购物车
  • TargetMol
    您的购物车当前为空

Anti-CYPOR Antibody (2K509)

Synonyms: POR, P450R, NADPH--cytochrome P450 reductase, CYPOR, CPR
货号 TMAC-01072 一键复制产品信息
Rating icon 还可以

Anti-CYPOR Antibody (2K509) 是一种 Rabbit 抗体,靶向 CYPOR。Anti-CYPOR Antibody (2K509) 可用于 FCM,ICC,IF,IHC,WB。

Anti-CYPOR Antibody (2K509)

一键复制产品信息
Rating icon 还可以
货号 TMAC-01072

别名 POR, P450R, NADPH--cytochrome P450 reductase, CYPOR, CPR

Anti-CYPOR Antibody (2K509) 是一种 Rabbit 抗体,靶向 CYPOR。Anti-CYPOR Antibody (2K509) 可用于 FCM,ICC,IF,IHC,WB。

Anti-CYPOR Antibody (2K509)
规格价格库存数量
50 μL
¥ 1,485
5日内发货
100 μL
¥ 2,480
5日内发货
库存状态实时更新,以官网显示为准,现货产品可直接加购物车下单
大包装 & 定制
加入购物车

TargetMol的所有产品仅用作科学研究或药证申报,不能被用于人体,我们不向个人提供产品和服务。请您遵守承诺用途,不得违反法律法规规定用于任何其他用途。

实验操作小课堂
常见问题解答
查看更多

资源下载:产品操作手册

产品介绍


生物活性
产品描述
Anti-CYPOR Antibody (2K509) is a Rabbit antibody targeting CYPOR. Anti-CYPOR Antibody (2K509) can be used in FCM,ICC,IF,IHC,WB.
别名
POR, P450R, NADPH--cytochrome P450 reductase, CYPOR, CPR
Ig Type
IgG
克隆号
2K509
反应种属
Human,Mouse,Rat
验证活性
1. Western blot analysis of Cytochrome P450 Reductase on SK-Br-3 (1) , A549 (2) and mouse lung (3) lysate using anti-Cytochrome P450 Reductase antibody at 1/500 dilution.
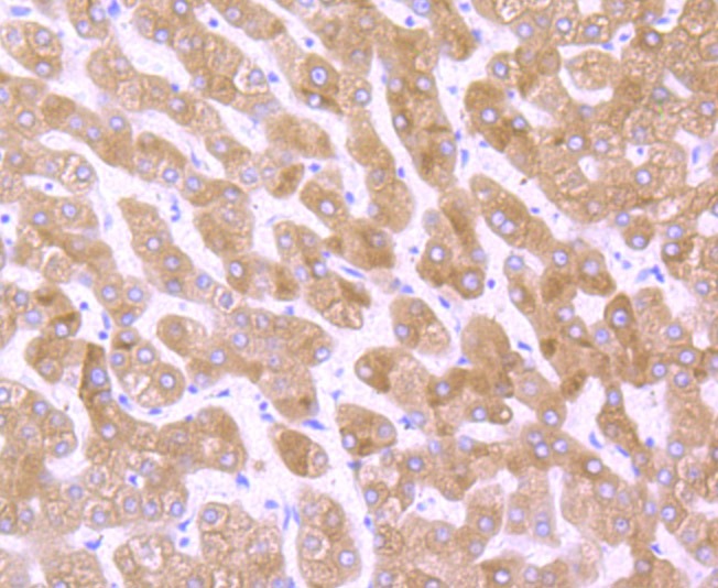
2. Immunohistochemical analysis of paraffin-embedded human liver tissue using anti-Cytochrome P450 Reductase antibody. Counter stained with hematoxylin.
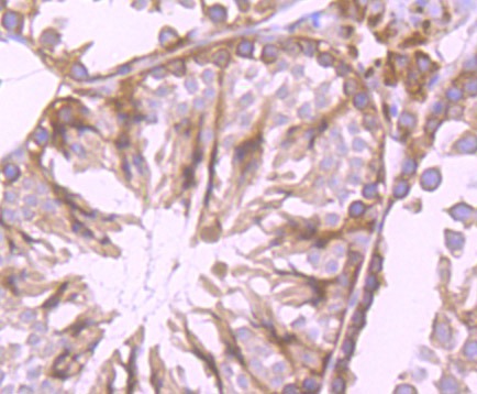
3. Immunohistochemical analysis of paraffin-embedded mouse testis tissue using anti-Cytochrome P450 Reductase antibody. Counter stained with hematoxylin.
4. Immunohistochemical analysis of paraffin-embedded rat brain tissue using anti-Cytochrome P450 Reductase antibody. Counter stained with hematoxylin.
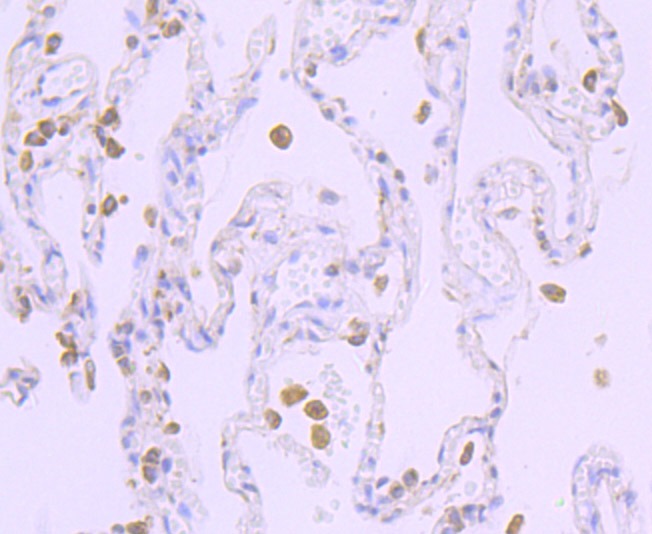
5. Immunohistochemical analysis of paraffin-embedded human lung cancer tissue using anti-Cytochrome P450 Reductase antibody. Counter stained with hematoxylin.
6. ICC staining Cytochrome P450 Reductase in HepG2 cells (green). The nuclear counter stain is DAPI (blue). Cells were fixed in paraformaldehyde, permeabilised with 0.25% Triton X100/PBS.
7. ICC staining Cytochrome P450 Reductase in LOVO cells (green). The nuclear counter stain is DAPI (blue). Cells were fixed in paraformaldehyde, permeabilised with 0.25% Triton X100/PBS.
