购物车
  • TargetMol
    您的购物车当前为空

Anti-Fragilis/IFITM3 Antibody (5N399)

Synonyms: IP15, interferon induced transmembrane protein 3, DSPA2b, 1-8U
货号 TMAC-01563 一键复制产品信息
Rating icon 还可以

Anti-Fragilis/IFITM3 Antibody (5N399) 是一种 Rabbit 抗体,靶向 Fragilis/IFITM3。Anti-Fragilis/IFITM3 Antibody (5N399) 可用于 FCM,ICC/IF,IHC,WB。

Anti-Fragilis/IFITM3 Antibody (5N399)

一键复制产品信息
Rating icon 还可以
货号 TMAC-01563

别名 IP15, interferon induced transmembrane protein 3, DSPA2b, 1-8U

Anti-Fragilis/IFITM3 Antibody (5N399) 是一种 Rabbit 抗体,靶向 Fragilis/IFITM3。Anti-Fragilis/IFITM3 Antibody (5N399) 可用于 FCM,ICC/IF,IHC,WB。

Anti-Fragilis/IFITM3 Antibody (5N399)
规格价格库存数量
50 μL
¥ 1,485
5日内发货
100 μL
¥ 2,495
5日内发货
库存状态实时更新,以官网显示为准,现货产品可直接加购物车下单
大包装 & 定制
加入购物车
TargetMol的所有产品仅用作科学研究或药证申报,不能被用于人体,我们不向个人提供产品和服务。请您遵守承诺用途,不得违反法律法规规定用于任何其他用途。
实验操作小课堂
常见问题解答
查看更多

资源下载:产品操作手册

产品介绍


生物活性
产品描述
Anti-Fragilis/IFITM3 Antibody (5N399) is a Rabbit antibody targeting Fragilis/IFITM3. Anti-Fragilis/IFITM3 Antibody (5N399) can be used in FCM,ICC/IF,IHC,WB.
别名IP15, interferon induced transmembrane protein 3, DSPA2b, 1-8U
Ig Type
IgG
克隆号
5N399
反应种属
Human
验证活性
1. Western blot analysis of Fragilis on different cell lysates using anti-Fragilis antibody at 1/500 dilution. Positive control: Lane 1: Hela, Lane 2: HepG2, Lane 3: Hela.
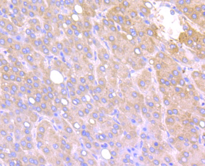
2. Immunohistochemical analysis of paraffin-embedded human liver cancer tissue using anti-Fragilis antibody. Counter stained with hematoxylin.
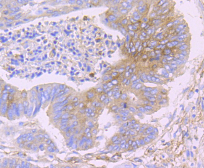
3. Immunohistochemical analysis of paraffin-embedded human colon cancer tissue using anti-Fragilis antibody. Counter stained with hematoxylin.
4. ICC staining Fragilis in HUVEC cells (green). The nuclear counter stain is DAPI (blue). Cells were fixed in paraformaldehyde, permeabilised with 0.25% Triton X100/PBS.
5. ICC staining Fragilis in MCF-7 cells (green). The nuclear counter stain is DAPI (blue). Cells were fixed in paraformaldehyde, permeabilised with 0.25% Triton X100/PBS.
6. ICC staining Fragilis in PC-3M cells (green). The nuclear counter stain is DAPI (blue). Cells were fixed in paraformaldehyde, permeabilised with 0.25% Triton X100/PBS.
7. Flow cytometric analysis of MCF-7 cells with Fragilis antibody at 1/100 dilution (red) compared with an unlabelled control (cells without incubation with primary antibody; black). Alexa Fluor 488-conjugated goat anti rabbit IgG was used as the secondary antibody.
verifiedActivityverifiedActivityverifiedActivityverifiedActivityverifiedActivityverifiedActivityverifiedActivity
应用FCMICC/IFIHCWB
推荐剂量
WB: 1:1000-5000; IHC: 1:50-100; ICC/IF: 1:50-200; FCM: 1:50-100
抗体种类
Monoclonal
宿主来源Rabbit
构建方式Recombinant Antibody
纯化方式ProA affinity purified
性状Liquid
缓冲液1*TBS (pH7.4), 1%BSA, 40%Glycerol. Preservative: 0.05% Sodium Azide.
研究背景IFN-induced antiviral protein which disrupts intracellular cholesterol homeostasis. Inhibits the entry of viruses to the host cell cytoplasm by preventing viral fusion with cholesterol depleted endosomes. May inactivate new enveloped viruses which buds out of the infected cell, by letting them go out with a cholesterol depleted membrane. Active against multiple viruses, including influenza A virus, SARS coronavirus (SARS-CoV), Marburg virus (MARV) and Ebola virus (EBOV), Dengue virus (DNV), West Nile virus (WNV), human immunodeficiency virus type 1 (HIV-1) and vesicular stomatitis virus (VSV). Can inhibit: influenza virus hemagglutinin protein-mediated viral entry, MARV and EBOV GP1,2-mediated viral entry, SARS-CoV S protein-mediated viral entry and VSV G protein-mediated viral entry. Plays a critical role in the structural stability and function of vacuolar ATPase (v-ATPase). Establishes physical contact with the v-ATPase of endosomes which is critical for proper clathrin localization and is also required for the function of the v-ATPase to lower the pH in phagocytic endosomes thus establishing an antiviral state.
偶联与修饰
偶联
Unconjugated
抗原信息
免疫原
Recombinant Protein
Uniprot ID
化学信息
分子量Theoretical: 15 kDa.
储存&溶解度
储存方式Store at -20°C or -80°C for 12 months. Avoid repeated freeze-thaw cycles.
运输方式Shipping with blue ice.

计算器

  • 稀释 计算器
  • 配液 计算器

关键词

Related Tags: buy Anti-Fragilis/IFITM3 Antibody (5N399) | purchase Anti-Fragilis/IFITM3 Antibody (5N399) | Anti-Fragilis/IFITM3 Antibody (5N399) cost | order Anti-Fragilis/IFITM3 Antibody (5N399) | Anti-Fragilis/IFITM3 Antibody (5N399) molecular weight