购物车
  • 全部删除
  • TargetMol
    您的购物车当前为空

Anti-HSP90AB1 Antibody (4Y129)

Rating icon 还可以
产品编号 TMAC-02050
别名 HSP84)

Anti-HSP90AB1 Antibody (4Y129) 是一种 Rabbit 抗体,靶向 HSP90AB1。Anti-HSP90AB1 Antibody (4Y129) 可用于 FCM,ICC/IF,IHC,IP,WB。

Anti-HSP90AB1 Antibody (4Y129)

Anti-HSP90AB1 Antibody (4Y129)

一键复制产品信息
Rating icon 还可以
产品编号 TMAC-02050 别名 HSP84)

Anti-HSP90AB1 Antibody (4Y129) 是一种 Rabbit 抗体,靶向 HSP90AB1。Anti-HSP90AB1 Antibody (4Y129) 可用于 FCM,ICC/IF,IHC,IP,WB。

规格价格库存数量
50 μL
¥ 1,495
5日内发货
100 μL
¥ 2,495
5日内发货
大包装 & 定制
加入购物车
TargetMol 的所有产品仅用作科学研究或药证申报,不能被用于人体,我们不向个人提供产品和服务。请您遵守承诺用途,不得违反法律法规规定用于任何其他用途。
实验操作小课堂
常见问题解答
查看更多
联系我们获取更多批次信息
资源下载

