购物车
  • 全部删除
  • TargetMol
    您的购物车当前为空

Anti-GRM5 Antibody (8K741)

Rating icon 还可以
产品编号 TMAC-02573
别名 mGluR5, MGLUR5, Metabotropic glutamate receptor 5, GRM5, GPRC1E

Anti-GRM5 Antibody (8K741) 是一种 Rabbit 抗体,靶向 GRM5。Anti-GRM5 Antibody (8K741) 可用于 FCM,ICC/IF,IHC,IP,WB。

Anti-GRM5 Antibody (8K741)

Anti-GRM5 Antibody (8K741)

一键复制产品信息
Rating icon 还可以
产品编号 TMAC-02573 别名 mGluR5, MGLUR5, Metabotropic glutamate receptor 5, GRM5, GPRC1E

Anti-GRM5 Antibody (8K741) 是一种 Rabbit 抗体,靶向 GRM5。Anti-GRM5 Antibody (8K741) 可用于 FCM,ICC/IF,IHC,IP,WB。

规格价格库存数量
50 μL
¥ 1,480
5日内发货
100 μL
¥ 2,490
5日内发货
大包装 & 定制
加入购物车
TargetMol 的所有产品仅用作科学研究或药证申报,不能被用于人体,我们不向个人提供产品和服务。请您遵守承诺用途,不得违反法律法规规定用于任何其他用途。
实验操作小课堂
常见问题解答
查看更多
联系我们获取更多批次信息
资源下载

产品介绍

生物活性
产品描述
Anti-GRM5 Antibody (8K741) is a Rabbit antibody targeting GRM5. Anti-GRM5 Antibody (8K741) can be used in FCM,ICC/IF,IHC,IP,WB.
别名mGluR5, MGLUR5, Metabotropic glutamate receptor 5, GRM5, GPRC1E
Ig Type
IgG
克隆号
8K741
交叉反应
Human,Mouse,Rat
验证活性
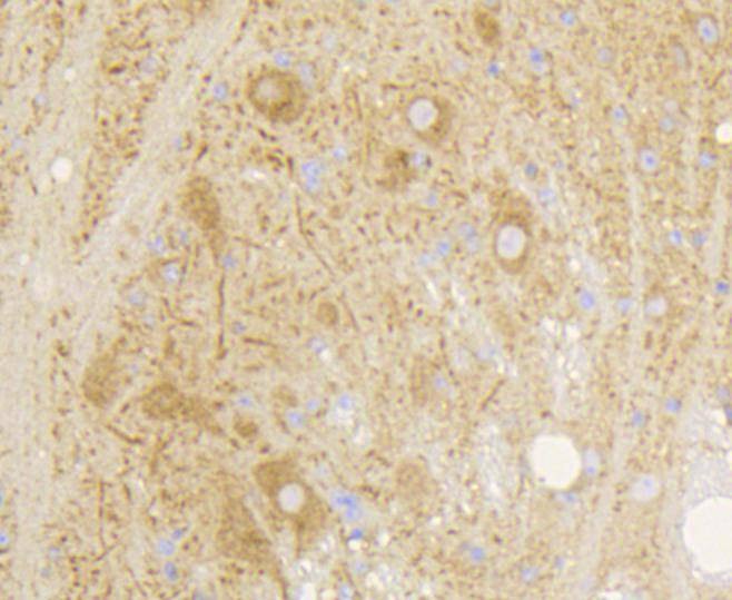
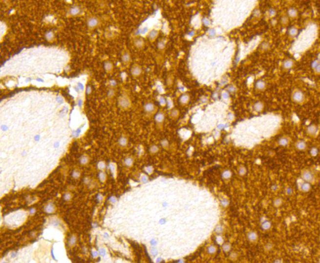
1. Immunohistochemical analysis of paraffin-embedded rat brain tissue using anti-GRM5 antibody. Counter stained with hematoxylin.
2. Immunohistochemical analysis of paraffin-embedded mouse brain tissue using anti-GRM5 antibody. Counter stained with hematoxylin.
3. ICC staining GRM5 in JAR cells (green). The nuclear counter stain is DAPI (blue). Cells were fixed in paraformaldehyde, permeabilised with 0.25% Triton X100/PBS.
4. ICC staining GRM5 in PC12 cells (green). The nuclear counter stain is DAPI (blue). Cells were fixed in paraformaldehyde, permeabilised with 0.25% Triton X100/PBS.
5. ICC staining GRM5 in SHG-44 cells (green). The nuclear counter stain is DAPI (blue). Cells were fixed in paraformaldehyde, permeabilised with 0.25% Triton X100/PBS.
6. Flow cytometric analysis of SH-SY-5Y cells with GRM5 antibody at 1/50 dilution (blue) compared with an unlabelled control (cells without incubation with primary antibody; red). Alexa Fluor 488-conjugated goat anti rabbit IgG was used as the secondary antibody.
verifiedActivityverifiedActivityverifiedActivityverifiedActivityverifiedActivityverifiedActivity
应用FCMICC/IFIHCIPWB
推荐剂量
WB: 1:1000-2000; IHC: 1:200-500; ICC/IF: 1:50-200; FCM: 1:50-100
抗体种类
Monoclonal
宿主来源Rabbit
构建方式Recombinant Antibody
纯化方式ProA affinity purified
性状Liquid
缓冲液1*TBS (pH7.4), 1%BSA, 40%Glycerol. Preservative: 0.05% Sodium Azide.
研究背景The mGluR proteins (metabotropic Glutamate Receptors) are members of the G protein-coupled receptor family and are functionally and pharmacologically distinct from the GluR proteins (ionotropic Glutamate Receptors). The eight currently known mGluR proteins are mediated by two G proteins with opposing regulation of adenylate cyclase pathways. The activities of mGluR1 and mGluR5 are mediated by a G protein that activates a phosphatidylinositol-calcium second messenger system and generates a calcium-activated chloride current. The remainder of the eight sub-types of mGluR have an activity mediated by a G protein that inhibits adenylate cyclase activity. mGluR-5, which can interact with SIAH-1, RyR-1, RyR-2, ITPR1, Shank 1, Shank 3 and GRASP, acts as a receptor for glutamate. The PPXXf motif of mGluR-5 binds to HOM1, HOM2 and HOM3.
偶联与修饰
偶联
Unconjugated
抗原信息
免疫原
Recombinant Protein
Uniprot ID
化学信息
分子量Theoretical: 132 kDa.
存储&运输
储存方式Store at -20°C or -80°C for 12 months. Avoid repeated freeze-thaw cycles.
运输方式Shipping with blue ice.

计算器

  • 稀释 计算器

关键词

评论列表

4个月前
5.0
Rating icon 很棒

评论内容

Related Tags: buy Anti-GRM5 Antibody (8K741) | purchase Anti-GRM5 Antibody (8K741) | Anti-GRM5 Antibody (8K741) cost | order Anti-GRM5 Antibody (8K741) | Anti-GRM5 Antibody (8K741) molecular weight