购物车
  • TargetMol
    您的购物车当前为空

Anti-FGFR1 Antibody (9Z597)

Synonyms: N-sam, FLT-2, FGFR1 β (IIIc), FGFR-1, CD331, bFGF-R-1, BFGFR
货号 TMAC-01464 一键复制产品信息
Rating icon 还可以
202603开学季活动

Anti-FGFR1 Antibody (9Z597) 是一种 Rabbit 抗体,靶向 FGFR1。Anti-FGFR1 Antibody (9Z597) 可用于 ICC/IF,IHC,WB。

Anti-FGFR1 Antibody (9Z597)

一键复制产品信息
Rating icon 还可以
202603开学季活动
货号 TMAC-01464

别名 N-sam, FLT-2, FGFR1 β (IIIc), FGFR-1, CD331, bFGF-R-1, BFGFR

Anti-FGFR1 Antibody (9Z597) 是一种 Rabbit 抗体,靶向 FGFR1。Anti-FGFR1 Antibody (9Z597) 可用于 ICC/IF,IHC,WB。

Anti-FGFR1 Antibody (9Z597)
规格价格库存数量
50 μL
¥ 1,480
5日内发货
100 μL
¥ 2,495
5日内发货
库存状态实时更新,以官网显示为准,现货产品可直接加购物车下单
大包装 & 定制
加入购物车

TargetMol的所有产品仅用作科学研究或药证申报,不能被用于人体,我们不向个人提供产品和服务。请您遵守承诺用途,不得违反法律法规规定用于任何其他用途。

实验操作小课堂
常见问题解答
查看更多

资源下载:产品操作手册

产品介绍


生物活性
产品描述
Anti-FGFR1 Antibody (9Z597) is a Rabbit antibody targeting FGFR1. Anti-FGFR1 Antibody (9Z597) can be used in ICC/IF,IHC,WB.
别名
N-sam, FLT-2, FGFR1 β (IIIc), FGFR-1, CD331, bFGF-R-1, BFGFR
Ig Type
IgG
克隆号
9Z597
反应种属
Human
验证活性
1. Immunofluorescent analysis of HeLa cells, using FGFR1 Antibody.
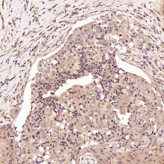
2. Immunohistochemical analysis of paraffin-embedded Rat pancreas, using the Antibody at 1:50 dilution.
3. Immunohistochemical analysis of paraffin-embedded Human thymoma, using the Antibody at 1:50 dilution.
4. Immunohistochemical analysis of paraffin-embedded Human pituitary tumor, using the Antibody at 1:50 dilution.
5. Western blot analysis of FGFR1 expression in SH-SY5Y cell lysate.
verifiedActivityverifiedActivityverifiedActivityverifiedActivityverifiedActivity
应用ICC/IFIHCWB
推荐剂量
WB: 1:1000-2000; IHC: 1:50-100; ICC/IF: 1:50-200
抗体种类
Monoclonal
宿主来源Rabbit
构建方式Recombinant Antibody
纯化方式Affinity-chromatography
性状Liquid
缓冲液Rabbit IgG in 10mM phosphate buffered saline , pH 7.4, 150mM sodium chloride, 0.05% BSA, 0.02% sodium azide and 50% glycerol.
研究背景Tyrosine-protein kinase that acts as a cell-surface receptor for fibroblast growth factors and plays an essential role in the regulation of embryonic development, cell proliferation, differentiation and migration.
偶联与修饰
偶联
Unconjugated
抗原信息
免疫原
A synthesized peptide: human FGFR1
抗原种属
Human
Uniprot ID
化学信息
分子量Actual: 120, 140 kDa.
储存&溶解度
储存方式Store at 2°C-8°C for 1 month. Store at -20°C or -80°C for 12 months. Avoid repeated freeze-thaw cycles.
运输方式Shipping with blue ice.

计算器

  • 稀释 计算器
  • 配液 计算器
Related Tags: buy Anti-FGFR1 Antibody (9Z597) | purchase Anti-FGFR1 Antibody (9Z597) | Anti-FGFR1 Antibody (9Z597) cost | order Anti-FGFR1 Antibody (9Z597) | Anti-FGFR1 Antibody (9Z597) molecular weight