产品介绍

生物活性
产品描述
Anti-HSP90AB1 Antibody (4Y129) is a Rabbit antibody targeting HSP90AB1. Anti-HSP90AB1 Antibody (4Y129) can be used in FCM,ICC/IF,IHC,IP,WB.
别名HSP84)
Ig Type
IgG
克隆号
4Y129
交叉反应
Human,Mouse,Rat
验证活性
1. Western blot analysis of Hsp90 beta on different lysates using anti-Hsp90 beta antibody at 1/1,000 dilution. Positive control: Lane 1: Hela, Lane 2: K562.
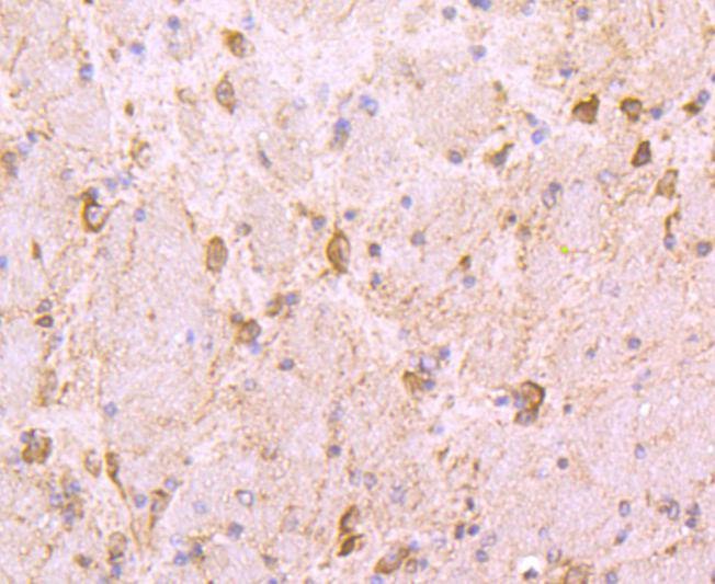
2. Immunohistochemical analysis of paraffin-embedded mouse brain tissue using anti-Hsp90 beta antibody. Counter stained with hematoxylin.
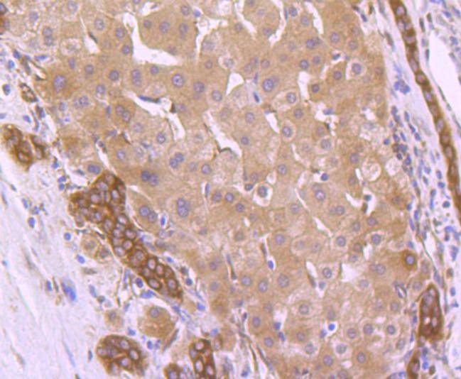
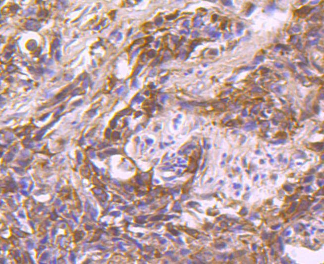
3. Immunohistochemical analysis of paraffin-embedded human liver cancer tissue using anti-Hsp90 beta antibody. Counter stained with hematoxylin.
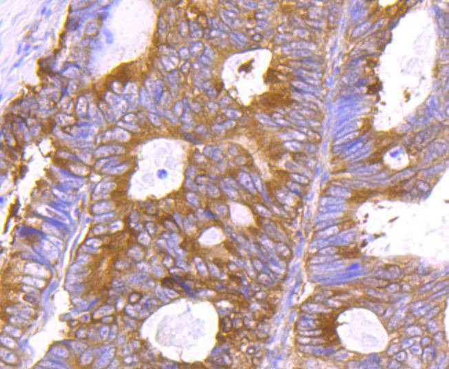
4. Immunohistochemical analysis of paraffin-embedded human colon cancer tissue using anti-Hsp90 beta antibody. Counter stained with hematoxylin.
5. Immunohistochemical analysis of paraffin-embedded human breast carcinoma tissue using anti-Hsp90 beta antibody. Counter stained with hematoxylin.
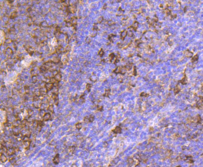
6. Immunohistochemical analysis of paraffin-embedded human tonsil tissue using anti-Hsp90 beta antibody. Counter stained with hematoxylin.
7. ICC staining Hsp90 beta in Hela cells (green). The nuclear counter stain is DAPI (blue). Cells were fixed in paraformaldehyde, permeabilised with 0.25% Triton X100/PBS.
8. ICC staining Hsp90 beta in HepG2 cells (green). The nuclear counter stain is DAPI (blue). Cells were fixed in paraformaldehyde, permeabilised with 0.25% Triton X100/PBS.
9. ICC staining Hsp90 beta in NIH/3T3 cells (green). The nuclear counter stain is DAPI (blue). Cells were fixed in paraformaldehyde, permeabilised with 0.25% Triton X100/PBS.
10. Flow cytometric analysis of Jurkat cells with Hsp90 beta antibody at 1/50 dilution (red) compared with an unlabelled control (cells without incubation with primary antibody; black). Alexa Fluor 488-conjugated goat anti rabbit IgG was used as the secondary antibody.
verifiedActivityverifiedActivityverifiedActivityverifiedActivityverifiedActivityverifiedActivityverifiedActivityverifiedActivityverifiedActivityverifiedActivity
应用FCMICC/IFIHCIPWB
推荐剂量
WB: 1:1000-2000; IHC: 1:50-200; ICC/IF: 1:100-500; FCM: 1:50-100
抗体种类
Monoclonal
宿主来源Rabbit
构建方式Recombinant Antibody
纯化方式ProA affinity purified
性状Liquid
缓冲液1*TBS (pH7.4), 1%BSA, 40%Glycerol. Preservative: 0.05% Sodium Azide.
研究背景The heat shock response was first described for Drosophila salivary gland cells and morphologically consists of a change in their polytene chromosome puffing patterns that involves de novo synthesis of a few proteins. Similar heat shock proteins were later discovered in bacterial chicken and mammalian cells, and have been subsequently studied in other organisms. A series of proteins including HSP 90, HSP 70, HSP 20-30 and ubiquitin are induced by insults such as temperature shock, chemicals and other environmental stress. A major function of HSP 90 and other HSPs is to act as molecular chaperones. HSP 90 forms a complex with glucocorticoid receptor (GR), rendering the non ligand-bound receptor transcriptionally inactive. HSP 90 binds the GR as a heterocomplex composed of either HSP 56 or Cyclophilin D, forming an aporeceptor comiplex. HSP 90 also exists as a dimer with other proteins such as p60/sti1 and p23, forming an apo-receptor complex with estrogen and androgen receptors.
偶联与修饰
偶联
Unconjugated
抗原信息
免疫原
Recombinant Protein
Uniprot ID
化学信息
分子量Theoretical: 83 kDa.
存储&运输
储存方式Store at -20°C or -80°C for 12 months. Avoid repeated freeze-thaw cycles.
运输方式Shipping with blue ice.

计算器

  • 稀释 计算器

关键词

评论列表

4个月前
5.0
Rating icon 很棒

评论内容

Related Tags: buy Anti-HSP90AB1 Antibody (4Y129) | purchase Anti-HSP90AB1 Antibody (4Y129) | Anti-HSP90AB1 Antibody (4Y129) cost | order Anti-HSP90AB1 Antibody (4Y129) | Anti-HSP90AB1 Antibody (4Y129) molecular weight