购物车
  • TargetMol
    您的购物车当前为空

Anti-Claudin-5 Polyclonal Antibody

Synonyms: Transmembrane protein deleted in VCFS, TMDVCF, CLDN5, Claudin5, AWAL TMVCF
货号 TMAB-00444Cas号 一键复制产品信息纯度:
Rating icon 还可以

Anti-Claudin-5 Polyclonal Antibody 是一种 Rabbit 抗体,靶向 Claudin-5。Anti-Claudin-5 Polyclonal Antibody 可用于 FCM,IF,IHC-Fr,IHC-P,WB。

Anti-Claudin-5 Polyclonal Antibody

一键复制产品信息
Rating icon 还可以
货号 TMAB-00444

别名 Transmembrane protein deleted in VCFS, TMDVCF, CLDN5, Claudin5, AWAL TMVCF

Anti-Claudin-5 Polyclonal Antibody 是一种 Rabbit 抗体,靶向 Claudin-5。Anti-Claudin-5 Polyclonal Antibody 可用于 FCM,IF,IHC-Fr,IHC-P,WB。

Anti-Claudin-5 Polyclonal Antibody
规格价格库存数量
50 μL
¥ 1,170
5日内发货
100 μL
¥ 1,975
5日内发货
200 μL
¥ 2,785
5日内发货
库存状态实时更新,以官网显示为准,现货产品可直接加购物车下单
大包装 & 定制
加入购物车

