购物车
  • TargetMol
    您的购物车当前为空

Anti-G6PC Polyclonal Antibody

Synonyms: Glucose-6-phosphatase catalytic subunit 1, Glucose-6-phosphatase alpha (G6Pase-alpha), Glucose-6-phosphatase (G-6-Pase;G6Pase), G6PT, G6PC1, G6PC
货号 TMAB-00724 一键复制产品信息
Rating icon 还可以

Anti-G6PC Polyclonal Antibody 是一种 Rabbit 抗体,靶向 G6PC。Anti-G6PC Polyclonal Antibody 可用于 FCM, IF, IHC-Fr, IHC-P, WB。

Anti-G6PC Polyclonal Antibody

一键复制产品信息
Rating icon 还可以
货号 TMAB-00724

别名 Glucose-6-phosphatase catalytic subunit 1, Glucose-6-phosphatase alpha (G6Pase-alpha), Glucose-6-phosphatase (G-6-Pase;G6Pase), G6PT, G6PC1, G6PC

Anti-G6PC Polyclonal Antibody 是一种 Rabbit 抗体,靶向 G6PC。Anti-G6PC Polyclonal Antibody 可用于 FCM, IF, IHC-Fr, IHC-P, WB。

Anti-G6PC Polyclonal Antibody
规格价格库存数量
50 μL
¥ 1,160
5日内发货
100 μL
¥ 1,965
5日内发货
200 μL
¥ 2,795
5日内发货
库存状态实时更新,以官网显示为准,现货产品可直接加购物车下单
大包装 & 定制
加入购物车
TargetMol的所有产品仅用作科学研究或药证申报,不能被用于人体,我们不向个人提供产品和服务。请您遵守承诺用途,不得违反法律法规规定用于任何其他用途。
实验操作小课堂
常见问题解答
查看更多

