购物车
  • 全部删除
  • TargetMol
    您的购物车当前为空

Anti-FGFR3 Antibody (4S518)

Rating icon 还可以
产品编号 TMAC-01475
别名 JTK4, HSFGFR3EX, FGFR3, FGFR2 α(IIIb), FGF R3, EC 2.7.10, CEK2, CEK, CD333, ACH

Anti-FGFR3 Antibody (4S518) 是一种 Rabbit 抗体,靶向 FGFR3。Anti-FGFR3 Antibody (4S518) 可用于 FCM,ICC/IF,IHC,WB。

Anti-FGFR3 Antibody (4S518)

Anti-FGFR3 Antibody (4S518)

一键复制产品信息
Rating icon 还可以
产品编号 TMAC-01475 别名 JTK4, HSFGFR3EX, FGFR3, FGFR2 α(IIIb), FGF R3, EC 2.7.10, CEK2, CEK, CD333, ACH

Anti-FGFR3 Antibody (4S518) 是一种 Rabbit 抗体,靶向 FGFR3。Anti-FGFR3 Antibody (4S518) 可用于 FCM,ICC/IF,IHC,WB。

规格价格库存数量
50 μL
¥ 1,485
5日内发货
100 μL
¥ 2,490
5日内发货
大包装 & 定制
加入购物车
TargetMol 的所有产品仅用作科学研究或药证申报,不能被用于人体,我们不向个人提供产品和服务。请您遵守承诺用途,不得违反法律法规规定用于任何其他用途。
实验操作小课堂
常见问题解答
查看更多
联系我们获取更多批次信息
资源下载

产品介绍

生物活性
产品描述
Anti-FGFR3 Antibody (4S518) is a Rabbit antibody targeting FGFR3. Anti-FGFR3 Antibody (4S518) can be used in FCM,ICC/IF,IHC,WB.
别名JTK4, HSFGFR3EX, FGFR3, FGFR2 α(IIIb), FGF R3, EC 2.7.10, CEK2, CEK, CD333, ACH
Ig Type
IgG
克隆号
4S518
交叉反应
Human,Mouse,Rat
验证活性
1. Western blot analysis of FGFR3 on different cells lysates using anti-FGFR3 antibody at 1/500 dilution. Positive control: Line 1: 293, Line 2: HepG2.
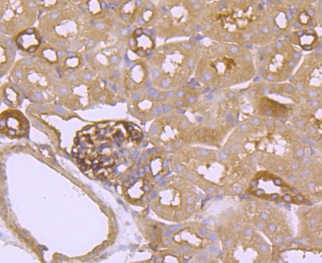
2. Immunohistochemical analysis of paraffin-embedded human kidney tissue using anti-FGFR3 antibody. Counter stained with hematoxylin.
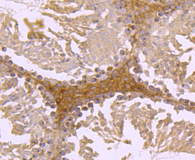
3. Immunohistochemical analysis of paraffin-embedded mouse testis tissue using anti-FGFR3 antibody. Counter stained with hematoxylin.
4. Immunohistochemical analysis of paraffin-embedded mouse kidney tissue using anti-FGFR3 antibody. Counter stained with hematoxylin.
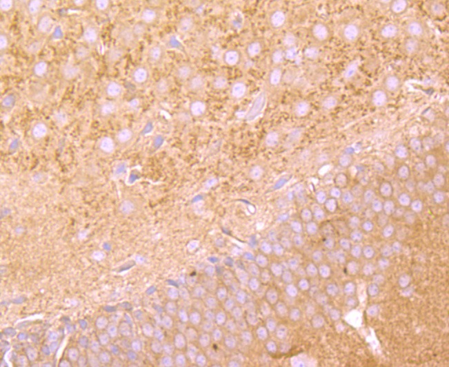
5. Immunohistochemical analysis of paraffin-embedded mouse brain tissue using anti-FGFR3 antibody. Counter stained with hematoxylin.
6. ICC staining FGFR3 in MCF-7 cells (red). The nuclear counter stain is DAPI (blue). Cells were fixed in paraformaldehyde, permeabilised with 0.25% Triton X100/PBS.
7. ICC staining FGFR3 in HepG2 cells (red). The nuclear counter stain is DAPI (blue). Cells were fixed in paraformaldehyde, permeabilised with 0.25% Triton X100/PBS.
8. ICC staining FGFR3 in SH-SY5Y cells (red). The nuclear counter stain is DAPI (blue). Cells were fixed in paraformaldehyde, permeabilised with 0.25% Triton X100/PBS.
9. Flow cytometric analysis of A549 cells with FGFR3 antibody at 1/50 dilution (red) compared with an unlabelled control (cells without incubation with primary antibody; black). Alexa Fluor 488-conjugated goat anti rabbit IgG was used as the secondary antibody.
verifiedActivityverifiedActivityverifiedActivityverifiedActivityverifiedActivityverifiedActivityverifiedActivityverifiedActivityverifiedActivity
应用FCMICC/IFIHCWB
推荐剂量
WB: 1:1000-5000; IHC: 1:50-200; ICC/IF: 1:50-200; FCM: 1:50-100
抗体种类
Monoclonal
宿主来源Rabbit
构建方式Recombinant Antibody
纯化方式ProA affinity purified
性状Liquid
缓冲液1*TBS (pH7.4), 1%BSA, 40%Glycerol. Preservative: 0.05% Sodium Azide.
研究背景Acidic and basic fibroblast growth factors (FGFs) are members of a family of multifunctional polypeptide growth factors that stimulate proliferation of cells of mesenchymal, epithelial and neuroectodermal origin. Like other growth factors, FGFs act by binding and activating specific cell surface receptors. These include the Flg receptor or FGFR-1, the Bek receptor or FGFR-2, FGFR-3, FGFR-4, FGFR-5 and FGFR-6. These receptors usually contain an extracellular ligand-binding region containing three immunoglobulin-like domains, a transmembrane domain and a cytoplasmic tyrosine kinase domain. The gene encoding human FGFR-3 maps to chromosome 4p16 and is alternatively spliced to produce three isoforms that are expressed in brain, kidney and testis. Defects in FGFR-3 are associated with several diseases, including Crouzon syndrome, achondroplasia, thanatophoric dysplasia, craniosynostosis adelaide type and hypochondroplasia (7-10). Mutations in FGFR-3 are also a cause of some bladder and cervical cancers (11).
偶联与修饰
偶联
Unconjugated
抗原信息
免疫原
Recombinant Protein
Uniprot ID
化学信息
分子量Theoretical: 98 kDa.
存储&运输
储存方式Store at -20°C or -80°C for 12 months. Avoid repeated freeze-thaw cycles.
运输方式Shipping with blue ice.

计算器

  • 稀释 计算器

关键词

评论列表

4个月前
5.0
Rating icon 很棒

评论内容

Related Tags: buy Anti-FGFR3 Antibody (4S518) | purchase Anti-FGFR3 Antibody (4S518) | Anti-FGFR3 Antibody (4S518) cost | order Anti-FGFR3 Antibody (4S518) | Anti-FGFR3 Antibody (4S518) molecular weight