购物车
  • TargetMol
    您的购物车当前为空

Anti-HNRNPA1 Antibody (4Q19)

Synonyms: Single-strand RNA-binding protein, HNRPA1, HNRNPA1, hnRNP core protein A1, hnRNP A1, Heterogeneous nuclear ribonucleoprotein A1, Helix-destabilizing protein
货号 TMAC-01991 一键复制产品信息
Rating icon 还可以

Anti-HNRNPA1 Antibody (4Q19) 是一种 Rabbit 抗体,靶向 HNRNPA1。Anti-HNRNPA1 Antibody (4Q19) 可用于 FCM,ICC,IHC,WB。

Anti-HNRNPA1 Antibody (4Q19)

一键复制产品信息
Rating icon 还可以
货号 TMAC-01991

别名 Single-strand RNA-binding protein, HNRPA1, HNRNPA1, hnRNP core protein A1, hnRNP A1, Heterogeneous nuclear ribonucleoprotein A1, Helix-destabilizing protein

Anti-HNRNPA1 Antibody (4Q19) 是一种 Rabbit 抗体,靶向 HNRNPA1。Anti-HNRNPA1 Antibody (4Q19) 可用于 FCM,ICC,IHC,WB。

Anti-HNRNPA1 Antibody (4Q19)
规格价格库存数量
50 μL
¥ 1,490
5日内发货
100 μL
¥ 2,495
5日内发货
库存状态实时更新,以官网显示为准,现货产品可直接加购物车下单
大包装 & 定制
加入购物车

TargetMol的所有产品仅用作科学研究或药证申报,不能被用于人体,我们不向个人提供产品和服务。请您遵守承诺用途,不得违反法律法规规定用于任何其他用途。

实验操作小课堂
常见问题解答
查看更多

资源下载:产品操作手册

产品介绍


生物活性
产品描述
Anti-HNRNPA1 Antibody (4Q19) is a Rabbit antibody targeting HNRNPA1. Anti-HNRNPA1 Antibody (4Q19) can be used in FCM,ICC,IHC,WB.
别名
Single-strand RNA-binding protein, HNRPA1, HNRNPA1, hnRNP core protein A1, hnRNP A1, Heterogeneous nuclear ribonucleoprotein A1, Helix-destabilizing protein
Ig Type
IgG
克隆号
4Q19
反应种属
Human,Mouse,Rat
验证活性
1. Western blot analysis of hnRNP A1 on HepG2 (1) and PC-12 (2) cell using anti-hnRNP A1 antibody at 1/1,000 dilution.
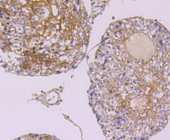
2. Immunohistochemical analysis of paraffin-embedded rat testis tissue using anti-hnRNP A1 antibody. Counter stained with hematoxylin.
3. ICC staining hnRNP A1 in MCF-7 cells (green). The nuclear counter stain is DAPI (blue). Cells were fixed in paraformaldehyde, permeabilised with 0.25% Triton X100/PBS.
4. ICC staining hnRNP A1 in Hela cells (green). The nuclear counter stain is DAPI (blue). Cells were fixed in paraformaldehyde, permeabilised with 0.25% Triton X100/PBS.
5. ICC staining hnRNP A1 in HepG2 cells (green). The nuclear counter stain is DAPI (blue). Cells were fixed in paraformaldehyde, permeabilised with 0.25% Triton X100/PBS.
6. Flow cytometric analysis of Jurkat cells with hnRNP A1 antibody at 1/100 dilution (red) compared with an unlabelled control (cells without incubation with primary antibody; black).
verifiedActivityverifiedActivityverifiedActivityverifiedActivityverifiedActivityverifiedActivity
应用FCMICCIHCWB
推荐剂量
WB: 1:500-2000; ICC: 1:50-200
抗体种类
Monoclonal
宿主来源Rabbit
构建方式Recombinant Antibody
纯化方式ProA affinity purified
性状Liquid
缓冲液1*TBS (pH7.4), 1%BSA, 40%Glycerol. Preservative: 0.05% Sodium Azide.
研究背景Heterogeneous nuclear ribonucleoproteins (hnRNPs) constitute a set of poly-peptides that contribute to mRNA transcription and pre-mRNA processing as well as mature mRNA transport to the cytoplasm and translation. They also bind heterogeneous nuclear RNA (hnRNA), which are the transcripts produced by RNA polymerase II. There are approximately 20 known hnRNP proteins, and their complexes are the major constituents of the spliceosome. The majority of hnRNP protein components are localized to the nucleus; however some shuttle between the nucleus and the cytoplasm. The A/B subfamily of hnRNPs include A1, A2/B1, A3 and A0, and in Xenopus, hnRNP A1, A2 and A3 are ubiquitously expressed throughout development as well as in adult tissues. hnRNP A1 and A2/B1 regulate the processing of pre-mRNA by directly antagonizing the association of various splicing factors and by influencing the splice site selection on pre-mRNA. The hnRNP A0 gene is distinct from the other A/B family members, and it encodes a low-abundance protein, which is implicated in mRNA stability.
偶联与修饰
偶联
Unconjugated
抗原信息
免疫原
Recombinant Protein
Uniprot ID
化学信息
分子量Theoretical: 33 kDa.
储存&溶解度
储存方式Store at -20°C or -80°C for 12 months. Avoid repeated freeze-thaw cycles.
运输方式Shipping with blue ice.

计算器

  • 稀释 计算器
  • 配液 计算器
Related Tags: buy Anti-HNRNPA1 Antibody (4Q19) | purchase Anti-HNRNPA1 Antibody (4Q19) | Anti-HNRNPA1 Antibody (4Q19) cost | order Anti-HNRNPA1 Antibody (4Q19) | Anti-HNRNPA1 Antibody (4Q19) molecular weight