购物车
  • 全部删除
  • TargetMol
    您的购物车当前为空

Anti-IFNAR1 Antibody (1R657)

Rating icon 还可以
产品编号 TMAC-02087
别名 interferon (α, β and ω) receptor 1, interferon (α, β and Ω) receptor 1, interferon (alpha, beta and omega) receptor 1

Anti-IFNAR1 Antibody (1R657) 是一种 Rabbit 抗体,靶向 IFNAR1。Anti-IFNAR1 Antibody (1R657) 可用于 FCM,IHC,IP,WB。

Anti-IFNAR1 Antibody (1R657)

Anti-IFNAR1 Antibody (1R657)

一键复制产品信息
Rating icon 还可以
产品编号 TMAC-02087 别名 interferon (α, β and ω) receptor 1, interferon (α, β and Ω) receptor 1, interferon (alpha, beta and omega) receptor 1

Anti-IFNAR1 Antibody (1R657) 是一种 Rabbit 抗体,靶向 IFNAR1。Anti-IFNAR1 Antibody (1R657) 可用于 FCM,IHC,IP,WB。

规格价格库存数量
50 μL
¥ 1,490
5日内发货
100 μL
¥ 2,495
5日内发货
大包装 & 定制
加入购物车
TargetMol 的所有产品仅用作科学研究或药证申报,不能被用于人体,我们不向个人提供产品和服务。请您遵守承诺用途,不得违反法律法规规定用于任何其他用途。
实验操作小课堂
常见问题解答
查看更多
联系我们获取更多批次信息
资源下载

产品介绍

生物活性
产品描述
Anti-IFNAR1 Antibody (1R657) is a Rabbit antibody targeting IFNAR1. Anti-IFNAR1 Antibody (1R657) can be used in FCM,IHC,IP,WB.
别名interferon (α, β and ω) receptor 1, interferon (α, β and Ω) receptor 1, interferon (alpha, beta and omega) receptor 1
Ig Type
IgG
克隆号
1R657
交叉反应
Human,Mouse,Rat
验证活性
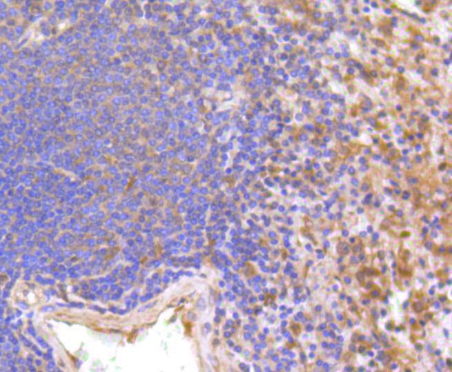
1. Immunohistochemical analysis of paraffin-embedded human tonsil tissue using anti-IFNAR1 antibody. Counter stained with hematoxylin.
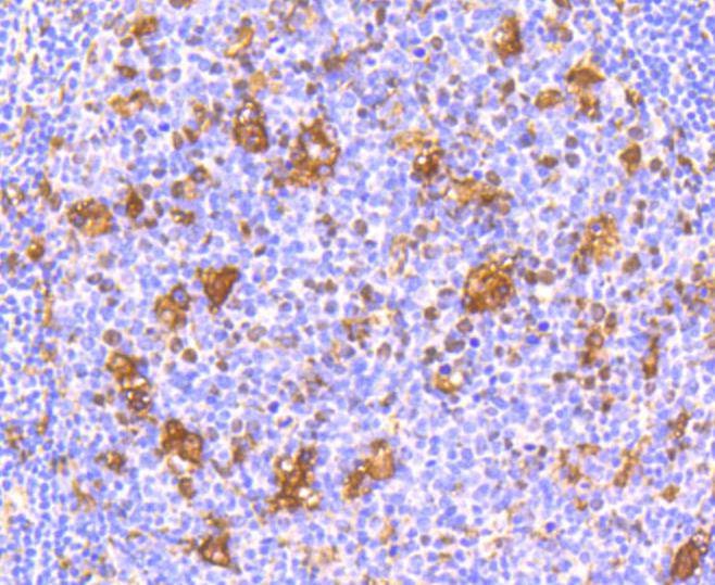
2. Immunohistochemical analysis of paraffin-embedded human spleen tissue using anti-IFNAR1 antibody. Counter stained with hematoxylin.
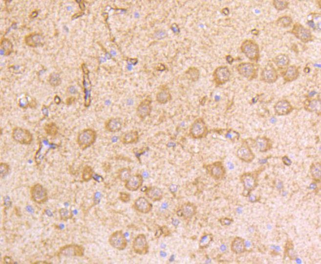
3. Immunohistochemical analysis of paraffin-embedded rat brain tissue using anti-IFNAR1 antibody. Counter stained with hematoxylin.
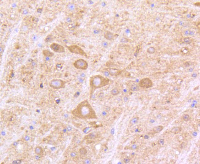
4. Immunohistochemical analysis of paraffin-embedded mouse brain tissue using anti-IFNAR1 antibody. Counter stained with hematoxylin.
5. Flow cytometric analysis of Jurkat cells with IFNAR1 antibody at 1/50 dilution (blue) compared with an unlabelled control (cells without incubation with primary antibody; red). Alexa Fluor 488-conjugated goat anti rabbit IgG was used as the secondary antibody.
verifiedActivityverifiedActivityverifiedActivityverifiedActivityverifiedActivity
应用FCMIHCIPWB
推荐剂量
WB: 1:1000-2000; IHC: 1:50-200; FCM: 1:50-100
抗体种类
Monoclonal
宿主来源Rabbit
构建方式Recombinant Antibody
纯化方式ProA affinity purified
性状Liquid
缓冲液1*TBS (pH7.4), 1%BSA, 40%Glycerol. Preservative: 0.05% Sodium Azide.
研究背景The type I interferons (IFNs), α and β, are a group of structurally and functionally related proteins that are induced by either viruses or double stranded RNA and defined by their ability to confer an antiviral state in cells. The α and β IFNs appear to compete with one another for binding to a common cell surface receptor, while immune IFN (IFNγ) binds to a distinct receptor. The latter protein, IFN-αR, is only weakly responsive to type I interferons in contrast to IFN-α/βR, which binds to and responds effectively to IFN-β and to several of the IFN-? subtypes. Moreover, IFN-α/βR is physically associated with the cytoplasmic tyrosine kinase JAK1 and thus, in addition to ligand binding, appears to be functionally involved in signal transduction. IFN-αR1 is a receptor for IFN-α/β and is present as the full chain (IFN-αR1a) and as a splice-variant (IFN-αR1). The IFN-γ receptor complex consists of an alpha subunit (IFN-γRα) and a beta subunit that is 332 amino acids in length (mouse) and 337 amino acids in length (human).
偶联与修饰
偶联
Unconjugated
抗原信息
免疫原
Recombinant Protein
Uniprot ID
化学信息
分子量Theoretical: 90/130 kDa.
存储&运输
储存方式Store at -20°C or -80°C for 12 months. Avoid repeated freeze-thaw cycles.
运输方式Shipping with blue ice.

计算器

  • 稀释 计算器

关键词

评论列表

4个月前
5.0
Rating icon 很棒

评论内容

Related Tags: buy Anti-IFNAR1 Antibody (1R657) | purchase Anti-IFNAR1 Antibody (1R657) | Anti-IFNAR1 Antibody (1R657) cost | order Anti-IFNAR1 Antibody (1R657) | Anti-IFNAR1 Antibody (1R657) molecular weight