购物车
  • 全部删除
  • TargetMol
    您的购物车当前为空

Anti-FLOT1 Antibody (9X291)

Rating icon 还可以
产品编号 TMAC-01513

Anti-FLOT1 Antibody (9X291) 是一种 Rabbit 抗体,靶向 FLOT1。Anti-FLOT1 Antibody (9X291) 可用于 FCM,IHC,WB。

Anti-FLOT1 Antibody (9X291)

Anti-FLOT1 Antibody (9X291)

一键复制产品信息
Rating icon 还可以
产品编号 TMAC-01513

Anti-FLOT1 Antibody (9X291) 是一种 Rabbit 抗体,靶向 FLOT1。Anti-FLOT1 Antibody (9X291) 可用于 FCM,IHC,WB。

规格价格库存数量
50 μL
¥ 1,485
5日内发货
100 μL
¥ 2,490
5日内发货
大包装 & 定制
加入购物车
TargetMol 的所有产品仅用作科学研究或药证申报,不能被用于人体,我们不向个人提供产品和服务。请您遵守承诺用途,不得违反法律法规规定用于任何其他用途。
实验操作小课堂
常见问题解答
查看更多
联系我们获取更多批次信息
资源下载

产品介绍

生物活性
产品描述
Anti-FLOT1 Antibody (9X291) is a Rabbit antibody targeting FLOT1. Anti-FLOT1 Antibody (9X291) can be used in FCM,IHC,WB.
Ig Type
IgG
克隆号
9X291
交叉反应
Human,Mouse,Rat
验证活性
1. Western blot analysis of Flotillin 1 on PC-3M cell lysate using anti-Flotillin 1 antibody at 1/500 dilution.
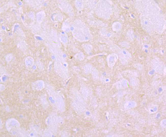
2. Immunohistochemical analysis of paraffin-embedded rat brain tissue using anti-Flotillin 1 antibody. Counter stained with hematoxylin.
3. Immunohistochemical analysis of paraffin-embedded human lung cancer tissue using anti-Flotillin 1 antibody. Counter stained with hematoxylin.
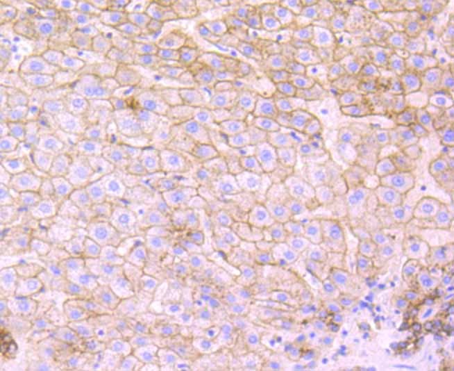
4. Immunohistochemical analysis of paraffin-embedded human liver tissue using anti-Flotillin 1 antibody. Counter stained with hematoxylin.
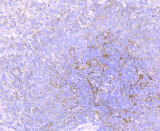
5. Immunohistochemical analysis of paraffin-embedded human spleen tissue using anti-Flotillin 1 antibody. Counter stained with hematoxylin.
6. Flow cytometric analysis of HUVEC cells with Flotillin 1 antibody at 1/100 dilution (red) compared with an unlabelled control (cells without incubation with primary antibody; black). Alexa Fluor 488-conjugated goat anti-rabbit IgG was used as the secondary antibody.
verifiedActivityverifiedActivityverifiedActivityverifiedActivityverifiedActivityverifiedActivity
应用FCMIHCWB
推荐剂量
WB: 1:500-1000; IHC: 1:50-100; FCM: 1:50-100
抗体种类
Monoclonal
宿主来源Rabbit
构建方式Recombinant Antibody
纯化方式ProA affinity purified
性状Liquid
缓冲液1*TBS (pH7.4), 1%BSA, 40%Glycerol. Preservative: 0.05% Sodium Azide.
研究背景Lipid rafts are sphingolipid- and cholesterol-rich membrane microdomains that are insoluble in nonionic detergents. Lipid rafts are important for numerous cellular processes, including signal transduction, membrane trafficking and molecular sorting. Flotillins are lipid raft components in neurons and caveloae-associated proteins in A498 kidney cells. Flotillin-1 belongs to the band 7.2/stomatin protein family, whose members are characterized by the presence of a hydrophobic N-terminal region that is predicted to form a single, outside to inside, transmembrane domain. Flotillin-1 and -2 have complementary tissue distributions and their expression levels are independently regulated. At the cellular level, Flotillin-2 is ubiquitously expressed, whereas Flotillin-1 is expressed in A498 kidney cells, muscle cell lines and fibroblasts. Flotillins form a ternary complex with CAP and Cbl, directing the localization of the CAP-Cbl complex to a lipid raft subdomain of the plasma membrane. Association of ER-X with Flotillin localizes ER-X within plasma membrane caveloae and mediates rapid oestrogen activation of the MAP kinase cascade. The expression of the flotillins is also correlated to the progression of Alzhemier pathology.
偶联与修饰
偶联
Unconjugated
抗原信息
免疫原
Recombinant Protein
Uniprot ID
化学信息
分子量Theoretical: 47 kDa.
存储&运输
储存方式Store at -20°C or -80°C for 12 months. Avoid repeated freeze-thaw cycles.
运输方式Shipping with blue ice.

计算器

  • 稀释 计算器

关键词

评论列表

4个月前
5.0
Rating icon 很棒

评论内容

Related Tags: buy Anti-FLOT1 Antibody (9X291) | purchase Anti-FLOT1 Antibody (9X291) | Anti-FLOT1 Antibody (9X291) cost | order Anti-FLOT1 Antibody (9X291) | Anti-FLOT1 Antibody (9X291) molecular weight