购物车
  • TargetMol
    您的购物车当前为空

Anti-CYP27A1 Antibody (5U325)

Synonyms: Vitamin D(3) 25 hydroxylase, Sterol 27 hydroxylase, Sterol 26 hydroxylase mitochondrial, Sterol 26 hydroxylase, Cytochrome P450 subfamily XXVIIA(steroid 27-hydroxylase cerebrotendinous xanthomatosis) polypeptide 1, Cytochrome P450 family 27 subfamily A polypeptide 1, Cytochrome P450 27 mitochondrial, Cytochrome P450 27, Cytochrome P 450C27/25, CYP27, CYP, CTX, CP27A, CP27, Cholestanetriol 26 monooxygenase, 5-beta-cholestane-3-alpha, 7-alpha, 12-alpha-triol 27-hydroxylase, 5-beta-cholestane-3-alpha, 7-alpha, 12-alpha-triol 26-hydroxylase
货号 TMAC-01060 一键复制产品信息
Rating icon 还可以

Anti-CYP27A1 Antibody (5U325) 是一种 Rabbit 抗体,靶向 CYP27A1。Anti-CYP27A1 Antibody (5U325) 可用于 FCM,ICC,IHC,WB。

Anti-CYP27A1 Antibody (5U325)

一键复制产品信息
Rating icon 还可以
货号 TMAC-01060

别名 Vitamin D(3) 25 hydroxylase, Sterol 27 hydroxylase, Sterol 26 hydroxylase mitochondrial, Sterol 26 hydroxylase, Cytochrome P450 subfamily XXVIIA(steroid 27-hydroxylase cerebrotendinous xanthomatosis) polypeptide 1, Cytochrome P450 family 27 subfamily A polypeptide 1, Cytochrome P450 27 mitochondrial, Cytochrome P450 27, Cytochrome P 450C27/25, CYP27, CYP, CTX, CP27A, CP27, Cholestanetriol 26 monooxygenase, 5-beta-cholestane-3-alpha, 7-alpha, 12-alpha-triol 27-hydroxylase, 5-beta-cholestane-3-alpha, 7-alpha, 12-alpha-triol 26-hydroxylase

Anti-CYP27A1 Antibody (5U325) 是一种 Rabbit 抗体,靶向 CYP27A1。Anti-CYP27A1 Antibody (5U325) 可用于 FCM,ICC,IHC,WB。

Anti-CYP27A1 Antibody (5U325)
规格价格库存数量
50 μL
¥ 1,485
5日内发货
100 μL
¥ 2,490
5日内发货
库存状态实时更新,以官网显示为准,现货产品可直接加购物车下单
大包装 & 定制
加入购物车

