购物车
  • TargetMol
    您的购物车当前为空

Anti-IDH2 Antibody (3T725)

Synonyms: Oxalosuccinate decarboxylase, NADP(+)-specific ICDH, mNADP-IDH, Isocitrate dehydrogenase 2 (NADP+), mitochondrial, Isocitrate dehydrogenase [NADP], mitochondrial, IDPM, IDP, IDHP_HUMAN, IDHM, IDH 2, IDH, ICD-M, D2HGA2
货号 TMAC-02085 一键复制产品信息
Rating icon 还可以

Anti-IDH2 Antibody (3T725) 是一种 Rabbit 抗体,靶向 IDH2。Anti-IDH2 Antibody (3T725) 可用于 FCM,IHC,WB。

Anti-IDH2 Antibody (3T725)

一键复制产品信息
Rating icon 还可以
货号 TMAC-02085

别名 Oxalosuccinate decarboxylase, NADP(+)-specific ICDH, mNADP-IDH, Isocitrate dehydrogenase 2 (NADP+), mitochondrial, Isocitrate dehydrogenase [NADP], mitochondrial, IDPM, IDP, IDHP_HUMAN, IDHM, IDH 2, IDH, ICD-M, D2HGA2

Anti-IDH2 Antibody (3T725) 是一种 Rabbit 抗体,靶向 IDH2。Anti-IDH2 Antibody (3T725) 可用于 FCM,IHC,WB。

Anti-IDH2 Antibody (3T725)
规格价格库存数量
50 μL
¥ 1,485
5日内发货
100 μL
¥ 2,495
5日内发货
库存状态实时更新,以官网显示为准,现货产品可直接加购物车下单
大包装 & 定制
加入购物车

TargetMol的所有产品仅用作科学研究或药证申报,不能被用于人体,我们不向个人提供产品和服务。请您遵守承诺用途,不得违反法律法规规定用于任何其他用途。

实验操作小课堂
常见问题解答
查看更多

资源下载:产品操作手册

产品介绍


生物活性
产品描述
Anti-IDH2 Antibody (3T725) is a Rabbit antibody targeting IDH2. Anti-IDH2 Antibody (3T725) can be used in FCM,IHC,WB.
别名
Oxalosuccinate decarboxylase, NADP(+)-specific ICDH, mNADP-IDH, Isocitrate dehydrogenase 2 (NADP+), mitochondrial, Isocitrate dehydrogenase [NADP], mitochondrial, IDPM, IDP, IDHP_HUMAN, IDHM, IDH 2, IDH, ICD-M, D2HGA2
Ig Type
IgG
克隆号
3T725
反应种属
Human,Mouse,Rat
验证活性
1. Western blot analysis of IDH2 on different cell lysate using anti-IDH2 antibody at 1/1,000 dilution. Positive control: Line 1: Mouse heart, Line 2: Rat heart, Line 3: 293T.
2. Immunohistochemical analysis of paraffin-embedded human liver tissue using anti-IDH2 antibody. Counter stained with hematoxylin.
3. Immunohistochemical analysis of paraffin-embedded human tonsil tissue using anti-IDH2 antibody. Counter stained with hematoxylin.
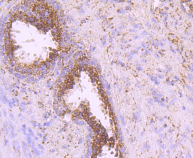
4. Immunohistochemical analysis of paraffin-embedded human prostate tissue using anti-IDH2 antibody. Counter stained with hematoxylin.
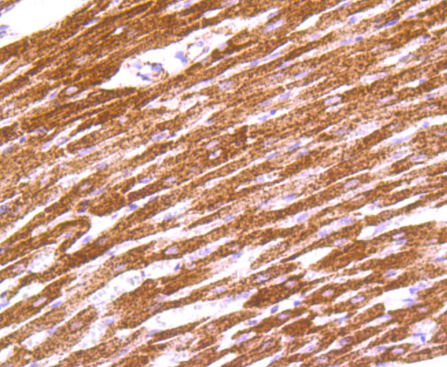
5. Immunohistochemical analysis of paraffin-embedded rat heart tissue using anti-IDH2 antibody. Counter stained with hematoxylin.
6. Immunohistochemical analysis of paraffin-embedded mouse heart tissue using anti-IDH2 antibody. Counter stained with hematoxylin.
7. Flow cytometric analysis of MCF-7 cells with IDH2 antibody at 1/100 dilution (red) compared with an unlabelled control (cells without incubation with primary antibody; black).
verifiedActivityverifiedActivityverifiedActivityverifiedActivityverifiedActivityverifiedActivityverifiedActivity
应用FCMIHCWB
推荐剂量
WB: 1:500-2000; IHC: 1:50-200; FCM: 1:50-100
抗体种类
Monoclonal
宿主来源Rabbit
构建方式Recombinant Antibody
纯化方式ProA affinity purified
性状Liquid
缓冲液1*TBS (pH7.4), 1%BSA, 40%Glycerol. Preservative: 0.05% Sodium Azide.
研究背景IDH2 (isocitrate dehydrogenase 2 (NADP+), mitochondrial), also designated NADP+-specific ICDH; isocitrate dehydrogenase, mitochondrial; and oxalosuccinate decarboxylase, is a 452 amino acid enzyme encoded by the human gene IDH2. IDH2 belongs to the isocitrate and isopropylmalate dehydrogenases family and contains two nucleotide binding regions. IDH2 is involved in the reduction of NADP+ to NADPH and maintains the supply of glutathione (GSH) in mitochondria. It is believed to play a role in intermediary metabolism and energy production. IDH2 also tightly associates with the pyruvate dehydrogenase complex. IDH2 is found in the mitochondrion as a homodimer and can bind one magnesium or manganese ion per subunit.
偶联与修饰
偶联
Unconjugated
抗原信息
免疫原
Recombinant Protein
Uniprot ID
化学信息
分子量Theoretical: 45 kDa.
储存&溶解度
储存方式Store at -20°C or -80°C for 12 months. Avoid repeated freeze-thaw cycles.
运输方式Shipping with blue ice.

计算器

  • 稀释 计算器
  • 配液 计算器
Related Tags: buy Anti-IDH2 Antibody (3T725) | purchase Anti-IDH2 Antibody (3T725) | Anti-IDH2 Antibody (3T725) cost | order Anti-IDH2 Antibody (3T725) | Anti-IDH2 Antibody (3T725) molecular weight