购物车
  • TargetMol
    您的购物车当前为空

Anti-FUBP1 Antibody (1H129)

Synonyms: hDH V, FUSE-binding protein 1, FUBP 1, FBP, Far upstream element-binding protein 1, DNA helicase V
货号 TMAC-01570 一键复制产品信息
Rating icon 还可以

Anti-FUBP1 Antibody (1H129) 是一种 Rabbit 抗体,靶向 FUBP1。Anti-FUBP1 Antibody (1H129) 可用于 FCM,ICC/IF,IHC,WB。

Anti-FUBP1 Antibody (1H129)

一键复制产品信息
Rating icon 还可以
货号 TMAC-01570

别名 hDH V, FUSE-binding protein 1, FUBP 1, FBP, Far upstream element-binding protein 1, DNA helicase V

Anti-FUBP1 Antibody (1H129) 是一种 Rabbit 抗体,靶向 FUBP1。Anti-FUBP1 Antibody (1H129) 可用于 FCM,ICC/IF,IHC,WB。

Anti-FUBP1 Antibody (1H129)
规格价格库存数量
50 μL
¥ 1,480
5日内发货
100 μL
¥ 2,495
5日内发货
库存状态实时更新,以官网显示为准,现货产品可直接加购物车下单
大包装 & 定制
加入购物车

