购物车
  • TargetMol
    您的购物车当前为空

Anti-IL-1R1 Polyclonal Antibody

Synonyms: interleukin 1 receptor, type I
货号 TMAB-00953 一键复制产品信息
Rating icon 还可以

Anti-IL-1R1 Polyclonal Antibody 是一种 Rabbit 抗体,靶向 IL-1R1。Anti-IL-1R1 Polyclonal Antibody 可用于 FCM, ICC/IF, IF, IHC-Fr, IHC-P, WB。

Anti-IL-1R1 Polyclonal Antibody

一键复制产品信息
Rating icon 还可以
货号 TMAB-00953

别名 interleukin 1 receptor, type I

Anti-IL-1R1 Polyclonal Antibody 是一种 Rabbit 抗体,靶向 IL-1R1。Anti-IL-1R1 Polyclonal Antibody 可用于 FCM, ICC/IF, IF, IHC-Fr, IHC-P, WB。

Anti-IL-1R1 Polyclonal Antibody
规格价格库存数量
50 μL
¥ 1,175
5日内发货
100 μL
¥ 1,960
5日内发货
200 μL
¥ 2,790
5日内发货
库存状态实时更新,以官网显示为准,现货产品可直接加购物车下单
大包装 & 定制
加入购物车

TargetMol的所有产品仅用作科学研究或药证申报,不能被用于人体,我们不向个人提供产品和服务。请您遵守承诺用途,不得违反法律法规规定用于任何其他用途。

实验操作小课堂
常见问题解答
查看更多

资源下载:产品操作手册

产品介绍


生物活性
产品描述
Anti-IL-1R1 Polyclonal Antibody is a Rabbit antibody targeting IL-1R1. Anti-IL-1R1 Polyclonal Antibody can be used in FCM, ICC/IF, IF, IHC-Fr, IHC-P, WB.
别名
interleukin 1 receptor, type I
Ig Type
IgG
反应种属
Human (predicted:Mouse,Dog,Pig)
验证活性
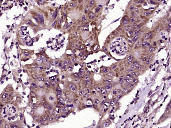
1. Paraformaldehyde-fixed, paraffin embedded (human colon carcinoma); Antigen retrieval by boiling in sodium citrate buffer (pH6.0) for 15 min; Block endogenous peroxidase by 3% hydrogen peroxide for 20 min; Blocking buffer (normal goat serum) at 37°C for 30 min; Antibody incubation with (IL-1R1) Polyclonal Antibody, Unconjugated (TMAB-00953) at 1:400 overnight at 4°C, followed by operating according to SP Kit (Rabbit) instructionsand DAB staining.
2. HepG2 cell; 4% Paraformaldehyde-fixed; Triton X-100 at room temperature for 20 min; Blocking buffer (normal goat serum) at 37°C for 20 min; Antibody incubation with (IL-1R1) polyclonal Antibody, Unconjugated (TMAB-00953) 1:100, 90 minutes at 37°C; followed by a conjugated Goat Anti-Rabbit IgG antibody at 37°C for 90 minutes, DAPI (blue) was used to stain the cell nucleus.
3. Sample: Hela (human) Cell Lysate at 40 μg
Primary: Anti-IL-1R1 (TMAB-00953) at 1/300 dilution
Secondary: IRDye800CW Goat Anti-Rabbit IgG at 1/20000 dilution
Predicted band size: 63 kDa
Observed band size: 63 kDa
4. Blank control (blue line): MCF7 (fixed with 70% methanol overnight at 4°C).
Primary Antibody (green line): Rabbit Anti-IL-1R1 receptor antibody (TMAB-00953), Dilution: 0.2 μg/10^6 cells;
Isotype Control Antibody (orange line): Rabbit IgG.
Secondary Antibody (white blue line): Goat anti-rabbit IgG-PE, Dilution: 1 μg/test.
verifiedActivityverifiedActivityverifiedActivityverifiedActivity
应用FCMICC/IFIFIHC-FrIHC-PWB
推荐剂量
FCM=1 μg/Test; ICC/IF=1:100-500; IF=1:100-500; IHC-Fr=1:100-500; IHC-P=1:100-500; WB=1:500-2000
抗体种类
Polyclonal
宿主来源Rabbit
亚细胞定位Membrane; Single-pass type I membrane protein. Cell membrane (Probable). Secreted.
构建方式Polyclonal Antibody
纯化方式Protein A purified
性状Liquid
缓冲液0.01M TBS (pH7.4) with 1% BSA, 0.02% Proclin300 and 50% Glycerol.
浓度1 mg/mL
研究背景The protein encoded by this gene is a cytokine receptor that belongs to the interleukin 1 receptor family. This protein is a receptor for interleukin alpha (IL1A), interleukin beta (IL1B), and interleukin 1 receptor, type I(IL1R1/IL1RA). It is an important mediator involved in many cytokine induced immune and inflammatory responses. This gene along with interleukin 1 receptor, type II(IL1R2), interleukin 1 receptor-like 2 (IL1RL2), and interleukin 1 receptor-like 1 (IL1RL1) form a cytokine receptor gene cluster in a region mapped to chromosome 2q12. [provided by RefSeq].
抗原信息
免疫原
KLH conjugated synthetic peptide: human IL-1R1
抗原种属
Human
基因名称
IL1R1
基因ID
蛋白名称
Interleukin-1 receptor type 1
Uniprot ID
研究领域
Endothelial Cell Markers,Inflammatory mediators,Interleukins,T Lymphocytic Lineage,Dendritic Cell Lineage
功能
Receptor for IL1A, IL1B and IL1RN. After binding to interleukin-1 associates with the corecptor IL1RAP to form the high affinity interleukin-1 receptor complex which mediates interleukin-1-dependent activation of NF-kappa-B, MAPK and other pathways. Signaling involves the recruitment of adapter molecules such as TOLLIP, MYD88, and IRAK1 or IRAK2 via the respective TIR domains of the receptor/coreceptor subunits. Binds ligands with comparable affinity and binding of antagonist IL1RN prevents association with IL1RAP to form a signaling complex.
化学信息
分子量Theoretical: 63 kDa. Actual: 63 kDa.
储存&溶解度
储存方式Store at -20°C or -80°C for 12 months. Avoid repeated freeze-thaw cycles.
运输方式Shipping with blue ice.

计算器

  • 稀释 计算器
  • 配液 计算器
Related Tags: buy Anti-IL-1R1 Polyclonal Antibody | purchase Anti-IL-1R1 Polyclonal Antibody | Anti-IL-1R1 Polyclonal Antibody cost | order Anti-IL-1R1 Polyclonal Antibody | Anti-IL-1R1 Polyclonal Antibody molecular weight