购物车
  • TargetMol
    您的购物车当前为空

Anti-IGF1/IGF-I Polyclonal Antibody

Synonyms: 胰岛素样生长因子, somatomedin C, MGF, insulin-like growth factor 1, IGF‑I, IGF-I, IGFI, IGF1A, IGF-1
货号 TMAB-00916 一键复制产品信息
Rating icon 还可以

Anti-IGF1/IGF-I Polyclonal Antibody 是一种 Rabbit 抗体,靶向 IGF1/IGF-I。Anti-IGF1/IGF-I Polyclonal Antibody 可用于 IF, IHC-Fr, IHC-P, WB。

Anti-IGF1/IGF-I Polyclonal Antibody

一键复制产品信息
Rating icon 还可以
货号 TMAB-00916

别名 胰岛素样生长因子, somatomedin C, MGF, insulin-like growth factor 1, IGF‑I, IGF-I, IGFI, IGF1A, IGF-1

Anti-IGF1/IGF-I Polyclonal Antibody 是一种 Rabbit 抗体,靶向 IGF1/IGF-I。Anti-IGF1/IGF-I Polyclonal Antibody 可用于 IF, IHC-Fr, IHC-P, WB。

Anti-IGF1/IGF-I Polyclonal Antibody
规格价格库存数量
50 μL
¥ 1,175
5日内发货
100 μL
¥ 1,965
5日内发货
200 μL
¥ 2,790
5日内发货
库存状态实时更新,以官网显示为准,现货产品可直接加购物车下单
大包装 & 定制
加入购物车

