购物车
  • TargetMol
    您的购物车当前为空

Anti-CDK6 Antibody (5T828)

Synonyms: Serine/threonine-protein kinase PLSTIRE, EC 2.7.11.22, Cyclin-dependent kinase 6, Cell division protein kinase 6, CDKN6, CDK 6
货号 TMAC-00797 一键复制产品信息
Rating icon 还可以

Anti-CDK6 Antibody (5T828) 是一种 Rabbit 抗体,靶向 CDK6。Anti-CDK6 Antibody (5T828) 可用于 FCM,ICC/IF,IHC,WB。

Anti-CDK6 Antibody (5T828)

一键复制产品信息
Rating icon 还可以
货号 TMAC-00797

别名 Serine/threonine-protein kinase PLSTIRE, EC 2.7.11.22, Cyclin-dependent kinase 6, Cell division protein kinase 6, CDKN6, CDK 6

Anti-CDK6 Antibody (5T828) 是一种 Rabbit 抗体,靶向 CDK6。Anti-CDK6 Antibody (5T828) 可用于 FCM,ICC/IF,IHC,WB。

Anti-CDK6 Antibody (5T828)
规格价格库存数量
50 μL
¥ 1,490
5日内发货
100 μL
¥ 2,485
5日内发货
库存状态实时更新,以官网显示为准,现货产品可直接加购物车下单
大包装 & 定制
加入购物车

TargetMol的所有产品仅用作科学研究或药证申报,不能被用于人体,我们不向个人提供产品和服务。请您遵守承诺用途,不得违反法律法规规定用于任何其他用途。

实验操作小课堂
常见问题解答
查看更多

资源下载:产品操作手册

产品介绍


生物活性
产品描述
Anti-CDK6 Antibody (5T828) is a Rabbit antibody targeting CDK6. Anti-CDK6 Antibody (5T828) can be used in FCM,ICC/IF,IHC,WB.
别名
Serine/threonine-protein kinase PLSTIRE, EC 2.7.11.22, Cyclin-dependent kinase 6, Cell division protein kinase 6, CDKN6, CDK 6
Ig Type
IgG
克隆号
5T828
反应种属
Human
验证活性
1. Western blot analysis of Cdk6 on different lysates using anti-Cdk6 antibody at 1/1,000 dilution. Positive control: Lane 1: Jurkat, Lane 2: K562, Lane 3: Hela.
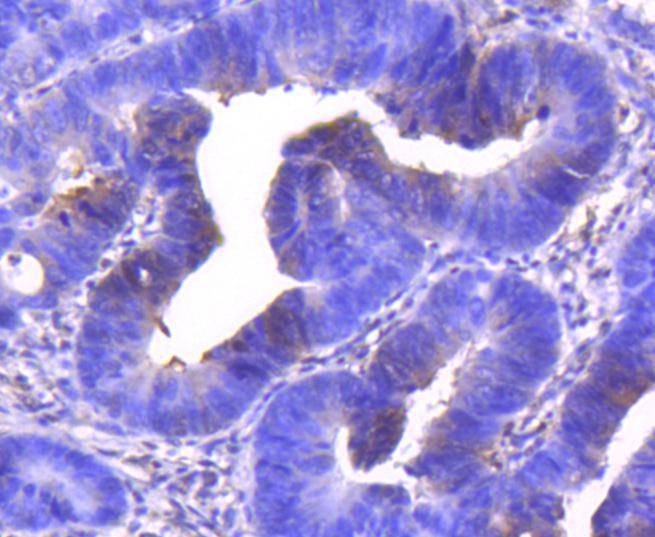
2. Immunohistochemical analysis of paraffin-embedded human colon cancer tissue using anti-Cdk6 antibody. Counter stained with hematoxylin.
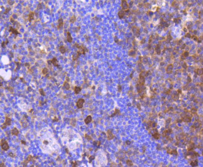
3. Immunohistochemical analysis of paraffin-embedded human tonsil tissue using anti-Cdk6 antibody. Counter stained with hematoxylin.
4. ICC staining Cdk6 in Hela cells (green). The nuclear counter stain is DAPI (blue). Cells were fixed in paraformaldehyde, permeabilised with 0.25% Triton X100/PBS.
5. ICC staining Cdk6 in SW480 cells (green). The nuclear counter stain is DAPI (blue). Cells were fixed in paraformaldehyde, permeabilised with 0.25% Triton X100/PBS.
6. ICC staining Cdk6 in 293 cells (green). The nuclear counter stain is DAPI (blue). Cells were fixed in paraformaldehyde, permeabilised with 0.25% Triton X100/PBS.
7. Flow cytometric analysis of Hela cells with Cdk6 antibody at 1/50 dilution (red) compared with an unlabelled control (cells without incubation with primary antibody; black). Alexa Fluor 488-conjugated goat anti rabbit IgG was used as the secondary antibody.
verifiedActivityverifiedActivityverifiedActivityverifiedActivityverifiedActivityverifiedActivityverifiedActivity
应用FCMICC/IFIHCWB
推荐剂量
WB: 1:1000-2000; IHC: 1:50-200; ICC/IF: 1:50-200; FCM: 1:50-100
抗体种类
Monoclonal
宿主来源Rabbit
构建方式Recombinant Antibody
纯化方式ProA affinity purified
性状Liquid
缓冲液1*TBS (pH7.4), 1%BSA, 40%Glycerol. Preservative: 0.05% Sodium Azide.
研究背景Cell cycle progression is controlled in part by a family of cyclin proteins and cyclin dependent kinases (Cdks). Cdk proteins work in concert with the cyclins to phosphorylate key substrates involved in each phase of cell cycle progression. Another family of proteins, Cdk inhibitors, also plays a role in regulating the cell cycle by binding to cyclin-Cdk complexes and modulating their activity. Several Cdk proteins have been identified, including Cdk2-Cdk8, PCTAIRE-1-PCTAIRE-3, PITALRE and PITSLRE. Cdk6 is known to associate with cyclins D1, D2 and D3 and to be involved with the G1/S transition of the cell cycle. Multiple inhibitors of Cdk6 have been identified, including p18 and p19. These inhibitors bind to both free and complexed Cdk6, and they inhibit the activity of the cyclin D-bound Cdk6.
偶联与修饰
偶联
Unconjugated
抗原信息
免疫原
Recombinant Protein
Uniprot ID
化学信息
分子量Theoretical: 37 kDa.
储存&溶解度
储存方式Store at -20°C or -80°C for 12 months. Avoid repeated freeze-thaw cycles.
运输方式Shipping with blue ice.

计算器

  • 稀释 计算器
  • 配液 计算器
Related Tags: buy Anti-CDK6 Antibody (5T828) | purchase Anti-CDK6 Antibody (5T828) | Anti-CDK6 Antibody (5T828) cost | order Anti-CDK6 Antibody (5T828) | Anti-CDK6 Antibody (5T828) molecular weight