购物车
  • TargetMol
    您的购物车当前为空

Anti-CDC45 Antibody (6Q41)

Synonyms: PORC-PI-1, PORC PI 1, Cell division cycle 45 like 2, Cell division cycle 45 like, cell division cycle 45 (S.cerevisiae homolog) like, Cell division control protein 45 homolog, CDC45L2, CDC45 related protein, CDC45 like, CDC45 cell division cycle 45 like, CDC45, CDC 45L, CDC 45
货号 TMAC-00772 一键复制产品信息
Rating icon 还可以

Anti-CDC45 Antibody (6Q41) 是一种 Rabbit 抗体,靶向 CDC45。Anti-CDC45 Antibody (6Q41) 可用于 FCM,ICC/IF,IHC,WB。

Anti-CDC45 Antibody (6Q41)

一键复制产品信息
Rating icon 还可以
货号 TMAC-00772

别名 PORC-PI-1, PORC PI 1, Cell division cycle 45 like 2, Cell division cycle 45 like, cell division cycle 45 (S.cerevisiae homolog) like, Cell division control protein 45 homolog, CDC45L2, CDC45 related protein, CDC45 like, CDC45 cell division cycle 45 like, CDC45, CDC 45L, CDC 45

Anti-CDC45 Antibody (6Q41) 是一种 Rabbit 抗体,靶向 CDC45。Anti-CDC45 Antibody (6Q41) 可用于 FCM,ICC/IF,IHC,WB。

Anti-CDC45 Antibody (6Q41)
规格价格库存数量
50 μL
¥ 1,480
5日内发货
100 μL
¥ 2,495
5日内发货
库存状态实时更新,以官网显示为准,现货产品可直接加购物车下单
大包装 & 定制
加入购物车

TargetMol的所有产品仅用作科学研究或药证申报,不能被用于人体,我们不向个人提供产品和服务。请您遵守承诺用途,不得违反法律法规规定用于任何其他用途。

实验操作小课堂
常见问题解答
查看更多

资源下载:产品操作手册

产品介绍


生物活性
产品描述
Anti-CDC45 Antibody (6Q41) is a Rabbit antibody targeting CDC45. Anti-CDC45 Antibody (6Q41) can be used in FCM,ICC/IF,IHC,WB.
别名
PORC-PI-1, PORC PI 1, Cell division cycle 45 like 2, Cell division cycle 45 like, cell division cycle 45 (S.cerevisiae homolog) like, Cell division control protein 45 homolog, CDC45L2, CDC45 related protein, CDC45 like, CDC45 cell division cycle 45 like, CDC45, CDC 45L, CDC 45
Ig Type
IgG
克隆号
6Q41
反应种属
Human,Mouse,Rat
验证活性
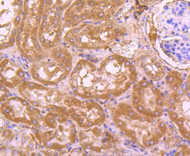
1. Immunohistochemical analysis of paraffin-embedded human kidney tissue using anti-CDC45 antibody. Counter stained with hematoxylin.
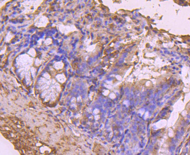
2. Immunohistochemical analysis of paraffin-embedded mouse colon tissue using anti-CDC45 antibody. Counter stained with hematoxylin.
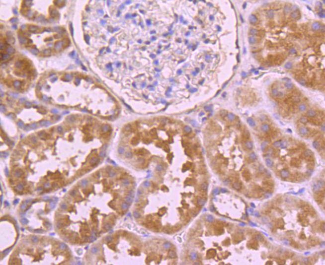
3. Immunohistochemical analysis of paraffin-embedded mouse kidney tissue using anti-CDC45 antibody. Counter stained with hematoxylin.
4. ICC staining CDC45 in A549 cells (green). The nuclear counter stain is DAPI (blue). Cells were fixed in paraformaldehyde, permeabilised with 0.25% Triton X100/PBS.
5. ICC staining CDC45 in Hela cells (green). The nuclear counter stain is DAPI (blue). Cells were fixed in paraformaldehyde, permeabilised with 0.25% Triton X100/PBS.
6. ICC staining CDC45 in 293T cells (green). The nuclear counter stain is DAPI (blue). Cells were fixed in paraformaldehyde, permeabilised with 0.25% Triton X100/PBS.
7. Flow cytometric analysis of 293 cells with CDC45 antibody at 1/50 dilution (red) compared with an unlabelled control (cells without incubation with primary antibody; black). Alexa Fluor 488-conjugated goat anti rabbit IgG was used as the secondary antibody.
verifiedActivityverifiedActivityverifiedActivityverifiedActivityverifiedActivityverifiedActivityverifiedActivity
应用FCMICC/IFIHCWB
推荐剂量
WB: 1:1000; IHC: 1:50-200; ICC/IF: 1:100-500; FCM: 1:50-100
抗体种类
Monoclonal
宿主来源Rabbit
构建方式Recombinant Antibody
纯化方式ProA affinity purified
性状Liquid
缓冲液1*TBS (pH7.4), 1%BSA, 40%Glycerol. Preservative: 0.05% Sodium Azide.
研究背景Cell cycle events are regulated by the sequential activation and deactivation of cyclin dependent kinases (Cdks) and by the proteolysis of cyclins. The cell division cycle (Cdc) genes are required at various points in the cell cycle. Cdc25A, Cdc25B and Cdc25C protein tyrosine phosphatases function as mitotic activators by dephosphorylating Cdc2 p34 on regulatory tyrosine residues. Cdc6 and Cdc45 are the mammalian homologs of S. cerevisiae Cdc6 and Cdc45, which are involved in the initiation of DNA replication. Cdc37 appears to facilitate Cdk4/cyclin D1 complex formation and has been shown to form a stable complex with HSP 90. Cdc34, Cdc27 and Cdc16 function as ubiquitin-conjugating enzymes. Cdc34 is thought to be the structural and functional homolog of S. cerevisiae Cdc34, which is essential for the G1 to S phase transition. Cdc16 and Cdc27 are components of the APC (anaphase-promoting complex) which ubiquitinates cyclin B, resulting in cyclin B/Cdk complex degradation.
偶联与修饰
偶联
Unconjugated
抗原信息
免疫原
Recombinant Protein
Uniprot ID
化学信息
分子量Theoretical: 66 kDa.
储存&溶解度
储存方式Store at -20°C or -80°C for 12 months. Avoid repeated freeze-thaw cycles.
运输方式Shipping with blue ice.

计算器

  • 稀释 计算器
  • 配液 计算器
Related Tags: buy Anti-CDC45 Antibody (6Q41) | purchase Anti-CDC45 Antibody (6Q41) | Anti-CDC45 Antibody (6Q41) cost | order Anti-CDC45 Antibody (6Q41) | Anti-CDC45 Antibody (6Q41) molecular weight