购物车
  • 全部删除
  • TargetMol
    您的购物车当前为空

Anti-HMGB1 Antibody (5H227)

Rating icon 还可以
产品编号 TMAC-01981
别名 SBP-1, HMGB1, HMG3, HMG-1, HMG1

Anti-HMGB1 Antibody (5H227) 是一种 Rabbit 抗体,靶向 HMGB1。Anti-HMGB1 Antibody (5H227) 可用于 FCM,ICC/IF,IHC,WB。

Anti-HMGB1 Antibody (5H227)

Anti-HMGB1 Antibody (5H227)

一键复制产品信息
Rating icon 还可以
产品编号 TMAC-01981 别名 SBP-1, HMGB1, HMG3, HMG-1, HMG1

Anti-HMGB1 Antibody (5H227) 是一种 Rabbit 抗体,靶向 HMGB1。Anti-HMGB1 Antibody (5H227) 可用于 FCM,ICC/IF,IHC,WB。

规格价格库存数量
50 μL
¥ 1,480
5日内发货
100 μL
¥ 2,495
5日内发货
大包装 & 定制
加入购物车
TargetMol 的所有产品仅用作科学研究或药证申报,不能被用于人体,我们不向个人提供产品和服务。请您遵守承诺用途,不得违反法律法规规定用于任何其他用途。
实验操作小课堂
常见问题解答
查看更多
联系我们获取更多批次信息
资源下载

产品介绍

生物活性
产品描述
Anti-HMGB1 Antibody (5H227) is a Rabbit antibody targeting HMGB1. Anti-HMGB1 Antibody (5H227) can be used in FCM,ICC/IF,IHC,WB.
别名SBP-1, HMGB1, HMG3, HMG-1, HMG1
Ig Type
IgG
克隆号
5H227
交叉反应
Human,Mouse,Rat
验证活性
1. Western blot analysis of HMGB1 on different cell lysates using anti-HMGB1 antibody at 1/1,000 dilution. Positive control: Lane 1: MCF-7, Lane 2: PC12, Lane 3: F9.
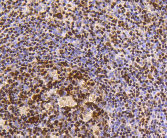
2. Immunohistochemical analysis of paraffin-embedded human tonsil tissue using anti-HMGB1 antibody. Counter stained with hematoxylin.
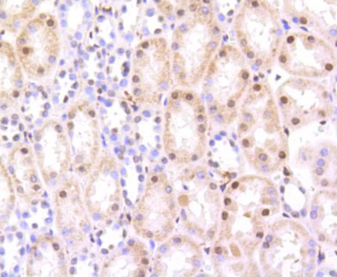
3. Immunohistochemical analysis of paraffin-embedded human kidney tissue using anti-HMGB1 antibody. Counter stained with hematoxylin.
4. Immunohistochemical analysis of paraffin-embedded mouse brain tissue using anti-HMGB1 antibody. Counter stained with hematoxylin.
5. Immunohistochemical analysis of paraffin-embedded mouse kidney tissue using anti-HMGB1 antibody. Counter stained with hematoxylin.
6. ICC staining HMGB1 in NIH/3T3 cells (green). The nuclear counter stain is DAPI (blue). Cells were fixed in paraformaldehyde, permeabilised with 0.25% Triton X100/PBS.
7. ICC staining HMGB1 in MCF-7 cells (green). The nuclear counter stain is DAPI (blue). Cells were fixed in paraformaldehyde, permeabilised with 0.25% Triton X100/PBS.
8. Flow cytometric analysis of PC-12 cells with HMGB1 antibody at 1/50 dilution (blue) compared with an unlabelled control (cells without incubation with primary antibody; red). Alexa Fluor 488-conjugated goat anti-rabbit IgG was used as the secondary antibody.
verifiedActivityverifiedActivityverifiedActivityverifiedActivityverifiedActivityverifiedActivityverifiedActivityverifiedActivity
应用FCMICC/IFIHCWB
推荐剂量
WB: 1:1000-5000; IHC: 1:50-200; ICC/IF: 1:50-200; FCM: 1:10-100
抗体种类
Monoclonal
宿主来源Rabbit
构建方式Recombinant Antibody
纯化方式ProA affinity purified
性状Liquid
缓冲液1*TBS (pH7.4), 1%BSA, 40%Glycerol. Preservative: 0.05% Sodium Azide.
研究背景Like the histones, HMGB1, also known as high-mobility group protein 1 (HMG-1) is among the most important chromatin proteins. In the nucleus HMGB1 interacts with nucleosomes, transcription factors, and histones. This nuclear protein organizes the DNA and regulates transcription. After binding, HMGB1 bends DNA, which facilitates the binding of other proteins. HMGB1 is secreted by immune cells (like macrophages, monocytes and dendritic cells) through leaderless secretory pathway. Activated macrophages and monocytes secrete HMGB1 as a cytokine mediator of Inflammation. In recent research, HMGB1 has been reported as a novel biomarker for human ovarian cancer
偶联与修饰
偶联
Unconjugated
抗原信息
免疫原
Recombinant Protein
Uniprot ID
化学信息
分子量Theoretical: 25 kDa.
存储&运输
储存方式Store at -20°C or -80°C for 12 months. Avoid repeated freeze-thaw cycles.
运输方式Shipping with blue ice.

计算器

  • 稀释 计算器

关键词

评论列表

4个月前
5.0
Rating icon 很棒

评论内容

Related Tags: buy Anti-HMGB1 Antibody (5H227) | purchase Anti-HMGB1 Antibody (5H227) | Anti-HMGB1 Antibody (5H227) cost | order Anti-HMGB1 Antibody (5H227) | Anti-HMGB1 Antibody (5H227) molecular weight