购物车
  • TargetMol
    您的购物车当前为空

Anti-Cytokeratin 8 Antibody (5G219)

Synonyms: KO, K8, K2C8, Cytokeratin8, CYK8, CK-8, CK8, CARD2
货号 TMAB-00533 一键复制产品信息
Rating icon 还可以

Anti-Cytokeratin 8 Antibody (5G219) 是一种 Mouse 抗体,靶向 Cytokeratin 8。Anti-Cytokeratin 8 Antibody (5G219) 可用于 FCM,IF,IHC-Fr,IHC-P。

Anti-Cytokeratin 8 Antibody (5G219)

一键复制产品信息
Rating icon 还可以
货号 TMAB-00533

别名 KO, K8, K2C8, Cytokeratin8, CYK8, CK-8, CK8, CARD2

Anti-Cytokeratin 8 Antibody (5G219) 是一种 Mouse 抗体,靶向 Cytokeratin 8。Anti-Cytokeratin 8 Antibody (5G219) 可用于 FCM,IF,IHC-Fr,IHC-P。

Anti-Cytokeratin 8 Antibody (5G219)
规格价格库存数量
50 μL
¥ 1,170
5日内发货
100 μL
¥ 1,960
5日内发货
200 μL
¥ 2,795
5日内发货
库存状态实时更新,以官网显示为准,现货产品可直接加购物车下单
大包装 & 定制
加入购物车
TargetMol的所有产品仅用作科学研究或药证申报,不能被用于人体,我们不向个人提供产品和服务。请您遵守承诺用途,不得违反法律法规规定用于任何其他用途。
实验操作小课堂
常见问题解答
查看更多

资源下载:产品操作手册

产品介绍


生物活性
产品描述
Anti-Cytokeratin 8 Antibody (5G219) is a Mouse antibody targeting Cytokeratin 8. Anti-Cytokeratin 8 Antibody (5G219) can be used in FCM,IF,IHC-Fr,IHC-P.
别名KO, K8, K2C8, Cytokeratin8, CYK8, CK-8, CK8, CARD2
Ig Type
IgG
克隆号
5G219
反应种属
Human,Mouse,Rat
验证活性
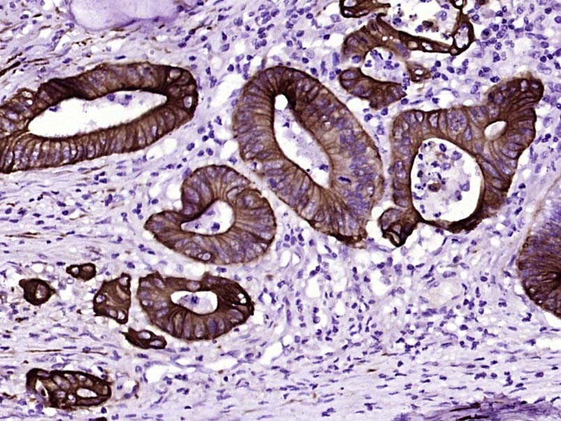
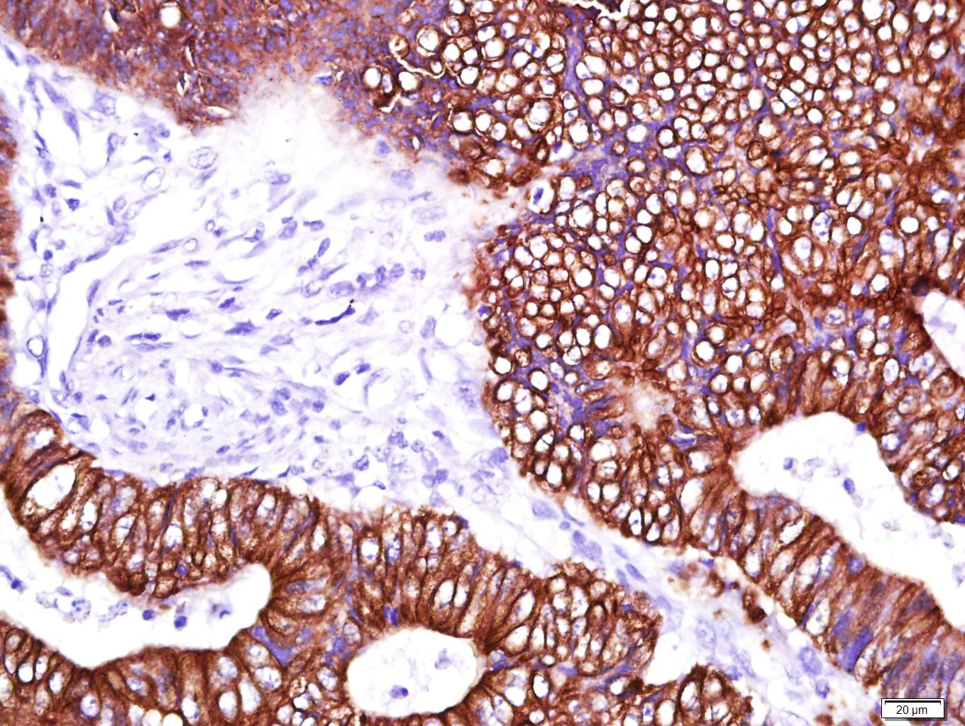
1. Paraformaldehyde-fixed, paraffin embedded (Human colon carcinoma); Antigen retrieval by boiling in sodium citrate buffer (pH6.0) for 15 min; Block endogenous peroxidase by 3% hydrogen peroxide for 20 min; Blocking buffer (normal goat serum) at 37°C for 30 min; Antibody incubation with (Cytokeratin 8) Monoclonal Antibody, Unconjugated (ascites of TMAB-00533) at 1:2000 overnight at 4°C, followed by a conjugated secondary for 20 min and DAB staining.
