购物车
  • TargetMol
    您的购物车当前为空

Anti-FKBP4 Antibody (1H771)

Synonyms: Rotamase, Peptidyl-prolyl cis-trans isomerase FKBP4, immunophilin FKBP52, HSP-binding immunophilin, FKBP59, FKBP4, FK506-binding protein 4, 59kDa immunophilin, 51kDa FK506-binding protein
货号 TMAC-01491 一键复制产品信息
Rating icon 还可以

Anti-FKBP4 Antibody (1H771) 是一种 Rabbit 抗体,靶向 FKBP4。Anti-FKBP4 Antibody (1H771) 可用于 FCM,ICC,IHC,WB。

Anti-FKBP4 Antibody (1H771)

一键复制产品信息
Rating icon 还可以
货号 TMAC-01491

别名 Rotamase, Peptidyl-prolyl cis-trans isomerase FKBP4, immunophilin FKBP52, HSP-binding immunophilin, FKBP59, FKBP4, FK506-binding protein 4, 59kDa immunophilin, 51kDa FK506-binding protein

Anti-FKBP4 Antibody (1H771) 是一种 Rabbit 抗体,靶向 FKBP4。Anti-FKBP4 Antibody (1H771) 可用于 FCM,ICC,IHC,WB。

Anti-FKBP4 Antibody (1H771)
规格价格库存数量
50 μL
¥ 1,495
5日内发货
100 μL
¥ 2,495
5日内发货
库存状态实时更新,以官网显示为准,现货产品可直接加购物车下单
大包装 & 定制
加入购物车

TargetMol的所有产品仅用作科学研究或药证申报,不能被用于人体,我们不向个人提供产品和服务。请您遵守承诺用途,不得违反法律法规规定用于任何其他用途。

实验操作小课堂
常见问题解答
查看更多

资源下载:产品操作手册

产品介绍


生物活性
产品描述
Anti-FKBP4 Antibody (1H771) is a Rabbit antibody targeting FKBP4. Anti-FKBP4 Antibody (1H771) can be used in FCM,ICC,IHC,WB.
别名
Rotamase, Peptidyl-prolyl cis-trans isomerase FKBP4, immunophilin FKBP52, HSP-binding immunophilin, FKBP59, FKBP4, FK506-binding protein 4, 59kDa immunophilin, 51kDa FK506-binding protein
Ig Type
IgG
克隆号
1H771
反应种属
Human,Mouse
验证活性
1. Western blot analysis of FKBP52 on 293 (1) and SK-Br-3 (2) cell lysate using anti-FKBP52 antibody at 1/2,000 dilution.
2. Immunohistochemical analysis of paraffin-embedded human prostate cancer tissue using anti-FKBP52 antibody. Counter stained with hematoxylin.
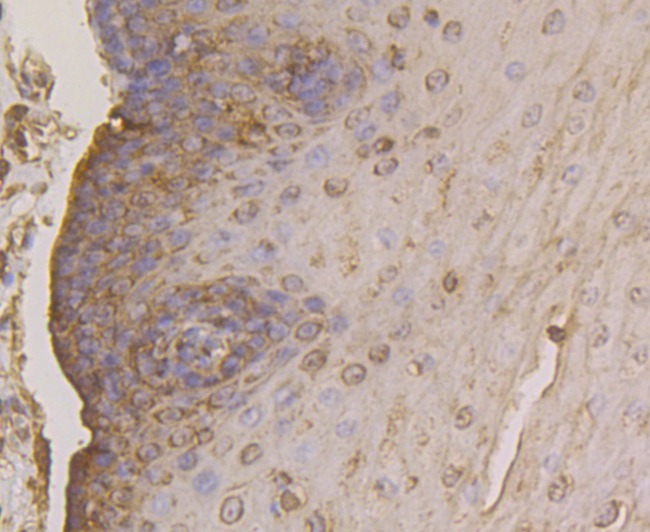
3. Immunohistochemical analysis of paraffin-embedded human esophagus tissue using anti-FKBP52 antibody. Counter stained with hematoxylin.
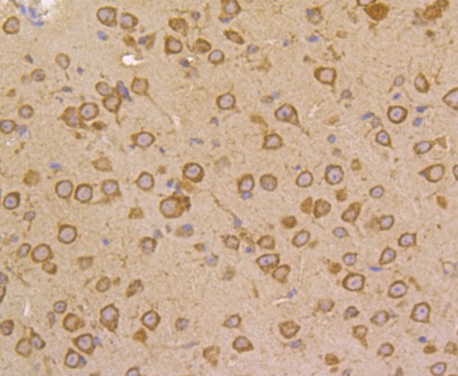
4. Immunohistochemical analysis of paraffin-embedded mouse brain tissue using anti-FKBP52 antibody. Counter stained with hematoxylin.
5. ICC staining FKBP52 in 293T cells (green). The nuclear counter stain is DAPI (blue). Cells were fixed in paraformaldehyde, permeabilised with 0.25% Triton X100/PBS.
6. ICC staining FKBP52 in MCF-7 cells (green). The nuclear counter stain is DAPI (blue). Cells were fixed in paraformaldehyde, permeabilised with 0.25% Triton X100/PBS.
7. Flow cytometric analysis of 293T cells with FKBP52 antibody at 1/100 dilution (purple) compared with an unlabelled control (cells without incubation with primary antibody; yellow). Alexa Fluor 488-conjugated goat anti-rabbit IgG was used as the secondary antibody.
verifiedActivityverifiedActivityverifiedActivityverifiedActivityverifiedActivityverifiedActivityverifiedActivity
应用FCMICCIHCWB
推荐剂量
WB: 1:1000-2000; IHC: 1:50-200; ICC: 1:50-200; FCM: 1:50-100
抗体种类
Monoclonal
宿主来源Rabbit
构建方式Recombinant Antibody
纯化方式ProA affinity purified
性状Liquid
缓冲液1*TBS (pH7.4), 1%BSA, 40%Glycerol. Preservative: 0.05% Sodium Azide.
研究背景Immunophilin protein with PPIase and co-chaperone activities. Component of steroid receptors heterocomplexes through interaction with heat-shock protein 90 (HSP90). May play a role in the intracellular trafficking of heterooligomeric forms of steroid hormone receptors between cytoplasm and nuclear compartments. The isomerase activity controls neuronal growth cones via regulation of TRPC1 channel opening. Acts also as a regulator of microtubule dynamics by inhibiting MAPT/TAU ability to promote microtubule assembly. May have a protective role against oxidative stress in mitochondria.
偶联与修饰
偶联
Unconjugated
抗原信息
免疫原
Recombinant Protein: human FKBP52 aa 1-200
抗原种属
human
Uniprot ID
化学信息
分子量Theoretical: 52 kDa.
储存&溶解度
储存方式Store at -20°C or -80°C for 12 months. Avoid repeated freeze-thaw cycles.
运输方式Shipping with blue ice.

计算器

  • 稀释 计算器
  • 配液 计算器
Related Tags: buy Anti-FKBP4 Antibody (1H771) | purchase Anti-FKBP4 Antibody (1H771) | Anti-FKBP4 Antibody (1H771) cost | order Anti-FKBP4 Antibody (1H771) | Anti-FKBP4 Antibody (1H771) molecular weight