购物车
  • 全部删除
  • TargetMol
    您的购物车当前为空

Anti-EB3 Antibody (1C439)

Rating icon 还可以
产品编号 TMAC-01214
别名 RP3, microtubule-associated protein, RP/EB family, member 3, EBF3-S, EBF3, EB3

Anti-EB3 Antibody (1C439) 是一种 Rabbit 抗体,靶向 EB3。Anti-EB3 Antibody (1C439) 可用于 FCM,ICC,IF,IHC,WB。

Anti-EB3 Antibody (1C439)

Anti-EB3 Antibody (1C439)

一键复制产品信息
Rating icon 还可以
产品编号 TMAC-01214 别名 RP3, microtubule-associated protein, RP/EB family, member 3, EBF3-S, EBF3, EB3

Anti-EB3 Antibody (1C439) 是一种 Rabbit 抗体,靶向 EB3。Anti-EB3 Antibody (1C439) 可用于 FCM,ICC,IF,IHC,WB。

规格价格库存数量
50 μL
¥ 1,495
5日内发货
100 μL
¥ 2,490
5日内发货
大包装 & 定制
加入购物车
TargetMol 的所有产品仅用作科学研究或药证申报,不能被用于人体,我们不向个人提供产品和服务。请您遵守承诺用途,不得违反法律法规规定用于任何其他用途。
实验操作小课堂
常见问题解答
查看更多
联系我们获取更多批次信息
资源下载