TargetMol的所有产品仅用作科学研究或药证申报,不能被用于人体,我们不向个人提供产品和服务。请您遵守承诺用途,不得违反法律法规规定用于任何其他用途。

实验操作小课堂
常见问题解答
查看更多

资源下载:产品操作手册

产品介绍


生物活性
产品描述
Anti-CYP27A1 Antibody (5U325) is a Rabbit antibody targeting CYP27A1. Anti-CYP27A1 Antibody (5U325) can be used in FCM,ICC,IHC,WB.
别名
Vitamin D(3) 25 hydroxylase, Sterol 27 hydroxylase, Sterol 26 hydroxylase mitochondrial, Sterol 26 hydroxylase, Cytochrome P450 subfamily XXVIIA(steroid 27-hydroxylase cerebrotendinous xanthomatosis) polypeptide 1, Cytochrome P450 family 27 subfamily A polypeptide 1, Cytochrome P450 27 mitochondrial, Cytochrome P450 27, Cytochrome P 450C27/25, CYP27, CYP, CTX, CP27A, CP27, Cholestanetriol 26 monooxygenase, 5-beta-cholestane-3-alpha, 7-alpha, 12-alpha-triol 27-hydroxylase, 5-beta-cholestane-3-alpha, 7-alpha, 12-alpha-triol 26-hydroxylase
Ig Type
IgG
克隆号
5U325
反应种属
Human,Mouse,Rat
验证活性
1. Western blot analysis of CYP27A1 on different tissue lysates using anti-CYP27A1 antibody at 1/500 dilution.Positive control: Lane 1: Rat heart, Lane 2: Human liver, Lane 2: Human kidney.
2. Immunohistochemical analysis of paraffin-embedded human liver cancer tissue using anti-CYP27A1 antibody. Counter stained with hematoxylin.
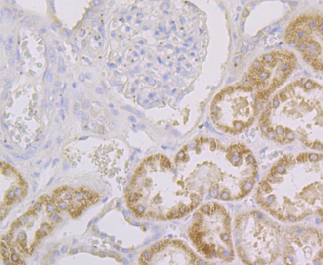
3. Immunohistochemical analysis of paraffin-embedded human kidney tissue using anti-CYP27A1 antibody. Counter stained with hematoxylin.
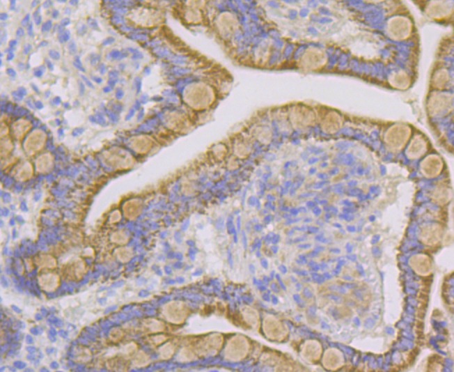
4. Immunohistochemical analysis of paraffin-embedded human small intestine tissue using anti-CYP27A1 antibody. Counter stained with hematoxylin.
5. ICC staining CYP27A1 in HepG2 cells (green). The nuclear counter stain is DAPI (blue). Cells were fixed in paraformaldehyde, permeabilised with 0.25% Triton X100/PBS.
6. ICC staining CYP27A1 in LOVO cells (green). The nuclear counter stain is DAPI (blue). Cells were fixed in paraformaldehyde, permeabilised with 0.25% Triton X100/PBS.
7. Flow cytometric analysis of HepG2 cells with CYP27A1 antibody at 1/100 dilution (purple) compared with an unlabelled control (cells without incubation with primary antibody; yellow). Alexa Fluor 488-conjugated goat anti-rabbit IgG was used as the secondary antibody.
8. All lanes: CYP27A1 Rabbit mAb TMAC-01060 at 1/1000 dilution, Lane 1: Mouse liver lysates, Lane 2: Mouse kidney lysates, Lane 3: Rat liver lysates Lysates at 20 μg per lane. Secondary All lanes: Goat Anti-Rabbit IgG (HRP) at 1/10000 dilution, Predicted band size: 60 kDa, Observed band size: 55-60 kDa, Exposure time: 2 seconds.
verifiedActivityverifiedActivityverifiedActivityverifiedActivityverifiedActivityverifiedActivityverifiedActivityverifiedActivity
应用FCMICCIHCWB
推荐剂量
WB: 1:500-2000; IHC: 1:50-200; ICC: 1:50-200; FCM: 1:50-100
抗体种类
Monoclonal
宿主来源Rabbit
构建方式Recombinant Antibody
纯化方式ProA affinity purified
性状Liquid
缓冲液1*TBS (pH7.4), 1%BSA, 40%Glycerol. Preservative: 0.05% Sodium Azide.
研究背景P450 enzymes constitute a family of monooxygenase enzymes that are involved in the metabolism of a wide array of endo-genous and xenobiotic compounds. P450 enzymes can be classified, based on their sequence similarities, into distinct subfamilies, which include CYP1A and CYP2A. Other P450 family members include CYP19, also designated aromatase (P450arom), which catalyzes the conversion of C19 steroids to estrogens in various tissues, including placenta, gonads, adipose tissue, skin and brain. CYP19 expression is controlled by hormonally regulated promoters in different tissues and increased aromatase activity is associated with familial gynecomastia. Also, a polymorphic allele of CYP19 (repeat (TTTA)12) is present in a majority of breast cancer patients. P450 cholesterol 7a-hydroxylase, CYP7A1, is the rate limiting enzyme of bile acid synthesis in the liver, and its expression is mediated by the bile acid receptor FXR. CYP27A1 catalyzes vitamin D3 25-hydroxylation and is localized to the mitochondria in kidney and liver.
偶联与修饰
偶联
Unconjugated
抗原信息
免疫原
Recombinant Protein: human CYP27A1 300-500aa
抗原种属
human
Uniprot ID
化学信息
分子量Theoretical: 60 kDa.
储存&溶解度
储存方式Store at -20°C or -80°C for 12 months. Avoid repeated freeze-thaw cycles.
运输方式Shipping with blue ice.

计算器

  • 稀释 计算器
  • 配液 计算器
Related Tags: buy Anti-CYP27A1 Antibody (5U325) | purchase Anti-CYP27A1 Antibody (5U325) | Anti-CYP27A1 Antibody (5U325) cost | order Anti-CYP27A1 Antibody (5U325) | Anti-CYP27A1 Antibody (5U325) molecular weight