2. Paraformaldehyde-fixed, paraffin embedded (human lung carcinoma); Antigen retrieval by boiling in sodium citrate buffer (pH6.0) for 15 min; Block endogenous peroxidase by 3% hydrogen peroxide for 20 min; Blocking buffer (normal goat serum) at 37°C for 30 min; Antibody incubation with (Cytokeratin 8) Monoclonal Antibody, Unconjugated (TMAB-00533) at 1:200 overnight at 4°C, followed by operating according to SP Kit (Mouse) instructionsand DAB staining.
3. Paraformaldehyde-fixed, paraffin embedded (human lung carcinoma); Antigen retrieval by boiling in sodium citrate buffer (pH6.0) for 15 min; Block endogenous peroxidase by 3% hydrogen peroxide for 20 min; Blocking buffer (normal goat serum) at 37°C for 30 min; Antibody incubation with (Cytokeratin 8) Monoclonal Antibody, Unconjugated (TMAB-00533) at 1:200 overnight at 4°C, followed by operating according to SP Kit (Mouse) instructionsand DAB staining.
4. Paraformaldehyde-fixed, paraffin embedded (human cervical carcinoma); Antigen retrieval by boiling in sodium citrate buffer (pH6.0) for 15 min; Block endogenous peroxidase by 3% hydrogen peroxide for 20 min; Blocking buffer (normal goat serum) at 37°C for 30 min; Antibody incubation with (Cytokeratin 8) Monoclonal Antibody, Unconjugated (TMAB-00533) at 1:200 overnight at 4°C, followed by operating according to SP Kit (Mouse) instructionsand DAB staining.
