购物车
  • TargetMol
    您的购物车当前为空

Anti-CXCL13/BCA-1 Polyclonal Antibody 2

Synonyms: SCYB13, BLR1L, BLC, BCA-1, BCA1, ANGIE2, ANGIE
货号 TMAB-00499 一键复制产品信息
Rating icon 还可以

Anti-CXCL13/BCA-1 Polyclonal Antibody 2 是一种 Rabbit 抗体,靶向 CXCL13/BCA-1。Anti-CXCL13/BCA-1 Polyclonal Antibody 2 可用于 FCM,IF,IHC-Fr,IHC-P,WB。

Anti-CXCL13/BCA-1 Polyclonal Antibody 2

一键复制产品信息
Rating icon 还可以
货号 TMAB-00499

别名 SCYB13, BLR1L, BLC, BCA-1, BCA1, ANGIE2, ANGIE

Anti-CXCL13/BCA-1 Polyclonal Antibody 2 是一种 Rabbit 抗体,靶向 CXCL13/BCA-1。Anti-CXCL13/BCA-1 Polyclonal Antibody 2 可用于 FCM,IF,IHC-Fr,IHC-P,WB。

Anti-CXCL13/BCA-1 Polyclonal Antibody 2
规格价格库存数量
50 μL
¥ 1,170
5日内发货
100 μL
¥ 1,970
5日内发货
200 μL
¥ 2,795
5日内发货
库存状态实时更新,以官网显示为准,现货产品可直接加购物车下单
大包装 & 定制
加入购物车

TargetMol的所有产品仅用作科学研究或药证申报,不能被用于人体,我们不向个人提供产品和服务。请您遵守承诺用途,不得违反法律法规规定用于任何其他用途。

实验操作小课堂
常见问题解答
查看更多

资源下载:产品操作手册

产品介绍


生物活性
产品描述
Anti-CXCL13/BCA-1 Polyclonal Antibody 2 is a Rabbit antibody targeting CXCL13/BCA-1. Anti-CXCL13/BCA-1 Polyclonal Antibody 2 can be used in FCM,IF,IHC-Fr,IHC-P,WB.
别名
SCYB13, BLR1L, BLC, BCA-1, BCA1, ANGIE2, ANGIE
Ig Type
IgG
反应种属
Human (predicted:Dog)
验证活性
1. Sample:
Lane 1: Human Jurkat cell lysates
Primary: Anti-CXCL13 (TMAB-00499) at 1/1000 dilution
Secondary: IRDye800CW Goat Anti-Rabbit IgG at 1/20000 dilution
Predicted band size: 10 kDa
Observed band size: 16 kDa
2. Blank control (black line): HepG2. Primary Antibody (green line): Rabbit Anti-CXCL13 antibody (TMAB-00499)
Dilution: 1 μg/Test;
Secondary Antibody (white blue line): Goat anti-rabbit IgG-AF488
Dilution: 0.5 μg/Test.
Isotype control (orange line): Normal Rabbit IgG
Protocol
The cells were fixed with 4% PFA (10 min at room temperature) and then permeabilized with 90% ice-cold methanol for 20 min at-20°C, The cells were then incubated in 5% BSA to block non-specific protein-protein interactions for 30 min at room temperature. Cells stained with Primary Antibody for 30 min at room temperature. The secondary antibody used for 40 min at room temperature.
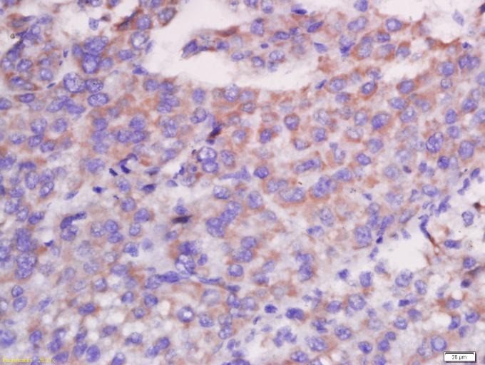
3. Paraformaldehyde-fixed, paraffin embedded (human liver carcinoma); Antigen retrieval by boiling in sodium citrate buffer (pH6.0) for 15 min; Block endogenous peroxidase by 3% hydrogen peroxide for 20 min; Blocking buffer (normal goat serum) at 37°C for 30 min; Antibody incubation with CXCL13/BCA1 Polyclonal Antibody, Unconjugated (TMAB-00499) at 1:400 overnight at 4°C, followed by a conjugated secondary for 20 min and DAB staining.
verifiedActivityverifiedActivityverifiedActivity
应用FCMIFIHC-FrIHC-PWB
推荐剂量
WB: 1:500-2000; IHC-P: 1:100-500; IHC-Fr: 1:100-500; IF: 1:100-500; FCM: 1ug/Test
抗体种类
Polyclonal
宿主来源Rabbit
亚细胞定位Secreted.
组织特异性Highest levels in liver, followed by spleen, lymph node, appendix and stomach. Low levels in salivary gland, mammary gland and fetal spleen.
构建方式Polyclonal Antibody
纯化方式Protein A purified
性状Liquid
缓冲液0.01M TBS (pH7.4) with 1% BSA, 0.02% Proclin300 and 50% Glycerol.
浓度1 mg/mL
研究背景B lymphocyte chemoattractant, independently cloned and named Angie, is a CXC chemokine strongly expressed in the follicles of the spleen, lymph nodes, and Peyer's patches. It preferentially promotes the migration of B lymphocytes (compared to T cells and macrophages), apparently by stimulating calcium influx into, and chemotaxis of, cells expressing Burkitt's lymphoma receptor 1 (BLR1). It may therefore function in the homing of B lymphocytes to follicles.
抗原信息
免疫原
KLH conjugated synthetic peptide: human CXCL13/BCA1
抗原种属
Human
基因名称
CXCL13
基因ID
蛋白名称
C-X-C motif chemokine 13
Uniprot ID
研究领域
Alpha Chemokines (CXC)
功能
Chemotactic for B-lymphocytes but not for T-lymphocytes, monocytes and neutrophils. Does not induce calcium release in B-lymphocytes. Binds to BLR1/CXCR5.
化学信息
分子量Theoretical: 10 kDa. Actual: 16 kDa.
储存&溶解度
储存方式Store at -20°C or -80°C for 12 months. Avoid repeated freeze-thaw cycles.
运输方式Shipping with blue ice.

计算器

  • 稀释 计算器
  • 配液 计算器
Related Tags: buy Anti-CXCL13/BCA-1 Polyclonal Antibody 2 | purchase Anti-CXCL13/BCA-1 Polyclonal Antibody 2 | Anti-CXCL13/BCA-1 Polyclonal Antibody 2 cost | order Anti-CXCL13/BCA-1 Polyclonal Antibody 2 | Anti-CXCL13/BCA-1 Polyclonal Antibody 2 molecular weight