8. ICC staining Cytochrome P450 Reductase in A549 cells (green). The nuclear counter stain is DAPI (blue). Cells were fixed in paraformaldehyde, permeabilised with 0.25% Triton X100/PBS.
9. Flow cytometric analysis of HepG2 cells with Cytochrome P450 Reductase antibody at 1/100 dilution (red) compared with an unlabelled control (cells without incubation with primary antibody; black). Alexa Fluor 488-conjugated goat anti-rabbit IgG was used as the secondary antibody.
verifiedActivityverifiedActivityverifiedActivityverifiedActivityverifiedActivityverifiedActivityverifiedActivityverifiedActivityverifiedActivity
应用FCMICCIFIHCWB
推荐剂量
WB: 1:500-1000; IHC: 1:50-200; ICC: 1:50-200; FCM: 1:50-100
抗体种类
Monoclonal
宿主来源Rabbit
构建方式Recombinant Antibody
纯化方式ProA affinity purified
性状Liquid
缓冲液1*TBS (pH7.4), 1%BSA, 40%Glycerol. Preservative: 0.05% Sodium Azide.
研究背景P450 enzymes constitute a family of monooxygenase enzymes that are involved in the metabolism of a wide array of endogenous and xenobiotic compounds. Several P450 enzymes have been classified by sequence similarities as members of the CYP1A and CYP2A subfamilies. CYPOR, also known as cytochrome P450 reductase and NADPH cytochrome P450 reductase, is a microsomal enzyme responsible for the transfer of electrons from NADPH to cytochrome P450 enzymes during the P450 catalytic cycle. CYPOR is localized to the endoplasmic reticulum, where it is also able to transfer electrons to heme oxygenase and cytochrome b5. CYPOR is structurally related to two separate flavoprotein families, ferredoxin nucleotide reductase (FNR) and flavodoxin. Electron transfer of CYPOR requires the binding of two flavin cofactors, FAD and FMN, to the FNR and flavodoxin domains, respectively.
偶联与修饰
偶联
Unconjugated
抗原信息
免疫原
Recombinant Protein
Uniprot ID
化学信息
分子量Theoretical: 77 kDa.
储存&溶解度
储存方式Store at -20°C or -80°C for 12 months. Avoid repeated freeze-thaw cycles.
运输方式Shipping with blue ice.

计算器

  • 稀释 计算器
  • 配液 计算器
Related Tags: buy Anti-CYPOR Antibody (2K509) | purchase Anti-CYPOR Antibody (2K509) | Anti-CYPOR Antibody (2K509) cost | order Anti-CYPOR Antibody (2K509) | Anti-CYPOR Antibody (2K509) molecular weight