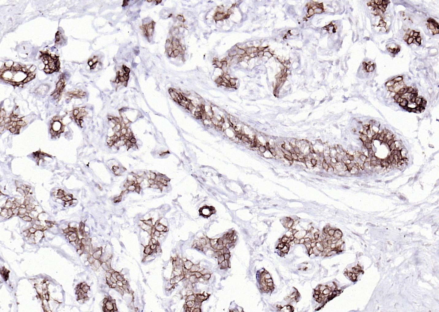
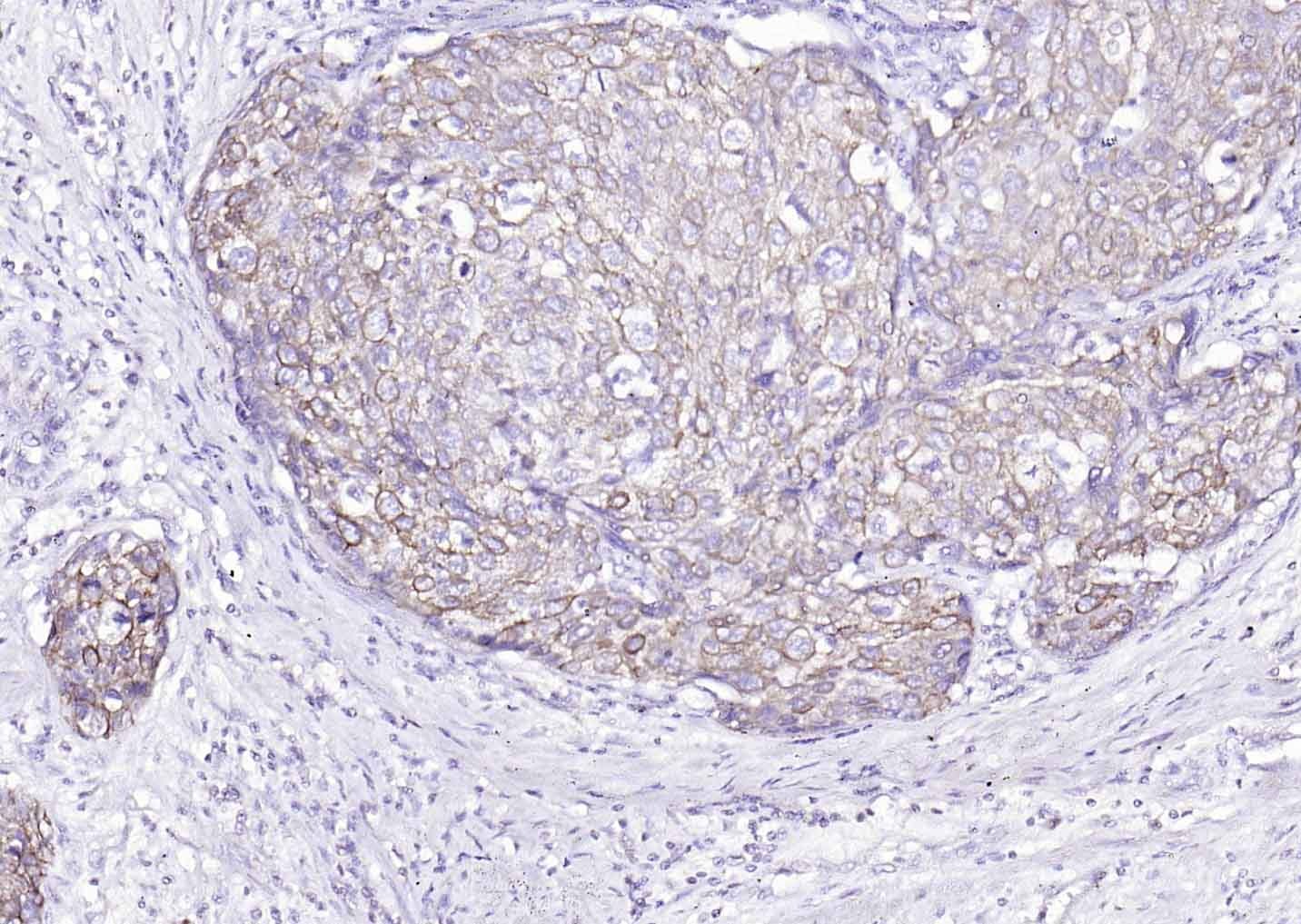
5. Paraformaldehyde-fixed, paraffin embedded (human gastric carcinoma); Antigen retrieval by boiling in sodium citrate buffer (pH6.0) for 15 min; Block endogenous peroxidase by 3% hydrogen peroxide for 20 min; Blocking buffer (normal goat serum) at 37°C for 30 min; Antibody incubation with (Cytokeratin 8) Monoclonal Antibody, Unconjugated (TMAB-00533) at 1:200 overnight at 4°C, followed by operating according to SP Kit (Mouse) instructionsand DAB staining.
