 p48 (a component of the ISGF-3 complex) and IFN consensus sequence-binding protein (ICSBP).
偶联与修饰
偶联
Unconjugated
抗原信息
免疫原
Recombinant Protein
Uniprot ID
化学信息
分子量Theoretical: 48 kDa.
储存&溶解度
储存方式Store at -20°C or -80°C for 12 months. Avoid repeated freeze-thaw cycles.
运输方式Shipping with blue ice.

计算器

  • 稀释 计算器
  • 配液 计算器

关键词

Related Tags: buy Anti-IRF1 Antibody (2Q473) | purchase Anti-IRF1 Antibody (2Q473) | Anti-IRF1 Antibody (2Q473) cost | order Anti-IRF1 Antibody (2Q473) | Anti-IRF1 Antibody (2Q473) molecular weight