产品介绍

生物活性
产品描述
Anti-EB3 Antibody (1C439) is a Rabbit antibody targeting EB3. Anti-EB3 Antibody (1C439) can be used in FCM,ICC,IF,IHC,WB.
别名RP3, microtubule-associated protein, RP/EB family, member 3, EBF3-S, EBF3, EB3
Ig Type
IgG
克隆号
1C439
交叉反应
Human,Mouse,Rat
验证活性
1. Western blot analysis of EB3 on different lysates using anti-EB3 antibody at 1/500 dilution. Positive control: Lane 1: Mouse brain tissue, Lane 2: K562.
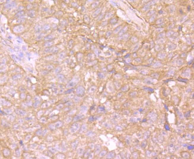
2. Immunohistochemical analysis of paraffin-embedded human lung cancer tissue using anti-EB3 antibody. Counter stained with hematoxylin.
3. Immunohistochemical analysis of paraffin-embedded mouse brain tissue using anti-EB3 antibody. Counter stained with hematoxylin.
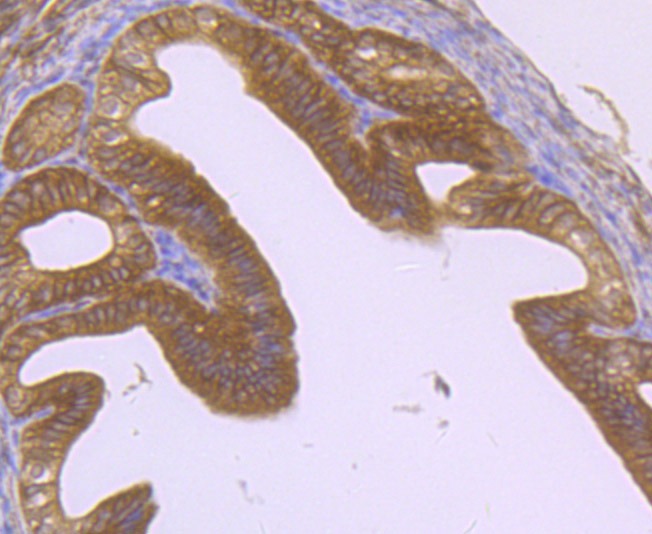
4. Immunohistochemical analysis of paraffin-embedded mouse fallopian tubes tissue using anti-EB3 antibody. Counter stained with hematoxylin.
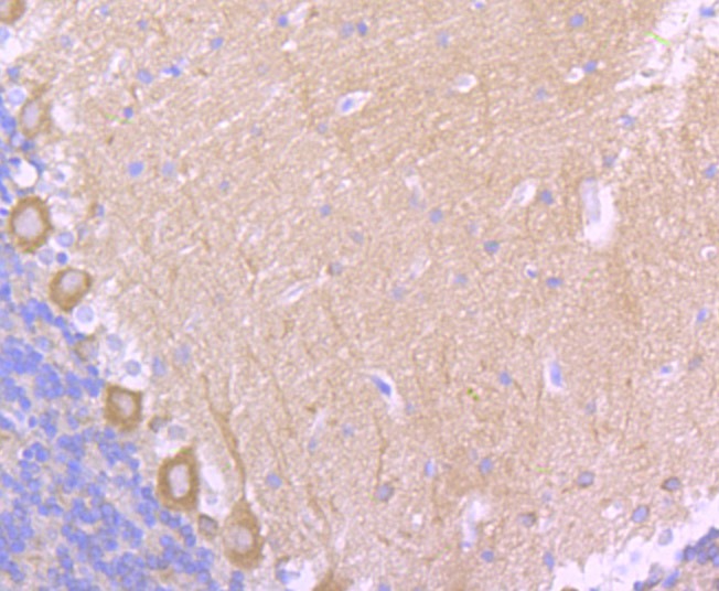
5. Immunohistochemical analysis of paraffin-embedded rat cerebellum tissue using anti-EB3 antibody. Counter stained with hematoxylin.
6. ICC staining EB3 in PC-3M cells (green). The nuclear counter stain is DAPI (blue). Cells were fixed in paraformaldehyde, permeabilised with 0.25% Triton X100/PBS.
7. ICC staining EB3 in SH-SY-5Y cells (green). The nuclear counter stain is DAPI (blue). Cells were fixed in paraformaldehyde, permeabilised with 0.25% Triton X100/PBS.
8. ICC staining EB3 in A431 cells (green). The nuclear counter stain is DAPI (blue). Cells were fixed in paraformaldehyde, permeabilised with 0.25% Triton X100/PBS.
9. Flow cytometric analysis of SH-SY-5Y cells with EB3 antibody at 1/100 dilution (red) compared with an unlabelled control (cells without incubation with primary antibody; black). Alexa Fluor 488-conjugated goat anti-rabbit IgG was used as the secondary antibody.
verifiedActivityverifiedActivityverifiedActivityverifiedActivityverifiedActivityverifiedActivityverifiedActivityverifiedActivityverifiedActivity
应用FCMICCIFIHCWB
推荐剂量
WB: 1:500-1000; IHC: 1:50-200; ICC: 1:50-200; FCM: 1:50-100
抗体种类
Monoclonal
宿主来源Rabbit
构建方式Recombinant Antibody
纯化方式ProA affinity purified
性状Liquid
缓冲液1*TBS (pH7.4), 1%BSA, 40%Glycerol. Preservative: 0.05% Sodium Azide.
研究背景EB1 (MAPRE2, microtubule-associated protein, RP/EB family, member 2, EB2, RP1) may influence tumorigenesis of colorectal cancers and proliferative control of normal cells. EB1 may belong to the intermediate/early gene family, involved in the signal transduction cascade downstream of the TCR. Colorectal cancer is caused by the pathologic transformation of normal colonic epithelium to an adenomatous polyp, which can become an invasive cancer. APC (adenomatous polyposis coli) is a tumor suppressor gene, the mutation of which is one of the earliest events in colorectal carcinogenesis. A majority of the mutations result in the loss of the carboxy terminus of APC. EB1 has been shown to bind to the carboxy terminal region of APC, which implicates EB1 in APC suppression of colonic cancer. EB1 overexpression may play a role in the development of human esophageal squamous cell carcinoma (ESCC) by affecting APC function and activating the beta-catenin/TCF pathway. EB3 is related to EB1 and likewise associates with the microtubule cytoskeleton. EB3 is expressed predominantly in the central nervous system and preferentially associates with APCL.
偶联与修饰
偶联
Unconjugated
抗原信息
免疫原
Recombinant Protein
Uniprot ID
化学信息
分子量Theoretical: 32 kDa.
存储&运输
储存方式Store at -20°C or -80°C for 12 months. Avoid repeated freeze-thaw cycles.
运输方式Shipping with blue ice.

计算器

  • 稀释 计算器

关键词

评论列表

4个月前
5.0
Rating icon 很棒

评论内容

Related Tags: buy Anti-EB3 Antibody (1C439) | purchase Anti-EB3 Antibody (1C439) | Anti-EB3 Antibody (1C439) cost | order Anti-EB3 Antibody (1C439) | Anti-EB3 Antibody (1C439) molecular weight