6. Paraformaldehyde-fixed, paraffin embedded (human gastric carcinoma); Antigen retrieval by boiling in sodium citrate buffer (pH6.0) for 15 min; Block endogenous peroxidase by 3% hydrogen peroxide for 20 min; Blocking buffer (normal goat serum) at 37°C for 30 min; Antibody incubation with (Cytokeratin 8) Monoclonal Antibody, Unconjugated (TMAB-00533) at 1:200 overnight at 4°C, followed by operating according to SP Kit (Mouse) instructionsand DAB staining.
7. Paraformaldehyde-fixed, paraffin embedded (human cervical carcinoma); Antigen retrieval by boiling in sodium citrate buffer (pH6.0) for 15 min; Block endogenous peroxidase by 3% hydrogen peroxide for 20 min; Blocking buffer (normal goat serum) at 37°C for 30 min; Antibody incubation with (Cytokeratin 8) Monoclonal Antibody, Unconjugated (TMAB-00533) at 1:200 overnight at 4°C, followed by operating according to SP Kit (Mouse) instructionsand DAB staining.
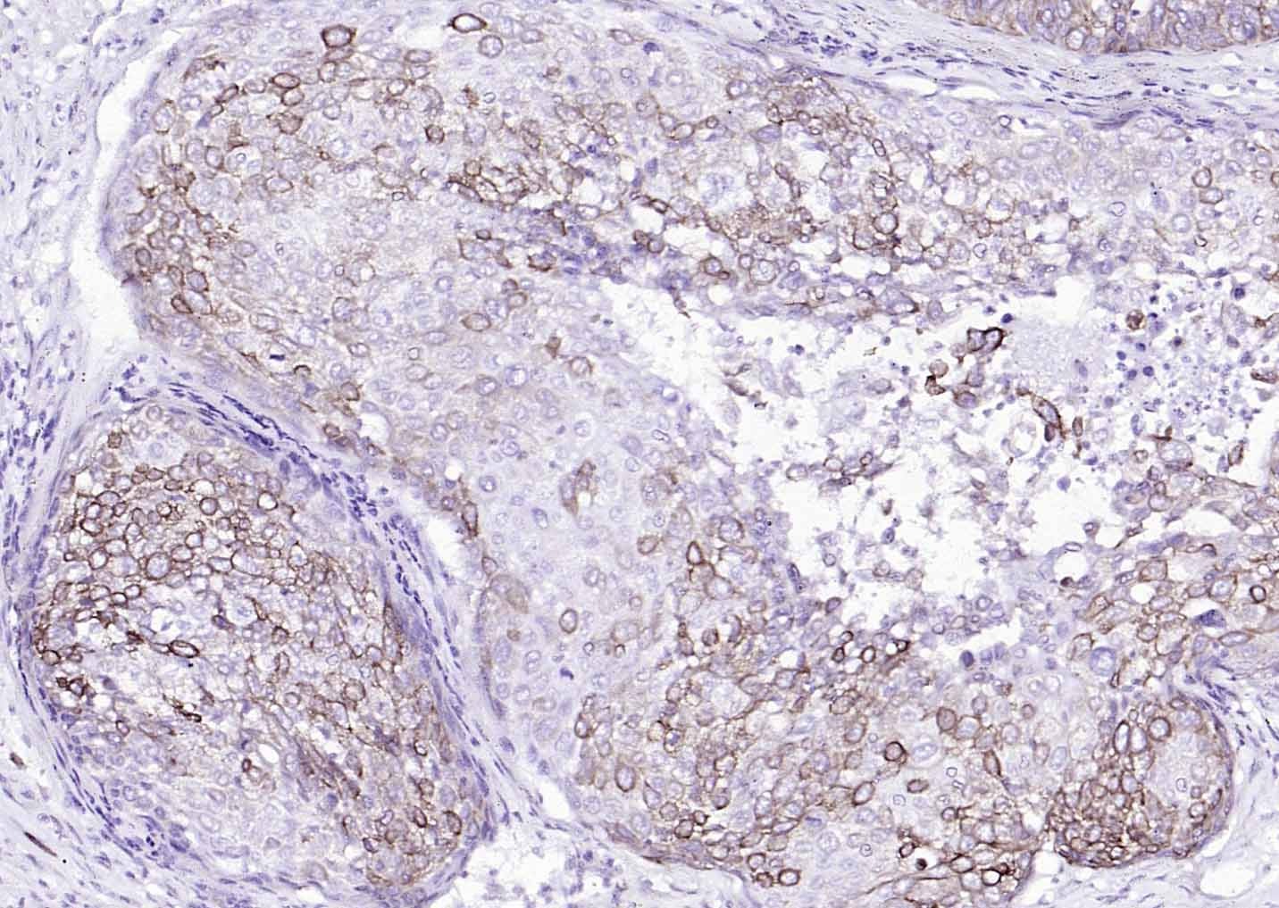
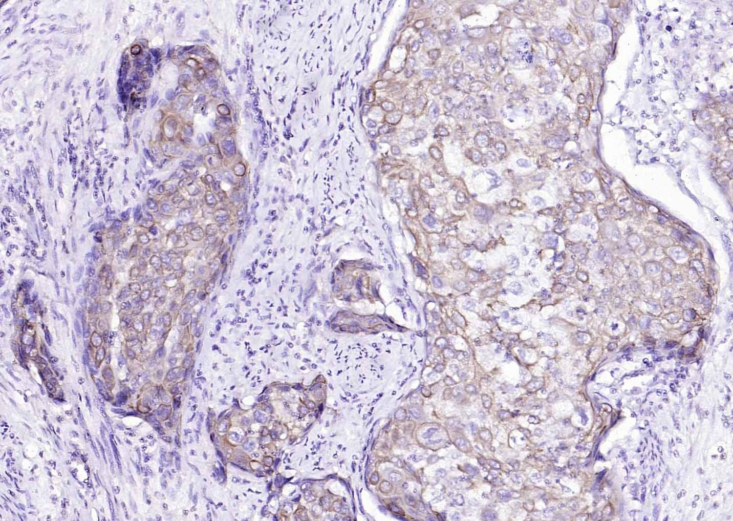
8. Paraformaldehyde-fixed, paraffin embedded (human breast carcinoma); Antigen retrieval by boiling in sodium citrate buffer (pH6.0) for 15 min; Block endogenous peroxidase by 3% hydrogen peroxide for 20 min; Blocking buffer (normal goat serum) at 37°C for 30 min; Antibody incubation with (Cytokeratin 8) Monoclonal Antibody, Unconjugated (TMAB-00533) at 1:200 overnight at 4°C, followed by operating according to SP Kit (Mouse) instructionsand DAB staining.