TargetMol的所有产品仅用作科学研究或药证申报,不能被用于人体,我们不向个人提供产品和服务。请您遵守承诺用途,不得违反法律法规规定用于任何其他用途。

实验操作小课堂
常见问题解答
查看更多

资源下载:产品操作手册

产品介绍


生物活性
产品描述
Anti-IGF1/IGF-I Polyclonal Antibody is a Rabbit antibody targeting IGF1/IGF-I. Anti-IGF1/IGF-I Polyclonal Antibody can be used in IF, IHC-Fr, IHC-P, WB.
别名
胰岛素样生长因子, somatomedin C, MGF, insulin-like growth factor 1, IGF‑I, IGF-I, IGFI, IGF1A, IGF-1
Ig Type
IgG
反应种属
Human,Mouse,Rat (predicted:Dog,Pig,Cow,Rabbit,Sheep)
验证活性
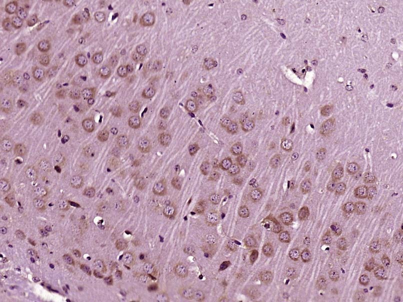
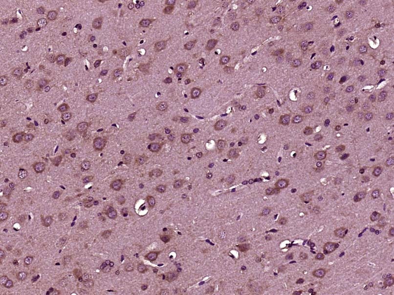
1. Paraformaldehyde-fixed, paraffin embedded (Rat brain); Antigen retrieval by boiling in sodium citrate buffer (pH6.0) for 15 min; Block endogenous peroxidase by 3% hydrogen peroxide for 20 min; Blocking buffer (normal goat serum) at 37°C for 30 min; Antibody incubation with (IGF 1) Polyclonal Antibody, Unconjugated (TMAB-00916) at 1:400 overnight at 4°C, followed by operating according to SP Kit (Rabbit) instructionsand DAB staining.
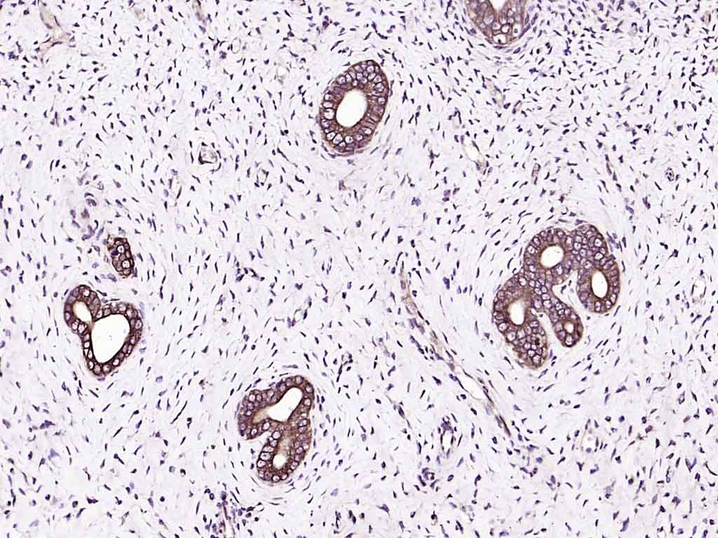
2. Paraformaldehyde-fixed, paraffin embedded (rat uterus); Antigen retrieval by boiling in sodium citrate buffer (pH6.0) for 15 min; Block endogenous peroxidase by 3% hydrogen peroxide for 20 min; Blocking buffer (normal goat serum) at 37°C for 30 min; Antibody incubation with (IGF 1) Polyclonal Antibody, Unconjugated (TMAB-00916) at 1:200 overnight at 4°C, followed by operating according to SP Kit (Rabbit) instructionsand DAB staining.
3. Paraformaldehyde-fixed, paraffin embedded (Mouse brain); Antigen retrieval by boiling in sodium citrate buffer (pH6.0) for 15 min; Block endogenous peroxidase by 3% hydrogen peroxide for 20 min; Blocking buffer (normal goat serum) at 37°C for 30 min; Antibody incubation with (IGF 1) Polyclonal Antibody, Unconjugated (TMAB-00916) at 1:400 overnight at 4°C, followed by operating according to SP Kit (Rabbit) instructionsand DAB staining.
4. 20 ng rhIGF-1 protein, Trx & His per Lane probed with IGF 1 polyclonal antibody respectively, unconjugated (TMAB-00916) at 1:1000 dilution and 4°C overnight incubation. Followed by corresponding conjugated secondary antibody incubation at RT for 60 min.
verifiedActivityverifiedActivityverifiedActivityverifiedActivity
应用IFIHC-FrIHC-PWB
推荐剂量
WB: 1:500-2000; IHC-P: 1:100-500; IHC-Fr: 1:100-500; IF: 1:100-500
抗体种类
Polyclonal
宿主来源Rabbit
亚细胞定位Secreted.
构建方式Polyclonal Antibody
纯化方式Protein A purified
性状Liquid
缓冲液0.01M TBS (pH7.4) with 1% BSA, 0.02% Proclin300 and 50% Glycerol.
浓度1 mg/mL
研究背景The protein encoded by this gene is similar to insulin in function and structure and is a member of a family of proteins involved in mediating growth and development. The encoded protein is processed from a precursor, bound by a specific receptor, and secreted. Defects in this gene are a cause of insulin-like growth factor I deficiency. Several transcript variants encoding different isoforms have been found for this gene.[provided by RefSeq, Mar 2009]
抗原信息
免疫原
KLH conjugated synthetic peptide: human IGF-1
抗原种属
Human
基因名称
IGF1
基因ID
蛋白名称
Insulin-like growth factor I
Uniprot ID
研究领域
Insulin and insulin-like,Aging,Growth hormones,Growth factors and hormones ELISA kits,Insulin / Insulin-like
功能
The insulin-like growth factors, isolated from plasma, are structurally and functionally related to insulin but have a much higher growth-promoting activity. May be a physiological regulator of [1-14C]-2-deoxy-D-glucose (2DG) transport and glycogen synthesis in osteoblasts. Stimulates glucose transport in rat bone-derived osteoblastic (PyMS) cells and is effective at much lower concentrations than insulin, not only regarding glycogen and DNA synthesis but also with regard to enhancing glucose uptake.
化学信息
分子量Theoretical: 7.7/21 kDa. Actual: 24 kDa.
储存&溶解度
储存方式Store at -20°C or -80°C for 12 months. Avoid repeated freeze-thaw cycles.
运输方式Shipping with blue ice.

计算器

  • 稀释 计算器
  • 配液 计算器

关键词

Related Tags: buy Anti-IGF1/IGF-I Polyclonal Antibody | purchase Anti-IGF1/IGF-I Polyclonal Antibody | Anti-IGF1/IGF-I Polyclonal Antibody cost | order Anti-IGF1/IGF-I Polyclonal Antibody | Anti-IGF1/IGF-I Polyclonal Antibody molecular weight