TargetMol的所有产品仅用作科学研究或药证申报,不能被用于人体,我们不向个人提供产品和服务。请您遵守承诺用途,不得违反法律法规规定用于任何其他用途。

实验操作小课堂
常见问题解答
查看更多

资源下载:产品操作手册

产品介绍


生物活性
产品描述
Anti-FUBP1 Antibody (1H129) is a Rabbit antibody targeting FUBP1. Anti-FUBP1 Antibody (1H129) can be used in FCM,ICC/IF,IHC,WB.
别名
hDH V, FUSE-binding protein 1, FUBP 1, FBP, Far upstream element-binding protein 1, DNA helicase V
Ig Type
IgG
克隆号
1H129
反应种属
Human,Mouse,Rat
验证活性
1. Western blot analysis of FUBP1 on different lysates using anti-FUBP1 antibody at 1/1,000 dilution. Positive control: Lane 1: Hela, Lane 2: Raji.
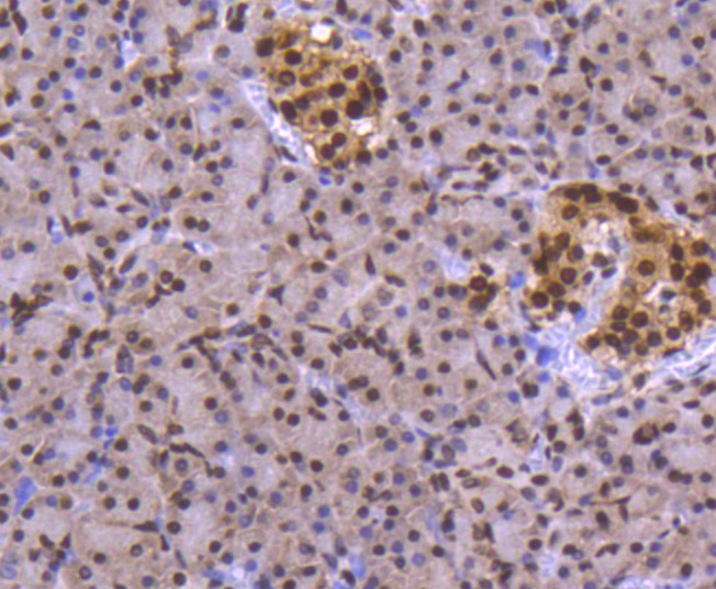
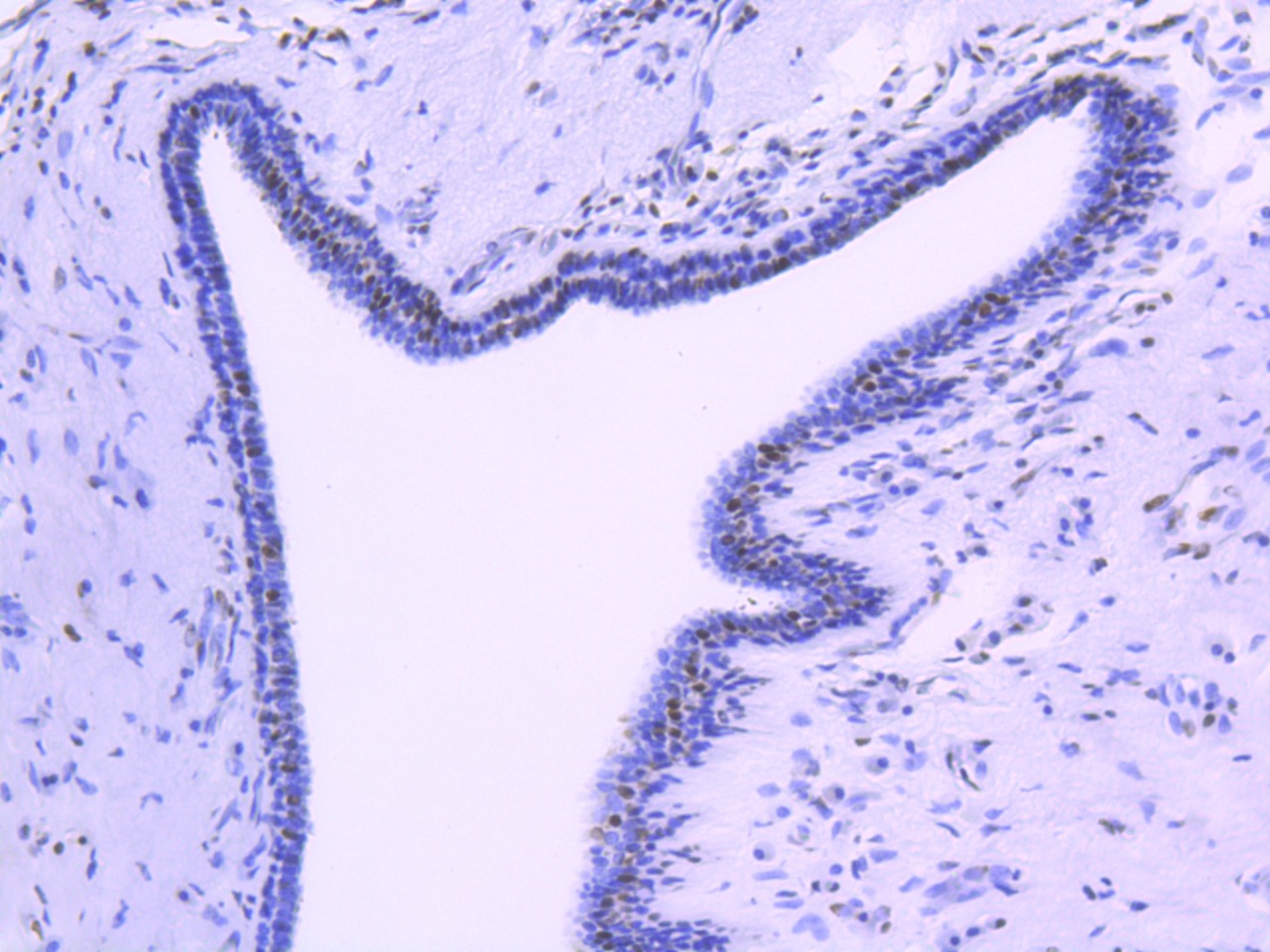
2. Immunohistochemical analysis of paraffin-embedded mouse pancreas tissue using anti-FUBP1 antibody. Counter stained with hematoxylin.
3. Immunohistochemical analysis of paraffin-embedded human breast carcinoma tissue using anti-FUBP1 antibody. Counter stained with hematoxylin.
4. Immunohistochemical analysis of paraffin-embedded human pancreas tissue using anti-FUBP1 antibody. Counter stained with hematoxylin.
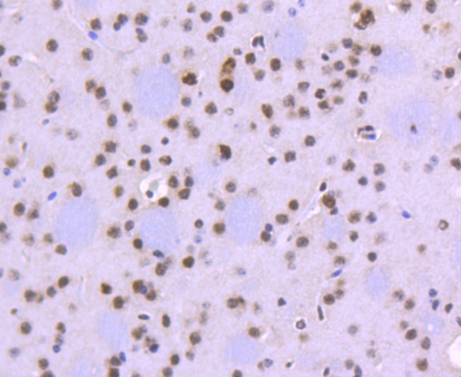
5. Immunohistochemical analysis of paraffin-embedded mouse brain tissue using anti-FUBP1 antibody. Counter stained with hematoxylin.
6. Immunohistochemical analysis of paraffin-embedded human tonsil tissue using anti-FUBP1 antibody. Counter stained with hematoxylin.
7. Immunohistochemical analysis of paraffin-embedded mouse stomach tissue using anti-FUBP1 antibody. Counter stained with hematoxylin.
8. ICC staining FUBP1 in Hela cells (green). The nuclear counter stain is DAPI (blue). Cells were fixed in paraformaldehyde, permeabilised with 0.25% Triton X100/PBS.
9. ICC staining FUBP1 in MCF-7 cells (green). The nuclear counter stain is DAPI (blue). Cells were fixed in paraformaldehyde, permeabilised with 0.25% Triton X100/PBS.
10. ICC staining FUBP1 in HepG2 cells (green). The nuclear counter stain is DAPI (blue). Cells were fixed in paraformaldehyde, permeabilised with 0.25% Triton X100/PBS.
