购物车
  • TargetMol
    您的购物车当前为空

Anti-CHEK2 Antibody (3L509)

Synonyms: RAD53, PP1425, LFS2, HuCds1, hCds1, CHK2, checkpoint kinase 2, CDS1
货号 TMAC-00848 一键复制产品信息
Rating icon 还可以
202603开学季活动

Anti-CHEK2 Antibody (3L509) 是一种 Rabbit 抗体,靶向 CHEK2。Anti-CHEK2 Antibody (3L509) 可用于 ICC/IF,IHC,IP,WB。

Anti-CHEK2 Antibody (3L509)

一键复制产品信息
Rating icon 还可以
202603开学季活动
货号 TMAC-00848

别名 RAD53, PP1425, LFS2, HuCds1, hCds1, CHK2, checkpoint kinase 2, CDS1

Anti-CHEK2 Antibody (3L509) 是一种 Rabbit 抗体,靶向 CHEK2。Anti-CHEK2 Antibody (3L509) 可用于 ICC/IF,IHC,IP,WB。

Anti-CHEK2 Antibody (3L509)
规格价格库存数量
50 μL
¥ 1,495
5日内发货
100 μL
¥ 2,485
5日内发货
库存状态实时更新,以官网显示为准,现货产品可直接加购物车下单
大包装 & 定制
加入购物车

TargetMol的所有产品仅用作科学研究或药证申报,不能被用于人体,我们不向个人提供产品和服务。请您遵守承诺用途,不得违反法律法规规定用于任何其他用途。

实验操作小课堂
常见问题解答
查看更多

资源下载:产品操作手册

产品介绍


生物活性
产品描述
Anti-CHEK2 Antibody (3L509) is a Rabbit antibody targeting CHEK2. Anti-CHEK2 Antibody (3L509) can be used in ICC/IF,IHC,IP,WB.
别名
RAD53, PP1425, LFS2, HuCds1, hCds1, CHK2, checkpoint kinase 2, CDS1
Ig Type
IgG
克隆号
3L509
反应种属
Human
验证活性
1. Western blot analysis of Chk2 on Hela cells lysates using anti-Chk2 antibody at 1/1,000 dilution.
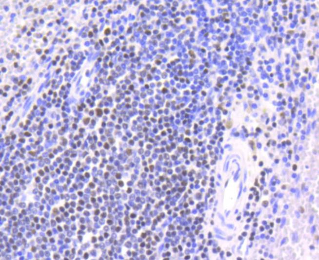
2. Immunohistochemical analysis of paraffin-embedded human spleen tissue using anti-Chk2 antibody. Counter stained with hematoxylin.
3. Immunohistochemical analysis of paraffin-embedded human breast carcinoma tissue using anti-Chk2 antibody. Counter stained with hematoxylin.
4. ICC staining Chk2 in Hela cells (green). The nuclear counter stain is DAPI (blue). Cells were fixed in paraformaldehyde, permeabilised with 0.25% Triton X100/PBS.
5. ICC staining Chk2 in MCF-7 cells (green). The nuclear counter stain is DAPI (blue). Cells were fixed in paraformaldehyde, permeabilised with 0.25% Triton X100/PBS.
6. ICC staining Chk2 in 293 cells (green). The nuclear counter stain is DAPI (blue). Cells were fixed in paraformaldehyde, permeabilised with 0.25% Triton X100/PBS.
verifiedActivityverifiedActivityverifiedActivityverifiedActivityverifiedActivityverifiedActivity
应用ICC/IFIHCIPWB
推荐剂量
WB: 1:1000-2000; IHC: 1:50-200; ICC/IF: 1:50-200
抗体种类
Monoclonal
宿主来源Rabbit
构建方式Recombinant Antibody
纯化方式ProA affinity purified
性状Liquid
缓冲液1*TBS (pH7.4), 1%BSA, 40%Glycerol. Preservative: 0.05% Sodium Azide.
研究背景Cell cycle events are regulated by the sequential activation and deactivation of cyclin dependent kinases (Cdks) and by proteolysis of cyclins. Chk1 and Chk2 are involved in these processes as regulators of Cdks. Chk1 and Chk2 both function as essential components in the G2 DNA damage checkpoint by phosphorylating Cdc25C in response to DNA damage. Phosphorylation inhibits Cdc25C activity, thereby blocking mitosis. Cdc25A, Cdc25B and Cdc25C protein tyrosine phosphatases function as mitotic activators by dephosphorylating Cdc2 p34 on regulatory tyrosine residues. It has also been shown that Chk1 can phosphorylate Wee1 in vitro, providing evidence that the hyperphosphorylated form of Wee1, seen in cells delayed by Chk1 overexpression, is due to phosphorylation by Chk1.
偶联与修饰
偶联
Unconjugated
抗原信息
免疫原
Recombinant Protein
Uniprot ID
化学信息
分子量Theoretical: 62 kDa.
储存&溶解度
储存方式Store at -20°C or -80°C for 12 months. Avoid repeated freeze-thaw cycles.
运输方式Shipping with blue ice.

计算器

  • 稀释 计算器
  • 配液 计算器
Related Tags: buy Anti-CHEK2 Antibody (3L509) | purchase Anti-CHEK2 Antibody (3L509) | Anti-CHEK2 Antibody (3L509) cost | order Anti-CHEK2 Antibody (3L509) | Anti-CHEK2 Antibody (3L509) molecular weight