9. Paraformaldehyde-fixed, paraffin embedded (human cervical carcinoma); Antigen retrieval by boiling in sodium citrate buffer (pH6.0) for 15 min; Block endogenous peroxidase by 3% hydrogen peroxide for 20 min; Blocking buffer (normal goat serum) at 37°C for 30 min; Antibody incubation with (Cytokeratin 8) Monoclonal Antibody, Unconjugated (TMAB-00533) at 1:200 overnight at 4°C, followed by operating according to SP Kit (Mouse) instructionsand DAB staining.
10. Paraformaldehyde-fixed, paraffin embedded (human breast carcinoma); Antigen retrieval by boiling in sodium citrate buffer (pH6.0) for 15 min; Block endogenous peroxidase by 3% hydrogen peroxide for 20 min; Blocking buffer (normal goat serum) at 37°C for 30 min; Antibody incubation with (Cytokeratin 8) Monoclonal Antibody, Unconjugated (TMAB-00533) at 1:200 overnight at 4°C, followed by operating according to SP Kit (Mouse) instructionsand DAB staining.
11. Paraformaldehyde-fixed, paraffin embedded (human gastric carcinoma); Antigen retrieval by boiling in sodium citrate buffer (pH6.0) for 15 min; Block endogenous peroxidase by 3% hydrogen peroxide for 20 min; Blocking buffer (normal goat serum) at 37°C for 30 min; Antibody incubation with (Cytokeratin 8) Monoclonal Antibody, Unconjugated (TMAB-00533) at 1:200 overnight at 4°C, followed by operating according to SP Kit (Mouse) instructionsand DAB staining.