TargetMol的所有产品仅用作科学研究或药证申报,不能被用于人体,我们不向个人提供产品和服务。请您遵守承诺用途,不得违反法律法规规定用于任何其他用途。

实验操作小课堂
常见问题解答
查看更多

资源下载:产品操作手册

产品介绍


生物活性
产品描述
Anti-Claudin-5 Polyclonal Antibody is a Rabbit antibody targeting Claudin-5. Anti-Claudin-5 Polyclonal Antibody can be used in FCM,IF,IHC-Fr,IHC-P,WB.
别名
Transmembrane protein deleted in VCFS, TMDVCF, CLDN5, Claudin5, AWAL TMVCF
Ig Type
IgG
反应种属
Human,Mouse (predicted:Rat,Pig,Cow,Horse,Rabbit,Sheep)
验证活性
1. Blank control: K562. Primary Antibody (green line): Rabbit Anti-Claudin 5 antibody (TMAB-00444)
Dilution: 2 μg/10^6 cells;
Isotype Control Antibody (orange line): Rabbit IgG.
Secondary Antibody: Goat anti-rabbit IgG-FITC
Dilution: 0.5 μg/test.
Protocol
The cells were incubated in 5% BSA to block non-specific protein-protein interactions for 30 min at room temperature. Cells stained with Primary Antibody for 30 min at room temperature. The secondary antibody used for 40 min at room temperature.
2. Protein: lung (mouse) lysates at 45 μg;
Primary: Anti-Claudin 5 (TMAB-00444) at 1:300;
Secondary: HRP conjugated Goat-Anti-Rabbit Igg (bse-0295G-HRP) at 1: 5000;
ECL excitated the fluorescence;
Predicted band size:23 kDa
Observed band size:23 kDa
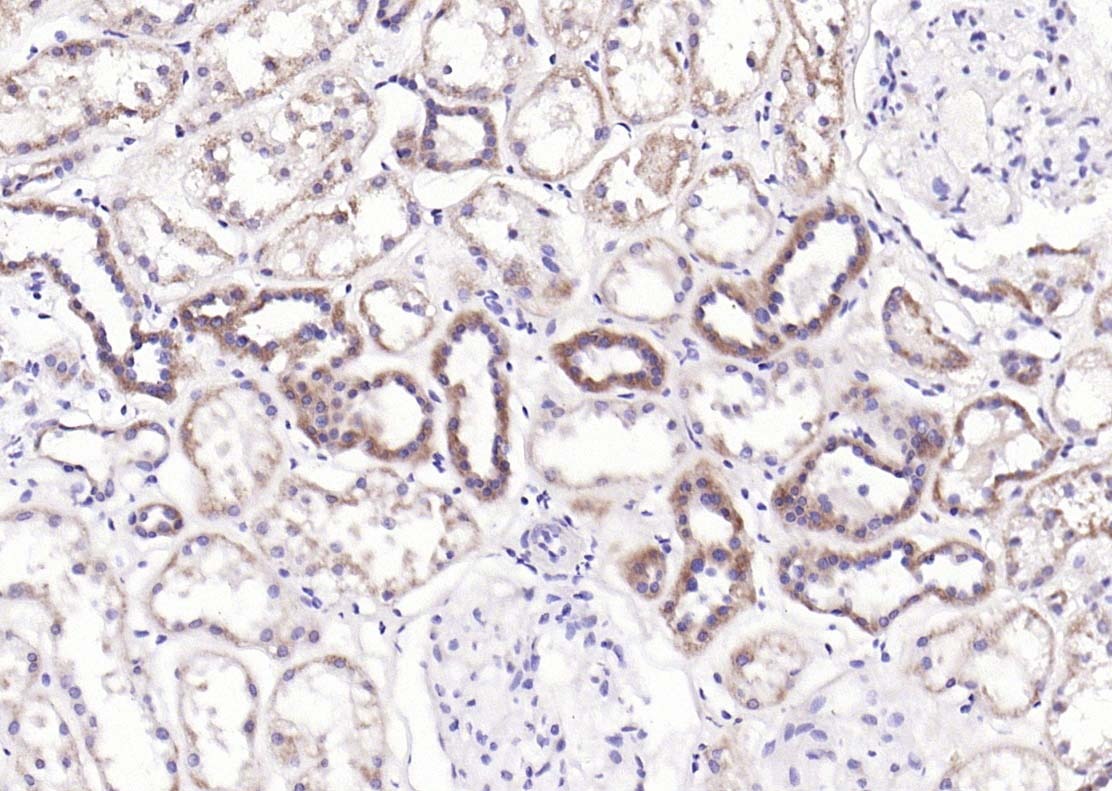
3. Paraformaldehyde-fixed, paraffin embedded (Human kidney); Antigen retrieval by boiling in sodium citrate buffer (pH6.0) for 15 min; Block endogenous peroxidase by 3% hydrogen peroxide for 20 min; Blocking buffer (normal goat serum) at 37°C for 30 min; Antibody incubation with (Claudin 5) Polyclonal Antibody, Unconjugated (TMAB-00444) at 1:200 overnight at 4°C, followed by operating according to SP Kit (Rabbit) instructionsand DAB staining.
verifiedActivityverifiedActivityverifiedActivity
应用FCMIFIHC-FrIHC-PWB
推荐剂量
WB: 1:500-2000; IHC-P: 1:100-500; IHC-Fr: 1:100-500; IF: 1:100-500; FCM: 2ug/Test
抗体种类
Polyclonal
宿主来源Rabbit
亚细胞定位Cell junction, tight junction. Cell membrane; Multi-pass membrane protein.
组织特异性Expressed in right lung and 192 other cell types or tissues
构建方式Polyclonal Antibody
纯化方式Protein A purified
性状Liquid
缓冲液0.01M TBS (pH7.4) with 1% BSA, 0.02% Proclin300 and 50% Glycerol.
浓度1 mg/mL
研究背景This gene encodes a member of the claudin family. Claudins are integral membrane proteins and components of tight junction strands. Tight junction strands serve as a physical barrier to prevent solutes and water from passing freely through the paracellular space between epithelial or endothelial cell sheets. Mutations in this gene have been found in patients with velocardiofacial syndrome. Alternatively spliced transcript variants encoding the same protein have been found for this gene. [provided by RefSeq, Aug 2008]
抗原信息
免疫原
KLH conjugated synthetic peptide: human Claudin 5
抗原种属
Human
基因名称
CLDN5
基因ID
蛋白名称
Claudin-5
Uniprot ID
研究领域
Tight Junctions
功能
Plays a major role in tight junction-specific obliteration of the intercellular space.
化学信息
分子量Theoretical: 23 kDa. Actual: 23 kDa.
储存&溶解度
储存方式Store at -20°C or -80°C for 12 months. Avoid repeated freeze-thaw cycles.
运输方式Shipping with blue ice.

计算器

  • 稀释 计算器
  • 配液 计算器
Related Tags: buy Anti-Claudin-5 Polyclonal Antibody | purchase Anti-Claudin-5 Polyclonal Antibody | Anti-Claudin-5 Polyclonal Antibody cost | order Anti-Claudin-5 Polyclonal Antibody | Anti-Claudin-5 Polyclonal Antibody molecular weight