11. Flow cytometric analysis of Jurakt cells with FUBP1 antibody at 1/50 dilution (red) compared with an unlabelled control (cells without incubation with primary antibody; black). Alexa Fluor 488-conjugated goat anti rabbit IgG was used as the secondary antibody.
verifiedActivityverifiedActivityverifiedActivityverifiedActivityverifiedActivityverifiedActivityverifiedActivityverifiedActivityverifiedActivityverifiedActivityverifiedActivity
应用FCMICC/IFIHCWB
推荐剂量
WB: 1:1000-2000; IHC: 1:50-200; ICC/IF: 1:100-500; FCM: 1:50-100
抗体种类
Monoclonal
宿主来源Rabbit
构建方式Recombinant Antibody
纯化方式ProA affinity purified
性状Liquid
缓冲液1*TBS (pH7.4), 1%BSA, 40%Glycerol. Preservative: 0.05% Sodium Azide.
研究背景Activation of FUSE, the far upstream element, is required for the proper ex-pression of the mammalian gene c-Myc in undifferentiated cells. The binding of FBP1 (FUSE-binding protein or far upstream element-binding protein) to FUSE is necessary for c-Myc expression, indicating that FBP1 functions as a growth-dependent regulator of c-Myc expression. Isolated from proliferating HL-60 cells, FBP1 (FBP), FBP2 and FBP3 comprise a family of single-stranded DNA-binding proteins that specifically bind to FUSE elements. The FBP transcription factors share a conserved central DNA-binding domain and show significant homology in their carboxyl-terminal activation domains. Expression of FBP1 is detected in undifferentiated cells and is substantially decreased following cellular differentiation.
偶联与修饰
偶联
Unconjugated
抗原信息
免疫原
Recombinant Protein
Uniprot ID
化学信息
分子量Theoretical: 74 kDa.
储存&溶解度
储存方式Store at -20°C or -80°C for 12 months. Avoid repeated freeze-thaw cycles.
运输方式Shipping with blue ice.

计算器

  • 稀释 计算器
  • 配液 计算器
Related Tags: buy Anti-FUBP1 Antibody (1H129) | purchase Anti-FUBP1 Antibody (1H129) | Anti-FUBP1 Antibody (1H129) cost | order Anti-FUBP1 Antibody (1H129) | Anti-FUBP1 Antibody (1H129) molecular weight