12. Blank control: MCF-7. Primary Antibody (green line): Mouse Anti-Cytokeratin 8 antibody (TMAB-00533)
Dilution: 1 μg/Test;
Secondary Antibody: Goat anti-mouse IgG-FITC
Dilution: 0.5 μg/Test.
Protocol
The cells were fixed with 4% PFA (10 min at room temperature) and then permeabilized with 90% ice-cold methanol for 20 min at-20°C. The cells were then incubated in 5% BSA to block non-specific protein-protein interactions for 30 min at room temperature. Cells stained with Primary Antibody for 30 min at room temperature. The secondary antibody used for 40 min at room temperature.
13. Blank control: MCF-7. Primary Antibody (green line): Mouse Anti-Cytokeratin 8 antibody (TMAB-00533)
Dilution: 1 μg/Test;
Secondary Antibody: Goat anti-mouse IgG-FITC
Dilution: 0.5 μg/Test.
Protocol
The cells were fixed with 4% PFA (10 min at room temperature) and then permeabilized with 90% ice-cold methanol for 20 min at-20°C. The cells were then incubated in 5% BSA to block non-specific protein-protein interactions for 30 min at room temperature. Cells stained with Primary Antibody for 30 min at room temperature. The secondary antibody used for 40 min at room temperature.
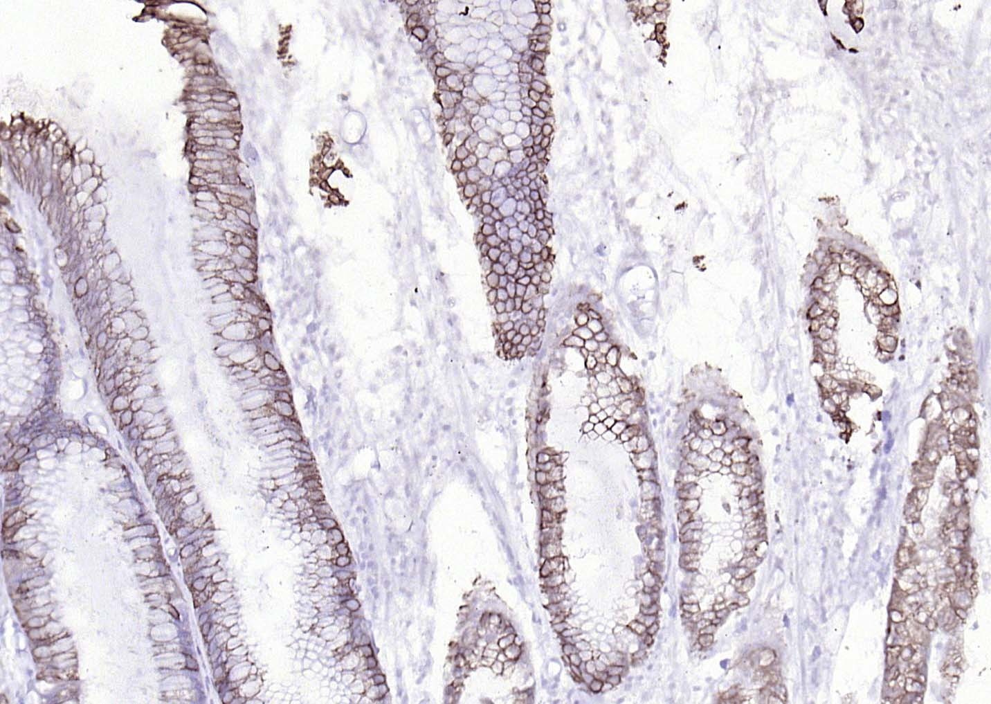
14. Paraformaldehyde-fixed, paraffin embedded (Human colon cancer); Antigen retrieval by boiling in sodium citrate buffer (pH6.0) for 15 min; Block endogenous peroxidase by 3% hydrogen peroxide for 20 min; Blocking buffer (normal goat serum) at 37°C for 30 min; Antibody incubation with (Cytokeratin 8) Monoclonal Antibody, Unconjugated (TMAB-00533) at 1:400 overnight at 4°C, followed by a conjugated secondary for 20 min and DAB staining.