资源下载:产品操作手册

产品介绍


生物活性
产品描述
Anti-G6PC Polyclonal Antibody is a Rabbit antibody targeting G6PC. Anti-G6PC Polyclonal Antibody can be used in FCM, IF, IHC-Fr, IHC-P, WB.
别名Glucose-6-phosphatase catalytic subunit 1, Glucose-6-phosphatase alpha (G6Pase-alpha), Glucose-6-phosphatase (G-6-Pase;G6Pase), G6PT, G6PC1, G6PC
Ig Type
IgG
反应种属
Human (predicted:Mouse,Rat,Dog,Pig,Cow,Rabbit,Sheep)
验证活性
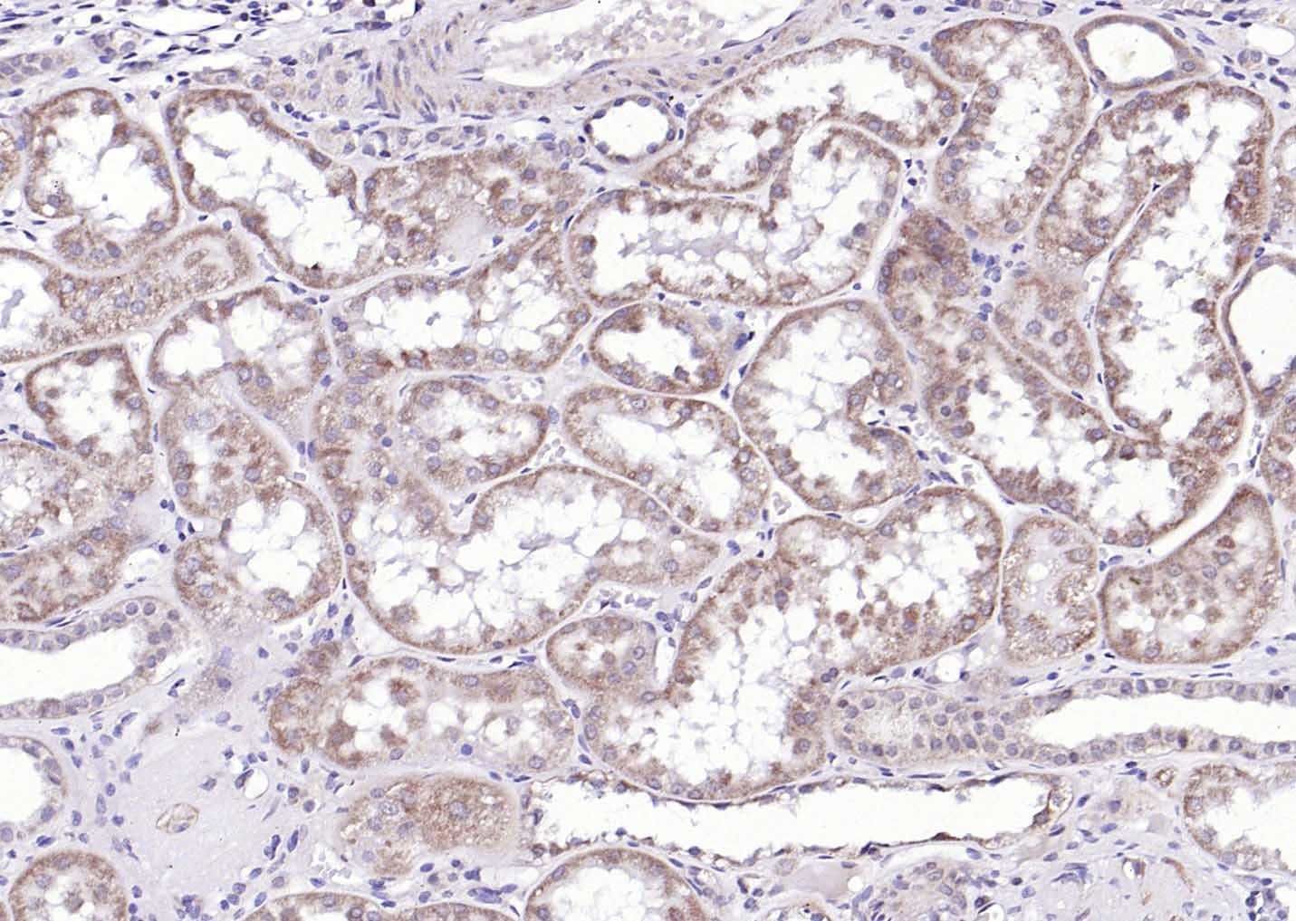
1. Paraformaldehyde-fixed, paraffin embedded (Human kidney); Antigen retrieval by boiling in sodium citrate buffer (pH6.0) for 15 min; Block endogenous peroxidase by 3% hydrogen peroxide for 20 min; Blocking buffer (normal goat serum) at 37°C for 30 min; Antibody incubation with (Glucose 6 phosphatase alpha) Polyclonal Antibody, Unconjugated (TMAB-00724) at 1:200 overnight at 4°C, followed by operating according to SP Kit (Rabbit) instructionsand DAB staining.
2. U-937 cells were incubated in 5% BSA blocking buffer for 30 min at room temperature. Cells were then stained with TMAB-00724 Antibody at 1:500 dilution in blocking buffer and incubated for 30 min at room temperature, washed twice with 2% BSA in PBS, followed by secondary antibody incubation for 40 min at room temperature. Acquisitions of 20,000 events were performed. Cells stained with primary antibody (green), and isotype control (orange).
3. Sample:
Lane 1: Human Hela cell lysates
Lane 2: Human U937cell lysates
Lane 3: Human HL-60 cell lysates
Lane 4: Human HepG2 cell lysates
Lane 5: Human SH-SY5Y cell lysates
Primary: Anti-Glucose 6 phosphatase alpha (TMAB-00724) at 1/1000 dilution
Secondary: IRDye800CW Goat Anti-Rabbit IgG at 1/20000 dilution
Predicted band size: 39 kDa
Observed band size: 35 kDa
verifiedActivityverifiedActivityverifiedActivity
应用FCMIFIHC-FrIHC-PWB
推荐剂量
WB: 1:500-2000; IHC-P: 1:100-500; IHC-Fr: 1:100-500; IF: 1:100-500; FCM: 0.2ug/test
抗体种类
Polyclonal
宿主来源Rabbit
亚细胞定位Endoplasmic reticulum membrane; Multi-pass membrane protein.
构建方式Polyclonal Antibody
纯化方式Protein A purified
性状Liquid
缓冲液0.01M TBS (pH7.4) with 1% BSA, 0.02% Proclin300 and 50% Glycerol.
浓度1 mg/mL
研究背景Glucose-6-phosphatase (G6Pase) is a multi-subunit integral membrane protein of the endoplasmic reticulum that is composed of a catalytic subunit and transporters for G6P, inorganic phosphate, and glucose. This gene (G6PC) is one of the three glucose-6-phosphatase catalytic-subunit-encoding genes in human: G6PC, G6PC2 and G6PC3. Glucose-6-phosphatase catalyzes the hydrolysis of D-glucose 6-phosphate to D-glucose and orthophosphate and is a key enzyme in glucose homeostasis, functioning in gluconeogenesis and glycogenolysis. Mutations in this gene cause glycogen storage disease type I (GSD1). This disease, also known as von Gierke disease, is a metabolic disorder characterized by severe hypoglycemia associated with the accumulation of glycogen and fat in the liver and kidneys.[provided by RefSeq, Feb 2011]
抗原信息
免疫原
KLH conjugated synthetic peptide: human Glucose 6 phosphatase alpha
抗原种属
Human
基因名称
G6PC
基因ID
蛋白名称
Glucose-6-phosphatase
Uniprot ID
研究领域
Metabolism of carbohydrates,Other Antibodies,Carbohydrate metabolism,Cancer
功能
Hydrolyzes glucose-6-phosphate to glucose in the endoplasmic reticulum. Forms with the glucose-6-phosphate transporter (SLC37A4/G6PT) the complex responsible for glucose production through glycogenolysis and gluconeogenesis. Hence, it is the key enzyme in homeostatic regulation of blood glucose levels.
化学信息
分子量Theoretical: 39 kDa. Actual: 35 kDa.
储存&溶解度
储存方式Store at -20°C or -80°C for 12 months. Avoid repeated freeze-thaw cycles.
运输方式Shipping with blue ice.

计算器

  • 稀释 计算器
  • 配液 计算器
Related Tags: buy Anti-G6PC Polyclonal Antibody | purchase Anti-G6PC Polyclonal Antibody | Anti-G6PC Polyclonal Antibody cost | order Anti-G6PC Polyclonal Antibody | Anti-G6PC Polyclonal Antibody molecular weight