15. Paraformaldehyde-fixed, paraffin embedded (Human colon cancer); Antigen retrieval by boiling in sodium citrate buffer (pH6.0) for 15 min; Block endogenous peroxidase by 3% hydrogen peroxide for 20 min; Blocking buffer (normal goat serum) at 37°C for 30 min; Antibody incubation with (Cytokeratin 8) Monoclonal Antibody, Unconjugated (TMAB-00533) at 1:400 overnight at 4°C, followed by a conjugated Goat Anti-Mouse IgG antibody for 90 minutes, and DAPI for nucleus staining.
16. Paraformaldehyde-fixed, paraffin embedded (Human colon cancer); Antigen retrieval by boiling in sodium citrate buffer (pH6.0) for 15 min; Block endogenous peroxidase by 3% hydrogen peroxide for 20 min; Blocking buffer (normal goat serum) at 37°C for 30 min; Antibody incubation with (Cytokeratin 8) Monoclonal Antibody, Unconjugated (TMAB-00533) at 1:500 overnight at 4°C, followed by a conjugated Goat Anti-Mouse IgG antibody for 90 minutes, and DAPI for nucleus staining.
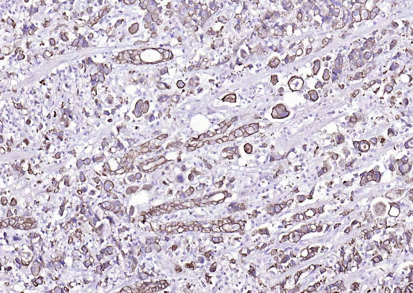
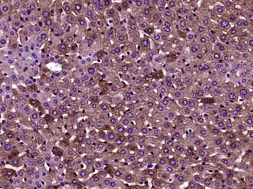
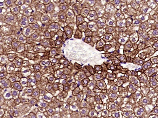
17. Paraformaldehyde-fixed, paraffin embedded (rat liver tissue); Antigen retrieval by boiling in sodium citrate buffer (pH6.0) for 15 min; Block endogenous peroxidase by 3% hydrogen peroxide for 20 min; Blocking buffer (normal goat serum) at 37°C for 30 min; Antibody incubation with (Cytokeratin 8) Monoclonal Antibody, Unconjugated (TMAB-00533) at 1:400 overnight at 4°C, followed by operating according to SP Kit (Mouse) instructionsand DAB staining.
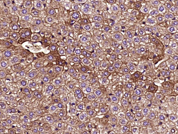
18. Paraformaldehyde-fixed, paraffin embedded (mouse liver tissue); Antigen retrieval by boiling in sodium citrate buffer (pH6.0) for 15 min; Block endogenous peroxidase by 3% hydrogen peroxide for 20 min; Blocking buffer (normal goat serum) at 37°C for 30 min; Antibody incubation with (Cytokeratin 8) Monoclonal Antibody, Unconjugated (TMAB-00533) at 1:400 overnight at 4°C, followed by operating according to SP Kit (Mouse) instructionsand DAB staining.
19. Paraformaldehyde-fixed, paraffin embedded (Human stomach cancer); Antigen retrieval by boiling in sodium citrate buffer (pH6.0) for 15 min; Block endogenous peroxidase by 3% hydrogen peroxide for 20 min; Blocking buffer (normal goat serum) at 37°C for 30 min; Antibody incubation with (Cytokeratin 8) Monoclonal Antibody, Unconjugated (TMAB-00533) at 1:500 overnight at 4°C, followed by a conjugated Goat Anti-Mouse IgG antibody for 90 minutes, and DAPI for nucleus staining.
20. Paraformaldehyde-fixed, paraffin embedded (Human liver carcinoma); Antigen retrieval by boiling in sodium citrate buffer (pH6.0) for 15 min; Block endogenous peroxidase by 3% hydrogen peroxide for 20 min; Blocking buffer (normal goat serum) at 37°C for 30 min; Antibody incubation with (Cytokeratin 8) Monoclonal Antibody, Unconjugated (ascites of TMAB-00533) at 1:2000 overnight at 4°C, followed by a conjugated secondary for 20 min and DAB staining.
21. Paraformaldehyde-fixed, paraffin embedded (Mouse liver); Antigen retrieval by boiling in sodium citrate buffer (pH6.0) for 15 min; Block endogenous peroxidase by 3% hydrogen peroxide for 20 min; Blocking buffer (normal goat serum) at 37°C for 30 min; Antibody incubation with (Cytokeratin 8) Monoclonal Antibody, Unconjugated (ascites of TMAB-00533) at 1:2000 overnight at 4°C, followed by a conjugated secondary for 20 min and DAB s
22. Paraformaldehyde-fixed, paraffin embedded (Human cervical cancer); Antigen retrieval by boiling in sodium citrate buffer (pH6.0) for 15 min; Block endogenous peroxidase by 3% hydrogen peroxide for 20 min; Blocking buffer (normal goat serum) at 37°C for 30 min; Antibody incubation with (Cytokeratin 8) Monoclonal Antibody, Unconjugated (TMAB-00533) at 1:500 overnight at 4°C, followed by a conjugated Goat Anti-Mouse IgG antibody for 90 minutes, and DAPI for nucleus staining.
verifiedActivityverifiedActivityverifiedActivityverifiedActivityverifiedActivityverifiedActivityverifiedActivityverifiedActivityverifiedActivityverifiedActivityverifiedActivityverifiedActivityverifiedActivityverifiedActivityverifiedActivityverifiedActivityverifiedActivityverifiedActivityverifiedActivityverifiedActivityverifiedActivityverifiedActivity
应用FCMIFIHC-FrIHC-P
推荐剂量
IHC-P: 1:100-500; IHC-Fr: 1:100-500; IF: 1:200-800; FCM: 1ug/Test
抗体种类
Monoclonal
宿主来源Mouse
亚细胞定位Cytoplasm. Nucleus, nucleoplasm. Nucleus matrix.
组织特异性Observed in muscle fibers accumulating in the costameres of myoplasm at the sarcolemma membrane in structures that contain dystrophin and spectrin. Expressed in gingival mucosa and hard palate of the oral cavity.
构建方式Hybridoma Monoclonal Antibody
纯化方式Protein G purified
性状Liquid
缓冲液0.01M TBS (pH7.4) with 1% BSA, 0.02% Proclin300 and 50% Glycerol.
浓度1 mg/mL
研究背景This gene is a member of the type II keratin family clustered on the long arm of chromosome 12. Type I and type II keratins heteropolymerize to form intermediate-sized filaments in the cytoplasm of epithelial cells. The product of this gene typically dimerizes with keratin 18 to form an intermediate filament in simple single-layered epithelial cells. This protein plays a role in maintaining cellular structural integrity and also functions in signal transduction and cellular differentiation. Mutations in this gene cause cryptogenic cirrhosis. Alternatively spliced transcript variants have been found for this gene. [provided by RefSeq, Jan 2012].
抗原信息
免疫原
Recombinant Protein: human CK8
抗原种属
Human
基因名称
KRT8
基因ID
蛋白名称
Keratin, type II cytoskeletal 8
Uniprot ID
研究领域
Cytokeratins
功能
Together with KRT19, helps to link the contractile apparatus to dystrophin at the costameres of striated muscle.
化学信息
分子量Theoretical: 53 kDa.
储存&溶解度
储存方式Store at -20°C or -80°C for 12 months. Avoid repeated freeze-thaw cycles.
运输方式Shipping with blue ice.

计算器

  • 稀释 计算器
  • 配液 计算器
Related Tags: buy Anti-Cytokeratin 8 Antibody (5G219) | purchase Anti-Cytokeratin 8 Antibody (5G219) | Anti-Cytokeratin 8 Antibody (5G219) cost | order Anti-Cytokeratin 8 Antibody (5G219) | Anti-Cytokeratin 8 Antibody (5G219) molecular weight